Magna Concursos

Foram encontradas 1.940 questões.

3610845 Ano: 2024
Disciplina: Medicina
Banca: VUNESP
Orgão: EsFCEx

A ecocardiografia oferece dados importantes sobre a função diastólica do ventrículo esquerdo. Assinale a alternativa que contém uma condição na qual a ecocardiografia traz dados confiáveis sobre a função diastólica.

 

Provas

Questão presente nas seguintes provas
3610844 Ano: 2024
Disciplina: Medicina
Banca: VUNESP
Orgão: EsFCEx

Mulher, 60 anos, insuficiência cardíaca com fração de ejeção de 35% e fibrilação atrial faz uso atualmente de furosemida, enalapril, metoprolol, espironolactona e digoxina. Procura pronto atendimento com queixa de palpitações. Realiza o ECG a seguir.

Enunciado 4231928-1

(Arquivo pessoal; imagem usada com autorização)

Com base nas informações apresentadas e no ECG, o ritmo é:

 

Provas

Questão presente nas seguintes provas
3610843 Ano: 2024
Disciplina: Medicina
Banca: VUNESP
Orgão: EsFCEx

Homem, 70 anos, apresenta fratura de fêmur, tendo recusado tratamento cirúrgico. Dois dias após, evolui com dispneia súbita e realiza angiotomografia de tórax que mostra tromboembolismo pulmonar em artéria pulmonar direita. Evolui, logo após, com parada cardiorrespiratória em atividade elétrica sem pulso. Iniciada ressuscitação cardiopulmonar (RCP) e considerada terapia trombolítica. Nesse contexto, é correto afirmar que a terapia trombolítica

 

Provas

Questão presente nas seguintes provas
3610842 Ano: 2024
Disciplina: Medicina
Banca: VUNESP
Orgão: EsFCEx

Homem, 60 anos, branco, miocardiopatia isquêmica com fração de ejeção do ventrículo esquerdo de 30%, classe funcional III, em uso de furosemida 160 mg/dia, captopril 150 mg/dia, espironolactona 25 mg/dia, dapaglifozina e carvedilol 50 mg/dia. FC: 75 bpm; PA: 100 x 60 mmHg. ECG com ritmo sinusal, bloqueio de ramo direito e QRS: 150 ms. Diante do exposto, a estratégia indicada, nesse momento, para melhora sintomática do paciente, é:

 

Provas

Questão presente nas seguintes provas
3610841 Ano: 2024
Disciplina: Medicina
Banca: VUNESP
Orgão: EsFCEx

Homem, 21 anos, apresenta episódio de síncope ao esforço. Solicitado ecocardiograma a seguir.

Enunciado 4231925-1

(BRAUNWALD, E. et al. (Ed.) Tratado de Doenças Cardiovasculares. 11 Ed. Rio de Janeiro: Editora Elsevier, 2022. 2 vol)

Com base nas informações apresentadas, assinale a alternativa que indica, corretamente, a hipótese diagnóstica.

 

Provas

Questão presente nas seguintes provas
3610840 Ano: 2024
Disciplina: Medicina
Banca: VUNESP
Orgão: EsFCEx

Pré-excitação ventricular é uma condição que pode estar associada a qual cardiopatia congênita?

 

Provas

Questão presente nas seguintes provas
3610839 Ano: 2024
Disciplina: Medicina
Banca: VUNESP
Orgão: EsFCEx

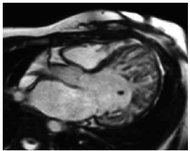
Mulher, 50 anos, apresenta quadro clínico de insuficiência cardíaca. Realiza ecocardiograma que mostra fração de ejeção do ventrículo esquerdo de 35%. Opta-se por realizar ressonância magnética cardíaca para pesquisa etiológica, demonstrada na imagem a seguir.

Enunciado 4231923-1

(BRAUNWALD, E. et al. (Ed.) Tratado de Doenças Cardiovasculares. 11 Ed. Rio de Janeiro: Editora Elsevier, 2022. 2 vol)

Com base nas informações apresentadas, considera-se como etiologia:

 

Provas

Questão presente nas seguintes provas
3610838 Ano: 2024
Disciplina: Medicina
Banca: VUNESP
Orgão: EsFCEx

Mulher, 65 anos, tabagista, hipertensa e diabética é submetida à cirurgia de revascularização miocárdica, com mamária interna esquerda para artéria descendente anterior e enxerto de veia safena para artéria coronária direita. Vinte dias após a cirurgia, a paciente é internada por dor torácica, sendo submetida a cateterismo cardíaco que mostra lesão de 90% em enxerto de veia safena. O enxerto da mamária interna esquerda não apresenta lesão. Considerando o caso clínico apresentado, assinale a alternativa correta com relação à conduta nesse momento.

 

Provas

Questão presente nas seguintes provas
3610837 Ano: 2024
Disciplina: Medicina
Banca: VUNESP
Orgão: EsFCEx

Existem doenças cardiovasculares que contraindicam a gestação, enquanto outras representam risco elevado, devendo ser considerado individualmente o risco preconcepção. Assinale a alternativa que contém uma contraindicação à gravidez.

 

Provas

Questão presente nas seguintes provas
3610836 Ano: 2024
Disciplina: Medicina
Banca: VUNESP
Orgão: EsFCEx

Mulher, 40 anos, IMC: 22 kg/m2, sem antecedentes pessoais relevantes e história de infarto do miocárdio no pai aos 70 anos de idade, será submetida à cirurgia de mama. Considerando que em seu pré-operatório já foram solicitados exames laboratoriais, assinale a alternativa correta.

 

Provas

Questão presente nas seguintes provas