Foram encontradas 140 questões.
No que se refere à amamentação, assinale a opção correta.
Provas
Caso clínico 1A4-III
Uma paciente de 22 anos de idade, previamente hígida, compareceu ao pronto atendimento com queixas de fadiga importante, anorexia e urina escura havia três dias. Ela relatou quadro de infecção das vias aéreas superiores havia duas semanas. Negou tabagismo, etilismo e antecedentes familiares de patologias significativas. Ao exame físico, apresentou: pressão arterial de 178 mmHg × 106 mmHg, frequência cardíaca de 94 bpm e edema de membros inferiores, sem outros achados relevantes. O exame de urina tipo 1 (EAS) revelou pH = 7,1; proteínas++; 120.000 hemácias com dismorfismo; cilindros granulosos e hemáticos ++. A proteinúria de 24 horas foi de 1 g/dia e a creatinina sérica de 1,7mg/dL. Os demais exames laboratoriais de rotina não apresentaram alterações significativas.
O achado histológico mais provável no caso clínico 1A4-III é
Provas
Caso clínico 1A4-III
Uma paciente de 22 anos de idade, previamente hígida, compareceu ao pronto atendimento com queixas de fadiga importante, anorexia e urina escura havia três dias. Ela relatou quadro de infecção das vias aéreas superiores havia duas semanas. Negou tabagismo, etilismo e antecedentes familiares de patologias significativas. Ao exame físico, apresentou: pressão arterial de 178 mmHg × 106 mmHg, frequência cardíaca de 94 bpm e edema de membros inferiores, sem outros achados relevantes. O exame de urina tipo 1 (EAS) revelou pH = 7,1; proteínas++; 120.000 hemácias com dismorfismo; cilindros granulosos e hemáticos ++. A proteinúria de 24 horas foi de 1 g/dia e a creatinina sérica de 1,7mg/dL. Os demais exames laboratoriais de rotina não apresentaram alterações significativas.
Assinale a opção que apresenta o achado laboratorial mais esperado no caso clínico 1A4-III.
Provas
No tratamento da amiloidose cardíaca associada à transtirretina, o medicamento responsável pela estabilização da transtirretina é o
Provas
Na amiloidose cardíaca hereditária associada à transtirretina, a mutação mais prevalente na população mundial é a
Provas
Caso clínico 1A4-II
Uma paciente de 71 anos de idade compareceu à emergência hospitalar com queixa de dispneia progressiva e piora da tosse produtiva havia três dias. Ela era tabagista de 50 anos/maço e morava só, sem limitações para a realização das atividades diárias habituais. Ela relatou ter sido internada em duas outras ocasiões neste mesmo ano, a despeito do uso regular de indacaterol associado ao glicopirrônio. Ao exame físico, apresentava: saturação de oxigênio em ar ambiente (SO2) de 87%, frequência respiratória de 31 irpm, pressão arterial de 108 mmHg × 62 mmHg, frequência cardíaca de 104 bpm e ritmo cardíaco regular em dois tempos sem sopros. A ausculta pulmonar revelou murmúrio vesicular diminuído globalmente, com crepitações em bases. O restante do exame físico não apresentou mudanças significativas. Os exames laboratoriais na admissão revelaram: pH 7,31; pO2 90; pCo2 53; HCO3 24; BE 1 (gasometria arterial em ar ambiente); hemoglobina 12 g%; leucócitos 7200 com 1% bastonetes, 10% de eosinófilos e creatinina 1 mg/dL. A espirometria prévia demonstrou: volume expiratório forçado no primeiro segundo (VEF1) = 48% do predito (após broncodilatador). Após três nebulizações com fenoterol e ipatrópio, evoluiu com discreta melhora da dispneia, SO2 de 89% e frequência respiratória de 29 irpm.
Assinale a opção que apresenta a melhor abordagem terapêutica definitiva para o caso clínico 1A4-II.
