Foram encontradas 960 questões.
Assinale a alternativa correta sobre a polipose adenomatosa familiar (PAF).
Provas
A capsulite adesiva do ombro pode ser primária ou secundária.
Quanto a essas formas, assinale a alternativa correta.
Provas
Paciente do sexo masculino, 59 anos, previamente hígido, apresenta quadro de emagrecimento, dor abdominal intermitente e episódios de suboclusão. A colonoscopia revelou lesão estenosante ulcerovegetante em cólon transverso, impedindo a progressão do aparelho. A biópsia confirmou adenocarcinoma. A tomografia de abdome com contraste mostrou espessamento concêntrico em cólon transverso e identificou uma metástase única de 1,3 cm em segmento VIII hepático, sem outras alterações. Exames laboratoriais sem disfunções, CEA de 11,5 ng/mL.
É correto afirmar:
Provas
Sobre o sinal de Patte, assinale a alternativa correta.
Provas
Paciente do sexo masculino, 48 anos, previamente hígido, foi submetido a colonoscopia por anemia ferropriva. O exame revelou lesão vegetante estenosante e infiltrativa em cólon direito, instransponível ao aparelho endoscópico. Biópsias do cólon confirmaram adenocarcinoma. A tomografia contrastada evidenciou massa tumoral próxima ao ângulo hepático, com contato amplo e sem plano de clivagem com o duodeno, mas sem metástases hepáticas ou peritoneais. Presença de linfonodos aumentados de tamanho e suspeitos para acometimento secundário em raiz do mesocólon, próximo à veia mesentérica superior, mas sem sinais de invasão dela.
Com base nesse cenário, assinale a alternativa correta.
Provas
É uma indicação para a realização da hemiartroplastia do ombro:
Provas
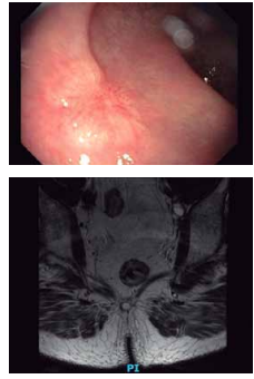
Paciente do sexo feminino, 63 anos, com adenocarcinoma de reto médio a 7 cm da borda anal, estadiado inicialmente como cT3bN1, foi submetida à quimiorradioterapia neoadjuvante com capecitabina associada à radioterapia com dose total de 50,4 Gy em 28 frações. Após 10 semanas do término do tratamento, encontra-se assintomática. A retoscopia mostra úlcera superficial no local da lesão primária. A ressonância magnética de pelve (com protocolo de avaliação de resposta) não evidencia massa tumoral ou linfonodomegalias. A biópsia do leito ulcerado mostra apenas tecido inflamatório.
Assinale a alternativa que correta diante deste cenário.
Provas
Paciente do sexo feminino, 58 anos, assintomática, foi submetida a colonoscopia de rastreamento, que identificou lesão de 2 cm, localizada a 8 cm da margem anal. A biópsia revelou adenocarcinoma bem diferenciado. A ressonância magnética de pelve demonstrou lesão restrita à submucosa, sem invasão da muscular própria, sem envolvimento linfonodal e sem sinais de invasão da fáscia mesorretal. Exames laboratoriais e tomografia de tórax e abdome sem alterações.
É correto afirmar que
Provas
Paciente de 47 anos, assintomática, realiza colonoscopia de rastreamento. É identificada lesão em reto. A biópsia endoscópica é inconclusiva, mas a análise imunohistoquímica mostra positividade para cromogranina A e sinaptofisina.

(Arquivo pessoal; imagens utilizadas com autorização)
O diagnóstico mais provável é:
Provas
Há contraindicação das vacinas contra a dengue, aprovadas para uso no Brasil, para
Provas
Caderno Container