Foram encontradas 1.540 questões.
Considere um paciente, vítima de queda de bicicleta há 4 meses, com trauma e laceração na coxa, que vem piorando. Ao exame no pronto atendimento, as imagem são as seguintes:

As imagens apresentadas sugerem:
Provas
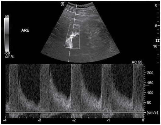
Considere a seguinte situação: paciente, sexo masculino, 73 anos, com história de hipertensão arterial sistêmica de difícil controle medicamentoso. Foi solicitado doppler das artérias renais.
As figuras a seguir mostram o achado de imagem mais relevante na artéria renal esquerda.


Analise as alternativas a seguir, e assinale aquela que melhor interpreta o exame doppler das artérias renais.
Provas
Considere a seguinte situação: paciente, sexo feminino, em pós-operatório de cirurgia bariátrica, com edema em membro inferior esquerdo e dor na região da panturrilha à dorsiflexão do pé. Foi solicitado ultrassom doppler duplex do sistema venoso profundo do membro inferior esquerdo, para pesquisa de trombose venosa profunda (TVP).
Em face do exposto, a alternativa que melhor descreve os possíveis achados ultrassonográficos na TVP é:
Provas
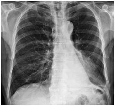
Qual é a principal anormalidade vista na radiografia a seguir?

Provas
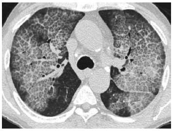
Homem de 50 anos, com dispneia há mais de 6 meses. Nesse caso, considerando-se a imagem a seguir, o padrão tomográfico e o principal diagnóstico diferencial são:

Provas
Assinale a alternativa correta a respeito da ultrassonografia realizada no quadril de uma criança de 4 meses de idade, pelo método de Graf.

Provas
Sobre a broncodisplasia pulmonar (DBP), é correto afirmar:
Provas
Com relação às anomalias da luz duodenal, é correto afirmar:
Provas
Qual dos sulcos a seguir representa a área primária da visão?
Provas
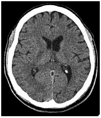
Observe a imagem e assinale a alternativa que indica qual é o local acometido pelo evento isquêmico.

Provas
Caderno Container