Foram encontradas 1.580 questões.
A gonorreia é a segunda infecção sexualmente transmissível mais prevalente no mundo, podendo causar sérios problemas à saúde se não for convenientemente tratada. Pode-se afirmar com relação a essa doença que
Provas
Caso o paciente referisse ter realizado sessões de fisioterapia em hidromassagem devido à entorse de tornozelo nas três semanas anteriores ao início dos sintomas, poderia ser considerado(a) como agente etiológico mais provável
Provas
Responda à questão com base no caso clínico a seguir.
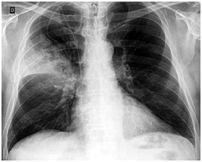
Paciente masculino de 69 anos dá entrada no pronto -socorro com queixa de tosse e expectoração amarelada há 4 dias. Relata febre alta não aferida, calafrios e sudorese noturna. Relata dois episódios de fezes líquidas no período. Nega cefaleia, disúria ou lesões de pele. Refere diabetes mellitus e hipertensão arterial sistêmica com tratamento irregular. Tabagista com carga tabágica de 30 maços/ano.
Ao exame, encontra-se em REG, consciente e orientado, desidratado ++/4+; temperatura axilar 38 oC; FR 22 irpm, PA 120 x 70, ritmo cardíaco regular em 2 tempos sem sopros; FC 124 bpm, MV presente com EC em base e 1/3 médio HTD, saturação O2 92% em ar ambiente, dextro 340 mg/dL.
RX de tórax:

O uso rotineiro de corticosteroide estaria indicado caso apresente doença
Provas
Responda à questão com base no caso clínico a seguir.
Paciente masculino de 69 anos dá entrada no pronto -socorro com queixa de tosse e expectoração amarelada há 4 dias. Relata febre alta não aferida, calafrios e sudorese noturna. Relata dois episódios de fezes líquidas no período. Nega cefaleia, disúria ou lesões de pele. Refere diabetes mellitus e hipertensão arterial sistêmica com tratamento irregular. Tabagista com carga tabágica de 30 maços/ano.
Ao exame, encontra-se em REG, consciente e orientado, desidratado ++/4+; temperatura axilar 38 oC; FR 22 irpm, PA 120 x 70, ritmo cardíaco regular em 2 tempos sem sopros; FC 124 bpm, MV presente com EC em base e 1/3 médio HTD, saturação O2 92% em ar ambiente, dextro 340 mg/dL.
RX de tórax:

Se tivesse que avaliar o risco de evolução desse paciente pedindo somente um exame, o mais importante seria
Provas
A endocardite infecciosa é uma doença de difícil diagnóstico, com significante morbidade e mortalidade se não diagnosticada e tratada de forma rápida e conveniente em tempo. Com relação a essa doença, assinale a alternativa correta.
Provas
A pandemia de covid-19 explodiu a partir dos primeiros casos notificados na China em dezembro de 2019. Muitas mudanças ocorreram no seu tratamento desde àquela época. Com relação à conduta a ser tomada em pacientes com diagnóstico dessa doença, pode-se afirmar que
Provas
Responda à questão com base no caso clínico a seguir.
Mulher de 53 anos, procedente de zona rural de Camanducaia, MG, casada, refere cefaleia holocraniana de forte intensidade (8/10) há quatro dias. A cefaleia iniciou em pontada, acompanhada de fotofobia e, no segundo dia, procurou posto de saúde na região sendo diagnosticada com enxaqueca, medicada com anti-inflamatório não hormonal, dispensada e orientada a retornar se não houvesse melhora. Com piora do quadro, aparecimento de febre não medida e vômitos, com conteúdo alimentar, retorna sendo encaminhada ao pronto- -socorro do hospital. Previamente hígida. Relata uso frequente de omeprazol por gastrite (sic). Vive em sítio em região rural, com produção de leite e queijos.
Ao exame: FC: 110; FR: 16; T: 38 °C.
Exame neurológico com Glasgow 15; com rigidez de nuca; Sinal Kernig e Brudzinsky positivos.
Na tomografia de crânio, sem contraste, não apresenta evidências de lesões focais ou difusas e anormalidades no sistema ventricular.
Realiza então punção lombar com coleta de LCR que revelou aspecto turvo, com 150 células/mm3 (neutrófilos 30%, linfócitos 65% e monócitos 5%), proteína: 133 mg/dL, glicose: 43 mg/dL.
Com relação à conduta tomada, pode-se afirmar que foi
Provas
Responda à questão com base no caso clínico a seguir.
Mulher de 53 anos, procedente de zona rural de Camanducaia, MG, casada, refere cefaleia holocraniana de forte intensidade (8/10) há quatro dias. A cefaleia iniciou em pontada, acompanhada de fotofobia e, no segundo dia, procurou posto de saúde na região sendo diagnosticada com enxaqueca, medicada com anti-inflamatório não hormonal, dispensada e orientada a retornar se não houvesse melhora. Com piora do quadro, aparecimento de febre não medida e vômitos, com conteúdo alimentar, retorna sendo encaminhada ao pronto- -socorro do hospital. Previamente hígida. Relata uso frequente de omeprazol por gastrite (sic). Vive em sítio em região rural, com produção de leite e queijos.
Ao exame: FC: 110; FR: 16; T: 38 °C.
Exame neurológico com Glasgow 15; com rigidez de nuca; Sinal Kernig e Brudzinsky positivos.
Na tomografia de crânio, sem contraste, não apresenta evidências de lesões focais ou difusas e anormalidades no sistema ventricular.
Realiza então punção lombar com coleta de LCR que revelou aspecto turvo, com 150 células/mm3 (neutrófilos 30%, linfócitos 65% e monócitos 5%), proteína: 133 mg/dL, glicose: 43 mg/dL.
A(s) melhor(es) escolha(s) para iniciar o tratamento é(são)
Provas
Responda à questão com base no caso clínico a seguir.
Mulher de 53 anos, procedente de zona rural de Camanducaia, MG, casada, refere cefaleia holocraniana de forte intensidade (8/10) há quatro dias. A cefaleia iniciou em pontada, acompanhada de fotofobia e, no segundo dia, procurou posto de saúde na região sendo diagnosticada com enxaqueca, medicada com anti-inflamatório não hormonal, dispensada e orientada a retornar se não houvesse melhora. Com piora do quadro, aparecimento de febre não medida e vômitos, com conteúdo alimentar, retorna sendo encaminhada ao pronto- -socorro do hospital. Previamente hígida. Relata uso frequente de omeprazol por gastrite (sic). Vive em sítio em região rural, com produção de leite e queijos.
Ao exame: FC: 110; FR: 16; T: 38 °C.
Exame neurológico com Glasgow 15; com rigidez de nuca; Sinal Kernig e Brudzinsky positivos.
Na tomografia de crânio, sem contraste, não apresenta evidências de lesões focais ou difusas e anormalidades no sistema ventricular.
Realiza então punção lombar com coleta de LCR que revelou aspecto turvo, com 150 células/mm3 (neutrófilos 30%, linfócitos 65% e monócitos 5%), proteína: 133 mg/dL, glicose: 43 mg/dL.
Com os dados fornecidos, qual a principal suspeita de agente etiológico para o caso?
Provas
A infecção latente pela Mycobacterium tuberculosis (ILTB) ocorre quando uma pessoa encontra-se infectada pela bactéria sem manifestação da doença ativa. Em geral, as pessoas infectadas permanecem saudáveis por muitos anos, sem transmitir o bacilo e com imunidade parcial à doença. Devem receber tratamento para ILTB
Provas
Caderno Container