Foram encontradas 960 questões.
Paciente do sexo masculino, 3 anos de idade, apresenta quadro compatível com puberdade precoce. Tomografia de abdome mostra tumoração em glândula adrenal à direita de aproximadamente 3 cm no maior eixo. Qual a melhor estratégia terapêutica?
Provas
Em relação ao abscesso pulmonar, assinale a alternativa correta.
Provas
Paciente do sexo feminino, 3 anos de idade, apresenta tumoração abdominal assintomática. Exame físico: tumoração endurecida, indolor, lisa, localizada no flanco esquerdo e não ultrapassa a linha média. Qual o diagnóstico clínico mais provável?
Provas
A pneumonia associada à ventilação mecânica (PAVM) tem etiologia semelhante a pneumonia hospitalar (PH), com diferença em alguns detalhes, sendo que a pesquisa microbiana é mais fácil na PAVM, que na PH, pois o paciente encontra-se entubado.
Assinale a alternativa correta.
Provas
Criança do sexo feminino, 7 anos de idade, apresenta dor abdominal há 5 dias localizada em fossa ilíaca direita. Exame físico: massa à palpação na fossa ilíaca direita. Ultrassom de abdômen: bloqueio de alças intestinais e adenomegalia mesentérica. O achado cirúrgico é de uma massa envolvendo alças intestinais e apêndice cecal não visualizado. Qual é a melhor conduta intraoperatória?
Provas
Recém-nascido do sexo feminino, 35 semanas de gestação, com gastrosquise. Exame físico: presença de um peel moderado sem qualquer malformação intestinal associada. À redução do intestino sob anestesia geral, a pressão intraperitoneal ficou em 8 mmHg. Qual a opção cirúrgica mais adequada?
Provas
Paciente de 45 anos vem ao PA com quadro de tosse seca, e dispneia de início há 3 dias, evoluindo com febre de 38,5º há 24 hs, mialgias e indisposição. Refere que seu filho de 3 anos e esposa apresentam quadro semelhante. Não fumante, nega comorbidades significativas. Ao exame clínico, apresentava-se taquipneico, taquicárdico, febril, com spO2 89% e hiperemia de orofaringe, com ausculta pulmonar normal, sem outras anormalidades.
Assinale a alternativa correta.
Provas
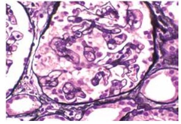
Paciente feminina, 31 anos, com queixas de faringoalgia e febre, recebeu prescrição de penicilina benzatina, com resolução de quadro clínico. Cinco dias depois, iniciou cefaleia frontal, indisposição e notou diminuição do volume urinário, com aspecto mais nublado da urina. Refere edema discreto e nega tanto hipertensão neste período quanto doenças prévias. Procurou o pronto atendimento, onde foi verificada piora de função renal (creatinina de 3,5 mg/dL), hematúria, leucocitúria e proteinuria +++/4 em fita de urina.
Submetida à biópsia renal: cortical representada por 28 glomérulos, 15 glomérulos apresentam hiperplasia podocitária segmentar e colapso parcial ou global de alças capilares. O restante deles tem a estrutura geral preservada, com celularidade normal, capilares com luz patente e membrana basal sem alterações significativas. As cápsulas de Bowman estão íntegras.

(Coloração de prata de Jones. Disponível em: https://www.ajkd.org)
A opção diagnóstica que melhor justifica o caso é:
Provas
Lactente do sexo masculino com 6 meses de idade apresenta aumento da bolsa testicular bilateral, com variação do volume. US: hidrocele comunicante bilateral. Qual a conduta mais adequada?
Provas
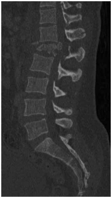
Paciente de 87 anos de idade relata dor na região lombar, em queimação, que irradia para membro inferior direito, associada a formigamento. A dor surgiu de forma súbita após o paciente desequilibrar-se e sofrer uma queda com impacto na região glútea. Desde então, a dor vem de forma contínua, sem fatores de melhora ou piora. Foi realizada uma ressonância magnética da coluna:

(Arquivo pessoal; imagem usada com autorização)
Diante dessa condição clínica, assinale a alternativa correta quanto à conduta a ser tomada.
Provas
Caderno Container