Provas
Caso clínico 1A4-II
Uma paciente de 71 anos de idade compareceu à emergência hospitalar com queixa de dispneia progressiva e piora da tosse produtiva havia três dias. Ela era tabagista de 50 anos/maço e morava só, sem limitações para a realização das atividades diárias habituais. Ela relatou ter sido internada em duas outras ocasiões neste mesmo ano, a despeito do uso regular de indacaterol associado ao glicopirrônio. Ao exame físico, apresentava: saturação de oxigênio em ar ambiente (SO2) de 87%, frequência respiratória de 31 irpm, pressão arterial de 108 mmHg × 62 mmHg, frequência cardíaca de 104 bpm e ritmo cardíaco regular em dois tempos sem sopros. A ausculta pulmonar revelou murmúrio vesicular diminuído globalmente, com crepitações em bases. O restante do exame físico não apresentou mudanças significativas. Os exames laboratoriais na admissão revelaram: pH 7,31; pO2 90; pCo2 53; HCO3 24; BE 1 (gasometria arterial em ar ambiente); hemoglobina 12 g%; leucócitos 7200 com 1% bastonetes, 10% de eosinófilos e creatinina 1 mg/dL. A espirometria prévia demonstrou: volume expiratório forçado no primeiro segundo (VEF1) = 48% do predito (após broncodilatador). Após três nebulizações com fenoterol e ipatrópio, evoluiu com discreta melhora da dispneia, SO2 de 89% e frequência respiratória de 29 irpm.
No caso clínico 1A4-II, melhor conduta inicial a ser tomada é
Provas
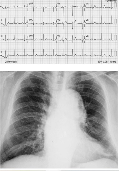
Uma paciente de 61 anos de idade compareceu à emergência com queixa de dor torácica. Havia três horas iniciou um quadro de precordialgia muito intensa do tipo lancinante e com irradiação para a região torácica dorsal. Ela tratava hipertensão arterial sistêmica com hidroclorotiazida 25 mg ao dia, irregularmente, havia 14 anos. Ao exame físico encontrava-se, acianótica, sudorética, com pressão arterial de 176 mmHg × 114 mmHg, saturação de oxigênio em ar ambiente de 93%, pulsos reduzidos em membros inferiores, ritmo cardíaco regular em dois tempos sem sopros, com ausculta pulmonar normal. O restante do exame físico foi normal. A dosagem das enzimas cardíacas (CK-MB massa e troponina) e os demais exames laboratoriais de rotina foram normais. Realizou um eletrocardiograma e uma radiografia de tórax que podem ser vistas a seguir.

Nesse caso clínico, a conduta correta a ser tomada com relação a essa paciente é
Provas
Uma paciente diabética, de 68 anos de idade, apresentava tosse produtiva com expectoração amarelada associada a dor torácica. Ao exame físico, apresentava-se com estado geral debilitado, temperatura axilar de 38 ºC, saturação periférica de oxigênio de 88%, frequência cardíaca de 110 bpm, frequência respiratória de 32 irpm e pressão arterial de 94 mmHg × 58 mmHg, além de estertores crepitantes audíveis em base de hemitórax direito. A radiografia de tórax demostrou opacidade no lobo inferior direito. Os exames laboratoriais revelaram leucocitose sem desvio à esquerda, ureia: 66 mg/dL e creatinina 1,8 mg/dL, sem outras alterações significativas.
Considerando esse caso clínico, assinale a opção que contém o antibiótico e o regime de administração mais indicados a essa paciente.
Provas
Caso clínico 1A4-I
Uma paciente de 63 anos de idade compareceu à emergência hospitalar com queixa de dispneia aos esforços menores que os habituais havia três dias. Ela usava diariamente furosemida 40 mg, enalapril 20 mg, bisoprolol 10 mg e espironolactona 25 mg. Ao exame físico, apresentava-se afebril, com extremidades quentes, normocorada, frequência cardíaca de 68 bpm, pressão arterial de 126 mmHg × 72 mmHg, turgência jugular a 30º e estertores crepitantes em ambas as bases pulmonares, o ritmo cardíaco estava regular em três tempos (terceira bulha) e não havia sopros. O restante do exame físico e os exames laboratoriais não revelaram anormalidades significativas. O eletrocardiograma revelou somente alterações difusas da repolarização ventricular, e o ecocardiograma demonstrou fração de 37%.
Considerando-se o caso clínico 1A4-I, a abordagem terapêutica mais indicada a essa paciente, com vistas à redução da mortalidade cardiovascular, é
Provas
Caderno Container