Foram encontradas 1.540 questões.
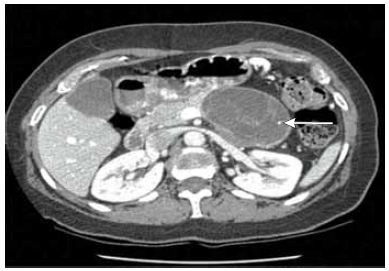
Mulher de 52 anos procura atendimento médico com queixa de dor abdominal há 10 meses, de fraca intensidade, sem relação com alimentação e ausência de alteração do hábito intestinal. Na investigação de seu quadro, solicitou-se tomografia abdominal, demonstrada a seguir (lesão apontada pela seta). Realizada punção aspirativa com agulha fina, cujo resultado demonstrou aspirado rico em mucina, níveis elevados de CEA e estroma similar ao do ovário.

O diagnóstico é de
Provas
Com relação aos sistemas atuais de pontuação para se avaliar a gravidade da pancreatite aguda, pode-se afirmar que
Provas
A tríade clínica de Borchardt é encontrada na seguinte afecção:
Provas
O papel do H. pylori na patogênese da doença ulcerosa péptica tem sido estudado ao longo das últimas décadas. Tendo em vista as recentes evidências desta associação, pode-se afirmar que
Provas
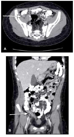
Homem de 19 anos deu entrada na emergência com sintomas e sinais de abdome agudo. A tomografia computadorizada do abdome está demonstrada a seguir.

Com relação a este caso, pode-se afirmar que,
Provas
Homem, 72 anos, dá entrada em serviço de urgência com queixa de fezes escurecidas (aspecto de borra de café) há cerca de 6 horas e apresentou um episódio de vômito com sangue na admissão, associado à fraqueza e tontura. Ao exame físico: descorado +, afebril, anictérico. PA: 110 x 60, FC: 100 bpm. Iniciadas medidas de estabilização e solicitada uma endoscopia digestiva alta que demonstrou tratar-se de úlcera péptica pré-pilórica com sangramento ativo em jato. A classificação da lesão sangrante, de acordo com a classificação de Forrest, é:
Provas
Mulher, 24 anos, sofreu um acidente numa competição de esqui. Dá entrada na emergência consciente, apresentando paraplegia flácida, abolição dos reflexos profundos dos membros inferiores. PA = 115 x 75 mmHg; P = 88 bpm; perfusão < 2 seg.; Sat. O2 = 96%; FR = 10 irpm; pele sem alterações; constata-se paralisia completa dos membros, e perda de todas as modalidades de sensibilidade. O diagnóstico da paciente é choque
Provas
Homem, 21 anos, vítima de queda de skate, deu entrada na emergência, conduzido por amigos. Estava consciente e orientado logo após a queda. Exame físico na admissão: hematoma sub-galeal na região têmporo-parietal direita. Após 2 horas do evento, o paciente apresentou rebaixamento do nível de consciência para Escala de Coma de Glasgow = 9. Esse quadro é decorrente de
Provas
Criança de 10 anos sofreu queda de bicicleta e dá entrada na emergência consciente, com trauma extenso de face, apresentando sangramento na cavidade oral e nasal. O exame do tórax, abdome, pelve e extremidades não evidenciou lesões; sinais vitais estáveis. Escala de Coma de Glasgow=15. A equipe de plantonistas providenciou atendimento inicial à vítima politraumatizada, mas o paciente apresentou parada respiratória súbita. Neste momento, a conduta imediata a ser realizada deverá ser
Provas
Mulher, 44 anos, procura o pronto-socorro por dor abdominal há 3 dias, acompanhada de vômitos e dificuldade para se alimentar. Refere episódios anteriores de dor abdominal após as refeições. Nega febre. Traz consigo um exame de endoscopia digestiva alta, realizada há 1 semana, com diagnóstico de gastrite moderada. Ao exame físico: BEG, desidratada ++/4+, corada; abdome flácido e com dor à palpação profunda do andar superior do abdome (mais acentuada à direita) com descompressão brusca positiva no local. Exames laboratoriais (hemograma, amilase, lipase e hepatograma) sem alterações.
Diante dessa história, é correto afirmar que
Provas
Caderno Container