Foram encontradas 1.119 questões.
A condição caracterizada pela presença de hemangioma extenso ou segmentar, geralmente na face, couro cabeludo ou região cervical, que pode estar associada a malformações da fossa posterior, anormalidades arteriais (principalmente no sistema nervoso central), coarctação da aorta, defeitos cardíacos e anormalidades oculares, é conhecida como
Provas
Micrognatia, glossoptose e fenda palatina, com possível prolapso da língua para trás, levando à obstrução das vias aéreas. O comprometimento respiratório pode levar à hipóxia, parada cardiopulmonar, hipertensão pulmonar e falha no desenvolvimento. Problemas de alimentação são comuns. Esses achados caracterizam a
Provas
Em relação aos defeitos originados do segundo arco branquial, assinale a alternativa correta.
Provas
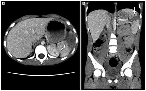
Menina de nove anos caiu de uma altura de mais de 2 metros. Foi submetida aos cuidados de acordo com protocolo ATLS. Encontra-se estável hemodinamicamente após infusão de Ringer Lactato 20 ml/kg. Ao exame físico: hematoma em hipocôndrio esquerdo. Realizou-se tomografia computadorizada de abdome, conforme imagem a seguir:

A classificação de trauma esplênico, de acordo com a Associação Americana de Cirurgia do Trauma (AAST) é
Provas
Em relação à esofagostomia cervical, assinale a alternativa correta.
Provas
Em relação às malformações congênitas das vias aéreas pulmonares (MCVAP), anteriormente denominadas malformações adenomatoides císticas, considerando-se a classificação expandida proposta por Stocker (2002), qual tipo se caracteriza pela presença de cistos de paredes finas, únicos ou multiloculares (de 2 a 10 cm), com origem dos brônquios distais ou bronquíolos proximais e que correspondem a até 70% dos casos?
Provas
Em pacientes com neuroblastoma, a amplificação de qual dos seguintes genes está relacionada a pior prognóstico?
Provas
Menina de quatro anos, em investigação diagnóstica para refluxo vesicoureteral, realizou uretrocistografia miccional, conforme imagem a seguir:

Com base na imagem apresentada, a graduação de refluxo vesicoureteral de acordo com o sistema internacional proposto pelo International Reflux Study Group (IRSG) é
Provas
Paciente gestante, com 24 semanas e 4 dias de gestação, realiza ultrassonografia pré-natal que revela feto do sexo masculino, presença de hidronefrose bilateral, bexiga dilatada, com sinal do “buraco da fechadura”, conforme imagem a seguir:

O quadro apresentado é sugestivo de
Provas
Em crianças com tumor de Wilms, qual dos seguintes achados histológicos é considerado como o mais importante preditor de prognóstico adverso?
Provas
Caderno Container