Foram encontradas 1.540 questões.
É correto afirmar que cada bolsa de crioprecipitado aumenta o nível de fibrinogênio entre
Provas
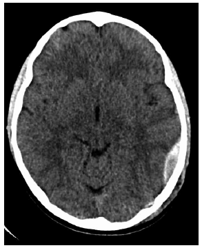
Considere a descrição e a imagem a seguir:
Menino sofreu queda há aproximadamente 4 horas. Estava andando de skate na rua e caiu de costas, no chão, e bateu a cabeça. Apresentou vômitos, está um pouco sonolento; fez a seguinte tomografia, sem contraste.

O diagnóstico é de hematoma
Provas
Adolescente, sexo masculino, que apresenta massa com densidade de partes moles, com intensa impregnação pelo meio de contraste, acometendo o seio etmoidal, a cavidade nasal e nasofaringe, determinando erosão óssea no plano da lâmina pterigoide. Em face do exposto, assinale a alternativa que apresenta o diagnóstico mais provável.
Provas
A infecção parasitária mais comum no parênquima cerebral em pacientes imunocomprometidos é por:
Provas
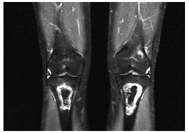
Paciente fez tratamento de leucemia e agora está com dor nos joelhos. A ressonância dos joelhos demonstra:

O diagnóstico mais provável é:
Provas
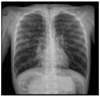
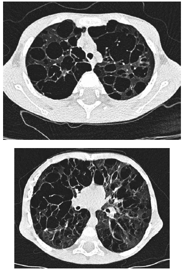
Considere as imagens e a seguinte descrição: menino, com cinco anos de idade, com piora lenta e progressiva de falta de ar há mais de um ano e piorando no último mês, impossibilitando-o de brincar.


O diagnóstico mais provável é:
Provas
Assinale a alternativa que apresenta a melhor descrição para o fibroadenoma à ultrassonografia.
Provas
Qual(ais) é(são) a(s) característica(s) mais frequente(s) dos hamartomas mamários?
Provas
Mulher de 45 anos, com prótese mamária de silicone ha 15 anos, relata sentir modificação na forma de sua mama direita. A ressonância magnética mostra várias linhas curvas com sinal de baixa intensidade dentro da prótese direita. Esse sinal indica:
Provas
No paciente diabético, no ultrassom do trato urinário, a causa mais provável de uma pequena massa ecogênica, sem sombra acústica, dentro do sistema coletor, pode ser:
Provas
Caderno Container