Foram encontradas 1.940 questões.
Ao examinar pacientes com prolapso valvar mitral e insuficiência, solicita-se que o paciente fique agachado. Com isso, o click e a duração do sopro .
Assinale a alternativa que completa, correta e respectivamente, as lacunas.
Provas
Entre os critérios para realização de angiotomografia de coronárias está a probabilidade pré-teste de 10% a 70% pela estimativa de risco de Diamond-Forrester. Essa estimativa considera os seguintes parâmetros:
Provas
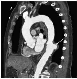
Homem, 60 anos, hipertenso, apresenta dor em dorso de forte intensidade e início súbito. FC: 90 bpm. PA: 200x120 mmHg. Realizou-se a tomografia computadorizada de aorta a seguir.

(BRAUNWALD, E. et al. (Ed.) Tratado de Doenças Cardiovasculares. 11 Ed. Rio de Janeiro: Editora Elsevier, 2022. 2 vol)
Com base no que revela o exame, a hipótese diagnóstica é:
Provas
Em relação à doença de Chagas, é correto afirmar:
Provas
Homem, 40 anos, com cansaço aos esforços, realiza ecocardiograma que demonstra abertura em cúpula da cúspide anterior e redução da mobilidade da cúspide posterior da valva mitral. A área valvar mitral é de 1,5 cm2 e o gradiente médio é de 10 mmHg. Em relação à terapia para evitar progressão da valvopatia, é correto prescrever, considerando alergia à penicilina:
Provas
Paciente, ao ser orientado sobre como evitar gordura saturada, questiona qual óleo contém mais gordura. Considerando o questionamento, assinale a alternativa que apresenta a resposta correta.
Provas
Paciente com história de extrassístoles procura atendimento médico com queixa de palpitações. Ao exame físico nota-se sopro sistólico que aumenta de intensidade a cada batimento extrassístólico, esse achado indica:
Provas
Em paciente com infarto agudo do miocárdio de parede anterior que evolui com choque cardiogênico é indicado angioplastia de resgaste e implante de balão intra-aórtico (BIA). O BIA permite aumentar o volume sistólico do ventrículo esquerdo em:
Provas
Homem, 35 anos, apresenta hipertensão arterial refratária, apesar do uso regular de anti-hipertensivos. Para pesquisa de hipertensão secundária, é realizado teste com furosemida intravenosa que foi positivo (atividade plasmática de renina reduzida). Tomografia computadorizada não revela nódulo adrenal. Para o tratamento dessa condição deve-se considerar:
Provas
Assinale a alternativa correta sobre a indicação do uso de contraste ecocardiográfico na ecocardiografia sob estresse com dobutamina.
Provas
Caderno Container