Foram encontradas 1.540 questões.
São fatores de risco para ectasia corneana pós LASIK:
Provas
São considerados fatores de risco para miopia:
Provas
A fovéola e a fóvea (termos anatômicos correspondentes à fóvea e à mácula, respectivamente) têm um diâmetro aproximado de
Provas
O volume endotelial normal na córnea de um recém-nascido e na córnea de um indivíduo adulto (20-50 anos de idade), sem cirurgias ou traumas oculares pregressos, é de, respectivamente,
Provas
O núcleo embrionário do cristalino é constituído na
Provas
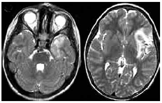
Feminina, 42 anos, admitida no pronto-socorro com história de febre não aferida e confusão mental de início há 3 dias. Enquanto aguardava para ser atendida, apresentou um episódio de crise convulsiva generalizada. Ao exame neurológico, apresentava confusão mental, agitação psicomotora e rigidez de nuca. O exame de neuroimagem encontra-se abaixo.

Exame de líquor mostrou pressão de abertura de 22 mmH20, celularidade de 25 com predomínio de linfócitos, proteinorraquia de 15 mg/dL e glicorraquia de 50 mg/dL. De acordo com este quadro clínico, assinale a alternativa correta.
Provas
No espectro da Esclerose Múltipla, quadros clínicos caracterizados por “apresentar episódios agudos de comprometimento neurológico com duração maior que 24 horas e com intervalo mínimo de 30 dias entre cada nova manifestação” devem iniciar o tratamento preventivo como? Assinale a alternativa correta.
Provas
Qual é a primeira opção terapêutica para um paciente masculino, 19 anos, com queixa de episódios de abalos musculares bilaterais, repetitivos e irregulares em membros superiores e com um padrão eletroencefalográfico descrito como “descargas de espícula-onda e polispícula- onda rápidas, generalizadas e irregulares com frequência de 12 a 15 Hz”? Assinale a alternativa correta.
Provas
Feminina, 52 anos, comparece ao consultório referindo dor súbita e lancinante, de curta duração, em hemiface esquerda, sem desencadeante e associada à sensação de repuxamento da musculatura do mesmo lado. Nega episódios semelhantes. Diante da suspeita diagnóstica de neuralgia do trigêmeo, assinale a alternativa correta.
Provas
Paciente comparece ao seu consultório referindo antecedentes de trombose venosa de seio sagital superior (TVC) com internação hospitalar há 3 meses. Recebeu alta com prescrição de warfarina, estando com INR controlado em torno de 2,5 desde então e fenitoína profilática. Traz consigo os exames realizados durante a internação hospitalar que confirmam o diagnóstico de TVC sem investigação etiológica. Ela solicita uma segunda opinião para continuidade do seu tratamento. Assinale a alternativa correta sobre esse caso.
Provas
Caderno Container