Magna Concursos

Foram encontradas 1.580 questões.

2829084 Ano: 2022
Disciplina: Medicina
Banca: VUNESP
Orgão: EsFCEx

A prevenção de infecção no recém-nascido (RN) depende da correta orientação da gestante e de sua parceria. Assinale a alternativa que apresenta a conduta correta.

 

Provas

Questão presente nas seguintes provas
2829082 Ano: 2022
Disciplina: Medicina
Banca: VUNESP
Orgão: EsFCEx

Um paciente que vive com HIV inicia quadro de icterícia associada a fadiga, náuseas, vômitos e discreta dor abdominal difusa há 5 dias. Exames laboratoriais revelaram AST e ALT aumentadas em oito vezes e HVC-RNA positivo. Em relação ao tratamento, assinale a alternativa correta.

 

Provas

Questão presente nas seguintes provas
2829080 Ano: 2022
Disciplina: Medicina
Banca: VUNESP
Orgão: EsFCEx

Assinale a alternativa que apresenta o agente etiológico da quinta doença exantemática.

 

Provas

Questão presente nas seguintes provas
2829079 Ano: 2022
Disciplina: Medicina
Banca: VUNESP
Orgão: EsFCEx

Em relação ao diagnóstico da malária, assinale a alternativa correta.

 

Provas

Questão presente nas seguintes provas
2829078 Ano: 2022
Disciplina: Medicina
Banca: VUNESP
Orgão: EsFCEx

Para determinar a sensibilidade de um microrganismo a um antimicrobiano é necessário que sua concentração inibitória mínima (mic) seja

 

Provas

Questão presente nas seguintes provas
2829077 Ano: 2022
Disciplina: Medicina
Banca: VUNESP
Orgão: EsFCEx

Analise o caso e responda à questão.

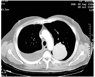
Paciente do sexo masculino, 45 anos, procura ambulatório de clínica médica relatando que há dois meses iniciou quadro de dor em hemitórax direito que piorava com a inspiração profunda. Essa dor diminuiu gradualmente ao mesmo tempo que surgiram episódios de febre baixa (37,9 oC) sempre no final da tarde. Relata emagrecimento de 9 kg nesse período. Tabagista 40 anos/maço. Nega antecedentes mórbidos pessoais ou contato com pessoas doentes. Após exame físico, o médico solicita uma tomografia computadorizada de tórax que está apresentada a seguir.

Enunciado 3014080-1

A dosagem da adenosina desaminase

 

Provas

Questão presente nas seguintes provas
2829076 Ano: 2022
Disciplina: Medicina
Banca: VUNESP
Orgão: EsFCEx

Analise o caso e responda à questão.

Paciente do sexo masculino, 45 anos, procura ambulatório de clínica médica relatando que há dois meses iniciou quadro de dor em hemitórax direito que piorava com a inspiração profunda. Essa dor diminuiu gradualmente ao mesmo tempo que surgiram episódios de febre baixa (37,9 oC) sempre no final da tarde. Relata emagrecimento de 9 kg nesse período. Tabagista 40 anos/maço. Nega antecedentes mórbidos pessoais ou contato com pessoas doentes. Após exame físico, o médico solicita uma tomografia computadorizada de tórax que está apresentada a seguir.

Enunciado 3014079-1

A principal hipótese diagnóstica é:

 

Provas

Questão presente nas seguintes provas
2829075 Ano: 2022
Disciplina: Medicina
Banca: VUNESP
Orgão: EsFCEx

O controle de cura de um paciente com diagnóstico confirmado de esquistossomose mansônica, na fase hepatointestinal, deve ser realizado através da detecção de ovos Schistossoma mansoni nas fezes pelo método de Kato Katz após

 

Provas

Questão presente nas seguintes provas
2829074 Ano: 2022
Disciplina: Medicina
Banca: VUNESP
Orgão: EsFCEx

Em relação à vacina recombinante contra herpes zóster, pode-se afirmar que

 

Provas

Questão presente nas seguintes provas
2829073 Ano: 2022
Disciplina: Medicina
Banca: VUNESP
Orgão: EsFCEx

O primeiro vírus humano confirmado como um oncovírus, e que pode dar origem a várias neoplasias linfoproliferativas em hospedeiro imunocomprometido, é o

 

Provas

Questão presente nas seguintes provas