Foram encontradas 960 questões.
Homem de 75 anos com histórico de diabetes mellitus tipo 2 há cerca de 30 anos é avaliado em consulta de retorno. O histórico também é relevante para doença renal crônica estágio G3b, doença arterial coronariana, fibrilação atrial, hipertensão arterial, dislipidemia, neuropatia diabética e retinopatia diabética leve. O tratamento atual é: insulina glargina (80 UI/dia); metformina (1.000 mg/dia); empagliflozina (25 mg/dia); glipizida (10 mg/dia). Além disso, a semaglutida (1 mg/semana) foi iniciada na última consulta. O paciente verifica a glicemia capilar principalmente pela manhã e relata que os valores geralmente ficam entre 180 e 190 mg/dL. O valor atual da hemoglobina glicada (HbA1c) é 7,5%. Ele descreve episódios de suores noturnos, que ocorrem uma vez por semana, e relata ter perdido 6,8 kg desde o início da semaglutida. O IMC atual é 29,5 kg/m2.
Considerando as evidências científicas atuais, a próxima melhor conduta no manejo desse paciente é:
Provas
Em pacientes com hemorragia digestiva baixa aguda significativa, na qual a endoscopia digestiva alta resultou normal, qual a conduta diagnóstica de escolha inicial após estabilização hemodinâmica?
Provas
Em relação à abordagem cirúrgica das hérnias inguinais em pacientes adultos, assinale a alternativa correta de acordo com as diretrizes mais recentes.
Provas
Qual dos exames a seguir, é considerado mais apropriado para a avaliação da extensão local do câncer esofágico avançado e definição do estadiamento T, de acordo com o sistema TNM de estadiamento?
Provas
Homem de 21 anos apresenta queixas de erupção cutânea com coceira intensa que se formou na sola do pé e está se espalhando lentamente. Refere que viajou recentemente para praia, onde ficou 5 dias. Ao exame físico, observa-se uma lesão do tipo serpiginosa com formação de bolhas no local afetado. Quanto à principal hipótese diagnóstica, o tratamento inicial recomendado é:
Provas
Em relação à doença celíaca, o teste recomendado para triagem, em caso de suspeita da condição, é:
Provas
O instrumento que é mais indicado para a dissecção delicada de planos avasculares em cirurgia colorretal é
Provas
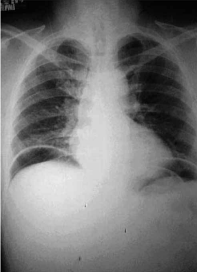
Homem, 69 anos, tabagista, com histórico de uso crônico de AINEs por osteoartrite, apresenta dor epigástrica súbita, intensa, há 4 horas, irradiando para dorso. Ao exame: abdome em tábua, dor à descompressão brusca, sinal de Jobert presente. PA 116/77 mmHg, FC 108 bpm, febre de 38,2ºC. Leucograma com 16.000/mm3 , lactato: 3,5 mmol/L. Radiografia de tórax em ortostase demonstrada na imagem a seguir.

(https://www.researchgate.net/)
Qual é a conduta mais apropriada?
Provas
Homem de 47 anos inicia um regime de interferon alfa para hepatite C crônica. Três meses depois, relata palpitações, tremores de extremidades e perda de peso de 2,3 kg. Não há desconforto ocular, problemas de visão ou dor cervical. Frequência cardíaca: 108 bpm. Tireoide: sem dor, nódulos ou sopro; peso estimado de 25 gramas. Exames séricos: TSH < 0,01 mU/L (normal: 0,5 a 4,5); T4 livre: 2,4 ng/dL (normal: 0,8 a 1,8); título de anticorpos anti-TPO: 230 UI/mL (normal: < 2,0 UI/mL). Captação de iodo radioativo em 24 horas: 0,4%.
O hepatologista interrompe o interferon alfa. A próxima conduta que deve ser recomendada agora é:
Provas
Uma mulher de 68 anos, com DRC G4A1 devido à glomerulonefrite crônica confirmada com biópsia renal, tem pressão arterial média fora do consultório de 144/85 mHg, em uso de enalapril 10 mg/dia, clortalidona 25 mg/dia e anlodipina 10 mg/dia.
Qual das seguintes intervenções seria mais apropriada para controle pressórico e para a redução do risco de progressão da DRC?
Provas
Caderno Container