Foram encontradas 1.540 questões.
Situações em que o paciente consegue “executar componentes individuais de um ato motor complexo, mas não consegue executar a sequência inteira corretamente” são definidas como
Provas
Paciente de 62 anos, masculino, hipertenso e diabético é admitido com 2,5 horas de vertigem súbita, tetraparesia e sonolência. Tomografia de crânio demonstra hipersinal em território de artéria basilar. Sinais vitais: pressão arterial 180/90 mmHg, glicemia capilar 134 mg/dL e Saturação de O2 em ar ambiente de 94%. Assinale a conduta inicial correta para este paciente.
Provas
Assinale a afirmativa correta referente às neoplasias do sistema nervoso central.
Provas
Paciente de 50 anos queixa-se de parestesias nas mãos e pés, simétricas, com evolução para sensação de queimação, anestesia nos pés e perda de força na mão direita. Uma semana depois, evoluiu com paresia em membro superior direito e mialgia generalizada. Antecedentes de artrite reumatoide em uso de metotrexate. Assinale a alternativa que demonstra corretamente o resultado do exame eletroneuromiográfico dos 4 membros realizado nesta paciente.
Provas
Masculino, 44 anos, queixa-se de dificuldade de concentração há um ano e sonolência excessiva durante o dia. Nega estar ansioso ou deprimido. A esposa relata que o paciente ronca bastante à noite, apresenta muita agitação durante o sono e algumas vezes apresenta engasgos e parece que “para de respirar”. Ao exame, apresenta circunferência abdominal aumentada e circunferência cervical > 43 cm. Pressão arterial aferida de 126/80 mmHg. Assinale a conduta mais adequada para este quadro clínico.
Provas
Assinale a alternativa que contempla um medicamento utilizado no tratamento da demência por doença de Alzheimer e que possui ação antiglutamatérgica, como seu principal mecanismo de ação.
Provas
Paciente feminina, 81 anos, hipertensa e independente funcionalmente, é admitida no pronto-socorro com déficit neurológico de início há 3,5 horas, caracterizado por afasia motora e hemiparesia completa e proporcionada à direita. Ao exame, apresenta pontuação no NIH de 10, pressão arterial 170/90 mmHg e ritmo cardíaco irregular. Tomografia de crânio realizada com 4 horas do início dos sintomas sem alterações. Assinale a alternativa correta referente à conduta para esta paciente.
Provas
Assinale a alternativa correta referente à localização do núcleo de Edinger-Westphal.
Provas
Paciente de 29 anos é trazido pelo SAMU com história de crises convulsivas tônico-clônicas generalizadas de início há 20 minutos. Na ambulância, foi medicado com 10 mg de Diazepam endovenoso. Na admissão, paciente encontra-se torporoso, Sat02 em 87% com oxigênio nasal a 5 l/min, afebril e ainda apresentando crises motoras generalizadas. Qual é a conduta inicial mais correta para este paciente?
Provas
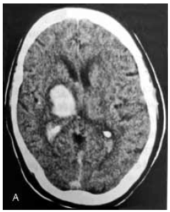
Paciente de 61 anos, admitido no pronto-socorro com duas horas de início de hemiplegia completa à esquerda. Sinais vitais na admissão: Pressão arterial 200/120 mmHg, glicemia capilar 134 mg/dL. Tomografia de crânio sem contraste abaixo. Assinale a alternativa correta referente a este caso clínico.

Provas
Caderno Container