Foram encontradas 960 questões.
Paciente de 1 ano apresenta quadros de enterorragia redicivantes. Ultrassonografia abdominal, endoscopia digestiva alta e colonoscopia normais. Qual o exame de imagem indicado na pesquisa da causa do sangramento?
Provas
Mulher de 63 anos, com quadro de fraturas múltiplas iniciado há 2 anos, após uma queda, diagnosticada com osteopenia. Meses depois da queda, apresentou fratura não traumática do côndilo femoral medial esquerdo. Cintilografia óssea, realizada há 3 meses, mostrou múltiplas áreas de captação, consistentes com fraturas das tíbias proximal e distal, calcâneo direito, várias costelas e vértebras. Antecedente de hipertensão arterial controlada.
Medicação: losartana 100 mg/dia, carbonato de cálcio, 1.250 mg (fornecendo 500 mg de cálcio elementar), mais 400 UI de vitamina D3, diariamente.
Exames da paciente e valores de normalidade (N)
| Creatinina (mg/dL) 0,55 | (N 0,50-1,0) |
| NA/K mEq/L 141/4,3 | (N 135-145/3,5-5,0) |
| Albumina (g/litro) 4,4 | (N 3,5-5,2) |
| Cálcio/fosfato (mg/dL) 8,6/1,4 | (N Ca 8,8-10,7//// P (2,4-4,3) |
| Fosfatase alcalina (U/litro) 185 | (N 35-130) |
| PTH (pg/mL) 57 | (N 15-65) |
| 25-hidroxivitamina D (ng/mL) 31 | (N 20-80) |
| FGF-23 (RU/mL) 235 | (N < 180) |
Com base na história e nos exames laboratoriais, a hipótese diagnóstica é:
Provas
Paciente do sexo feminino, 9 anos de idade, apresenta tumoração cística na região cervical, linha média, móvel à deglutição. A ultrassonografia mostra cisto de 2 cm de diâmetro próximo ao osso hioide com debrís em seu interior. O tratamento cirúrgico mais adequado é:
Provas
A reabilitação pulmonar é uma estratégia terapêutica que surgiu para os pacientes com DPOC e foi estendida a várias outras doenças pulmonares crônicas.
Quais são resultados em que existem evidências científicas?
Provas
Considere o caso clínico a seguir para responder às questões 29 e 30:
Uma paciente de 80 anos de idade, que fraturou o fêmur proximal do lado esquerdo após queda da própria altura, comparece ao ambulatório para acompanhamento. Seus exames mostram: cálcio ionizado: 1,29 mmol/L (1,15 a 1,33 mmol/L); fósforo: 4,4 mg/dL (2,5 a 4,5 mg/dL); fosfatase alcalina: 68 U/L (46 a 120 U/L); paratormônio: 30 pg/mL (12 a 68 pg/mL); hidroxivitamina D: 54 ng/mL (30 a 100 ng/mL); creatinina: 0,77 mg/dL (0,66 a 1,09 mg/dL); hemoglobina glicada: 4,2% (< 5,7%); hormônio tireoestimulante ultrassensível: 1,507 microUI/mL (0,4 a 4,5 microUI/mL).
Realizou-se uma avaliação de risco para novas fraturas na paciente pela ferramenta FRAX Brasil 2.0:

(Arquivo pessoal; imagem usada com autorização)
Diante desse resultado, assinale a alternativa correta quanto ao tratamento a ser seguido.
Provas
Paciente do sexo feminino, 4 anos de idade, apresenta, ocasionalmente, após a evacuação, saída de tumoração avermelhada pelo ânus. Exame físico: ao esforço observa-se prolapso da mucosa retal na extensão aproximada de 2 cm com redução espontânea. Qual a conduta mais recomendada?
Provas
Considere o caso clínico a seguir para responder às questões 29 e 30:
Uma paciente de 80 anos de idade, que fraturou o fêmur proximal do lado esquerdo após queda da própria altura, comparece ao ambulatório para acompanhamento. Seus exames mostram: cálcio ionizado: 1,29 mmol/L (1,15 a 1,33 mmol/L); fósforo: 4,4 mg/dL (2,5 a 4,5 mg/dL); fosfatase alcalina: 68 U/L (46 a 120 U/L); paratormônio: 30 pg/mL (12 a 68 pg/mL); hidroxivitamina D: 54 ng/mL (30 a 100 ng/mL); creatinina: 0,77 mg/dL (0,66 a 1,09 mg/dL); hemoglobina glicada: 4,2% (< 5,7%); hormônio tireoestimulante ultrassensível: 1,507 microUI/mL (0,4 a 4,5 microUI/mL).
Assinale a alternativa que corresponde à causa da fratura da paciente.
Provas
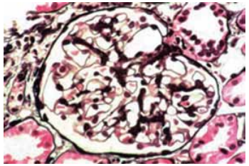
Homem de 18 anos tem diagnóstico clínico laboratorial de síndrome nefrótica há 6 meses, com complemento sérico dentro dos valores da normalidade e excelente resposta a corticoide. Foi realizada biopsia renal, que mostrou 22 glomérulos, todos com a imagem semelhante ao apresentado na figura a seguir. A imunofluorescência foi negativa.

(Coloração de prata de Jones. Disponível em: https://www.ajkd.org)
Qual é o diagnóstico da glomerulopatia?
Provas
Homem, 75 anos, diabético tipo 2, DRC G3bA2 e insuficiência cardíaca com fração de ejeção de 32%. Várias internações prévias com hipervolemia e hipercalemia, sendo suspenso enalapril. Atualmente, em uso de furosemida 40 mg duas vezes ao dia, discreto edema e sem dificuldade para respirar.
Exame físico: PA 146/86 mmHg, frequência cardíaca de 68 batimentos por minuto e frequência respiratória de 14 por minuto, sem congestão pulmonar e discreto edema.
Exames laboratoriais: K 5.4 mEq/L; gasometria arterial pH 7,49, pressão parcial de CO2 de 55 mmHg, pressão parcial de O2 de 90 mm Hg e bicarbonato 41 mEq/L.
Assinale a alternativa que apresenta a melhor conduta.
Provas
A hipertensão arterial (HA) em pacientes em diálise tem alta prevalência, e seu manejo, na prática do nefrologista, ocorre de forma heterogênea e, frequentemente, empírica.
Assinale a alternativa correta em relação ao manuseio da hipertensão arterial durante o procedimento hemodialítico.
Provas
Caderno Container