Foram encontradas 960 questões.
Mulher de 23 anos é levada ao pronto-socorro após passar mal em um show de rock. Ao exame físico, ela apresenta parestesias periorais e espasmos carpopodais. Constitui a mais provável explicação para essa condição:
Provas
Paciente admitido no pronto-socorro com queixas de redução do volume urinário, dispneia e fraqueza muscular. Refere o uso de anti-inflamatório não esteroidal (AINE) há 7 dias por dor lombar. Os exames mostravam ureia 150 mg/dL (20 a 30 mg/dL); creatinina 6,2 mg/dL (0,7 a 1,1 mg/dL); potássio plasmático 6,6 mEq/L (3,5 a 5 mEq/L) e bicarbonato de 12 mEq/L (22 a 24 mEq/L).
Para a redução e a remoção do potássio plasmático até o início da hemodiálise qual é a conduta prescrita?
Provas
Mulher de 35 anos realiza exames laboratoriais de rotina, para um exame admissional de emprego, que revelam: leucócitos: 5.100/mm3; hemoglobina: 12,7 g/dL; creatinina: 1,0 mg/dL. O exame de urina mostra bactérias 2+/4, sem leucocitúria; urocultura: crescimento de Escherichia coli com mais de 100.000 unidades formadoras de colônias. Ela teve infecções urinárias ocasionais no passado, mas nenhuma no último ano. No geral, seu histórico médico é negativo, em uso apenas de anticoncepcional oral. O beta-HCG urinário é negativo. Os sinais vitais e o exame físico são normais. A melhor conduta nessa paciente é:
Provas
No Brasil, são notificados, anualmente, mais de 130 mil acidentes causados por animais peçonhentos como serpentes, aranhas, abelhas, lagartos e escorpiões.
Em relação aos acidentes provocados por estes animais, assinale a alternativa correta.
Provas
Homem de 64 anos apresenta quadro de 6 horas de evolução com fraqueza no lado direito do corpo e fala “arrastada” persistentes. O histórico é relevante para hipertensão arterial e diabetes tipo 2, em uso de metformina e lisinopril. Sinais vitais: pressão arterial: 206 × 108 mmHg; frequência cardíaca: 75 bpm. Glicemia capilar: 135 mg/dL. O exame neurológico confirma a hemiparesia direita e disartria; o restante do exame é normal. Hemograma, eletrólitos, função renal e coagulograma são normais. Eletrocardiograma: sem alterações. A tomografia de crânio mostra uma área de isquemia discreta sem hemorragia associada. Nesse momento, a intervenção mais importante é:
Provas
Não existe uma substância endógena ideal para a determinação do ritmo de filtração glomerular (RFG). Para a inferência da função renal, a substância mais utilizada na prática clínica é a creatinina.
Assinale a alternativa correta em relação à creatinina.
Provas
A nefrite lúpica (NL) é uma das mais importantes manifestações do lúpus eritematoso sistêmico (LES). Sua incidência chega a 60% dos casos durante os primeiros cinco anos após o diagnóstico do LES, e suas formas de apresentação podem variar.
Assinale a alternativa correta em relação aos achados renais no lúpus eritematoso sistêmico (LES).
Provas
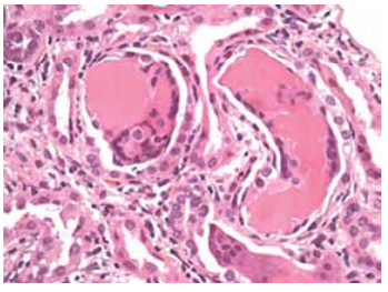
Mulher de 65 anos, hipertensa, foi avaliada para dorsalgia torácica, injúria renal aguda, anemia e hipercalcemia. A paciente usava ibuprofeno 3-4 vezes/dia, losartana e clortalidona. O exame de urina mostrou traços de proteína, e a relação proteína-creatinina na urina foi de 4,8 mg/mg. As cadeias leves λ livres de soro foram de 726 mg/dL, e a relação κ/λ foi de 0,3. Apesar da hidratação intravenosa e da correção da hipercalcemia, sua função renal piorou, e foi iniciada hemodiálise e realizada uma biópsia renal.

(Hematoxilina e eosina; aumento original, ×400.Disponível em: https://www.ajkd.org)
Qual achado de biópsia renal provavelmente será observado nesta paciente?
Provas
Homem de 32 anos, encontrado em via pública e resgatado pelo SAMU, é admitido com rebaixamento do nível de consciência.
Exames laboratoriais na admissão: creatinina 1,6 mg/dL; sódio 145 mEq/L; potássio 3,0 mEq/L; cloro 104 mmoL/L; gasometria arterial pH 7,25; PCO2 32 mmHg; HCO3 14 mEq/L; osmolaridade sérica 330 mOsm/L.
Assinale a alternativa que apresenta a principal hipótese diagnóstica frente ao quadro clínico e aos exames laboratoriais.
Provas
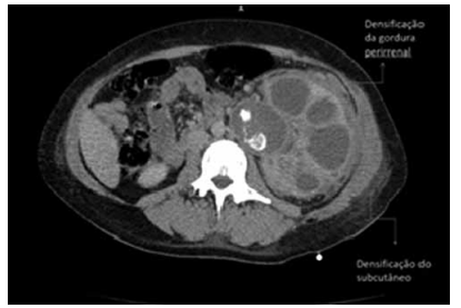
Mulher de 58 anos apresenta-se com dor no flanco, febre e mal-estar prolongado. Ela tem um histórico de infecções recorrentes do trato urinário e cálculos renais. Exames de urina revelam piúria e bacteriúria. Uma tomografia computadorizada mostra uma massa renal com características de “pata de urso” e densificação da gordura perirrenal e densificação do subcutâneo.

(https:// drpixel.fcm.unicamp.br)
Com base na história clínica e no exame de imagem, assinale a alternativa que apresenta o diagnóstico correto.
Provas
Caderno Container