Foram encontradas 1.540 questões.
Com relação ao emprego atual do manitol no trauma cranioencefálico, é correto afirmar que
Provas
Uma pressão intra-abdominal elevada pode ser sintoma ou causa de doença abdominal aguda. Com relação a este fato, assinale a alternativa correta.
Provas
Mulher de 56 anos procura atendimento médico por fadiga, amarelado dos olhos e da pele, acolia fecal, colúria e prurido generalizado há 8 meses. No exame físico, foi constatada icterícia 3/4+ em pele e mucosas e esplenomegalia. Foram realizados os seguintes exames: TGO: 90 U/L; TGP: 57 U/L; bilirrubina total: 13,1 mg/dL; bilirrubina direta: 6,62 mg/dL; bilirrubina indireta: 6,48 mg/dL; Gama GT: 197 U/L; fosfatase alcalina 250 U/L. Dosagens de anticorpos AMA: reagente 1:160 e FAN reagente 1:80, biópsia hepática com esteatose em 10% dos hepatócitos e infiltrado neutrofílico e linfocitário na parede dos ductos biliares.
A etiologia do quadro da paciente é:
Provas
Homem de 24 anos refere, em consulta, quadro de diarreia mucossanguinolenta e cólicas abdominais há 2 meses. Foi submetido a exame de colonoscopia com biópsia, que detectou hiperemia da mucosa com comprometimento da mucosa e submucosa no cólon esquerdo, sigmoide e reto; ausência de inflamação de camadas mais profundas e ausência de granulomas não caseosos de células gigantes.
Estes caracteres apontam para o seguinte diagnóstico:
Provas
Mulher de 70 anos procura atendimento com queixa de dor epigástrica, inapetência e perda de peso (9,5 kg em 3 meses); nega disfagia. No exame físico, apresenta-se descorada, com sinais vitais normais; pescoço sem alterações; nódulo palpável em fossa supraclavicular esquerda, aumentado, endurecido e aderido aos planos profundos. Ausência de outros linfonodos aumentados.
A principal hipótese diagnóstica é
Provas
Mulher de 63 anos deu entrada na emergência com quadro de dor abdominal em fossa ilíaca esquerda há 2 dias, associada à febre baixa. Ao exame físico, encontra-se em regular estado geral, febril (37,8 ºC), estável hemodinamicamente. Apresenta abdome flácido com dor localizada em fossa ilíaca esquerda com descompressão brusca positiva local.
Assinale a alternativa que apresenta a conduta mais adequada.
Provas
Mulher de 29 anos, vítima de atropelamento, é transportada pelo SAMU ao pronto-socorro com vias aéreas pérvias. Exame torácico: hipertimpanismo à percussão e murmúrio vesicular abolido em hemitórax esquerdo, desvio traqueal para a direita, saturação periférica de oxigênio (SaO2 = 82%). Pulso com frequência de 122 bpm, retardamento da perfusão periférica e PA = 90 x 70 mmHg com estase jugular. ECG = 9. Sem lesões musculoesqueléticas aparentes. O quadro descrito permite realizar o diagnóstico de
Provas
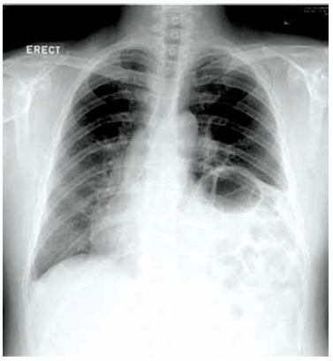
Homem de 73 anos, atendido em hospital após acidente automobilístico (condutor), apresentando contusões e escoriações na parede torácica e abdominal, encontra-se ansioso e agitado, com PA 110 x 75 mmHg, pulso 92 bpm, FR 24 irpm e saturação de oxigênio de 89%. Relata falta de ar e dor à palpação do abdome. No exame físico, o murmúrio vesicular está diminuído em base esquerda. RX tórax a seguir.

Com base na história clínica e nos dados do exame físico apresentados, a conduta a ser realizada ao paciente e a hipótese diagnóstica são, respectivamente:
Provas
Os ferimentos abdominais penetrantes, causados por arma branca ou arma de fogo, podem atravessar a parede abdominal e acarretar lesões de órgãos intraperitoneais. Podem acometer, mais frequentemente,
Provas
Uma opção cirúrgica para o reparo de defeitos abdominais ventrais complexos ou grandes é a técnica de separação de componentes. Durante a reparação de componentes anteriores, deve-se respeitar os seguintes procedimentos cirúrgicos:
Provas
Caderno Container