Foram encontradas 120 questões.
Disciplina: Espanhol (Língua Espanhola)
Banca: CESPE / CEBRASPE
Orgão: ESCS
Científicos de Oregón han desarrollado una técnica para curar óvulos humanos de las enfermedades mitocondriales, que se transmiten por vía materna y afectan a uno de cada 5.000 recién nacidos. El método, similar a una clonación, consiste en trasplantar el genoma nuclear de un óvulo enfermo a otro sano. La idea que inspira el trabajo es que las mujeres que se saben portadoras de alguna enfermedad mitocondrial, sea porque sufren los síntomas o porque ya han tenido un hijo afectado, puedan curar sus óvulos antes de tener su siguiente hijo por fertilización in vitro.
Javier Sanpedro. Una técnica evita el paso de madre a hijo de dolencias genéticas. In: El País. Sección: Sociedad, 24/10/2012 (con adaptaciones).
De acuerdo al texto, las mujeres a las que se dirige el estudio
Provas
Disciplina: Espanhol (Língua Espanhola)
Banca: CESPE / CEBRASPE
Orgão: ESCS
Los expertos recuerdan que en cuanto la vacunación disminuye, la enfermedad reaparece. Por eso advierten sobre la amenaza que supondría eliminar algunas vacunas del calendario infantil por ahorrar costes en estos tiempos de recortes. “En el momento que bajamos la guardia nos encontramos con la enfermedad. Y con la crisis podemos llevarnos algunos sustos”, asegura el doctor Ángel Gil.
Idem, ibidem (con adaptaciones).
En el texto, la expresión “ahorrar costes” se refiere a
Provas
Doctors Without Borders
Doctors Without Borders/Médecins Sans Frontières (MSF) is an international medical humanitarian organization created by doctors and journalists in France in 1971. In 1999, the organization received the Nobel Peace Prize.
Today, MSF provides independent, impartial assistance in more than 60 countries to people whose survival is threatened by violence, neglect, or catastrophe, primarily due to armed conflict, epidemics, malnutrition, exclusion from health care, or natural disasters. MSF gives assistance to those most in need. MSF also calls attention to neglected crises, challenges inadequacies or abuse of the aid system, and defends improved medical treatments and protocols.
Humanitarian Action
MSF's work is based on the humanitarian principles of medical ethics and impartiality. The organization is dedicated to giving quality medical care to people in crises not considering race, religion, or political affiliation.
MSF operates independently of any political, military, or religious views. Medical teams conduct evaluations to determine a population's medical needs before opening programs, with the objective of answering problems that exist (instead of duplicating services that are already offered) or reach communities that are not being assisted. The key to MSF’s ability to act independently in response to a crisis is its independent funding. Ninety percent of MSF's overall funding (and 100 percent of MSF-USA's funding) comes from private, non-governmental sources. In 2009, MSF had 3.8 million individual donors and private funders all over the world. As a consequence, MSF is a neutral organization. It does not take sides in any armed conflicts, for example.
Internet: <www.doctorswithoutborders.org> (adapted).
It is correct to say that this text is
Provas
La médecine en ligne ne serait pas moins coûteuse
La technologie fait avancer presque toutes les sphères de la société, et la médecine en est un excellent exemple. Mais, au-delà des percées en matière de traitements, on retrouve aussi des possibilités intéressantes comme celles de placer les dossiers des patients en ligne pour consultation.
C’est d’ailleurs une solution qui avait été envisagée par le gouvernement du Québec.
Cependant, une nouvelle étude rapportée par www.nlm.nih.gov prétend que la médecine en ligne ne serait pas moins coûteuse pour les contribuables.
Cela s’explique par le fait que les gens qui ont accès à ce type de service consulteraient leur médecin plus souvent qu’avant. Il semblait pourtant logique de penser que l’accès via Internet (par courriel, consultation en ligne etc.) des patients ferait baisser le nombre de visites réelles chez le médecin. Or, c’est tout le contraire.
Internet : <fr.canoe.ca> (adapté).
Dans la ligne 11 du texte, le mot “Or” exprime
Provas
La médecine en ligne ne serait pas moins coûteuse
La technologie fait avancer presque toutes les sphères de la société, et la médecine en est un excellent exemple. Mais, au-delà des percées en matière de traitements, on retrouve aussi des possibilités intéressantes comme celles de placer les dossiers des patients en ligne pour consultation.
C’est d’ailleurs une solution qui avait été envisagée par le gouvernement du Québec.
Cependant, une nouvelle étude rapportée par www.nlm.nih.gov prétend que la médecine en ligne ne serait pas moins coûteuse pour les contribuables.
Cela s’explique par le fait que les gens qui ont accès à ce type de service consulteraient leur médecin plus souvent qu’avant. Il semblait pourtant logique de penser que l’accès via Internet (par courriel, consultation en ligne etc.) des patients ferait baisser le nombre de visites réelles chez le médecin. Or, c’est tout le contraire.
Internet : <fr.canoe.ca> (adapté).
D’après le texte,
Provas
Doctors Without Borders
Doctors Without Borders/Médecins Sans Frontières (MSF) is an international medical humanitarian organization created by doctors and journalists in France in 1971. In 1999, the organization received the Nobel Peace Prize.
Today, MSF provides independent, impartial assistance in more than 60 countries to people whose survival is threatened by violence, neglect, or catastrophe, primarily due to armed conflict, epidemics, malnutrition, exclusion from health care, or natural disasters. MSF gives assistance to those most in need. MSF also calls attention to neglected crises, challenges inadequacies or abuse of the aid system, and defends improved medical treatments and protocols.
Humanitarian Action
MSF's work is based on the humanitarian principles of medical ethics and impartiality. The organization is dedicated to giving quality medical care to people in crises not considering race, religion, or political affiliation.
MSF operates independently of any political, military, or religious views. Medical teams conduct evaluations to determine a population's medical needs before opening programs, with the objective of answering problems that exist (instead of duplicating services that are already offered) or reach communities that are not being assisted. The key to MSF’s ability to act independently in response to a crisis is its independent funding. Ninety percent of MSF's overall funding (and 100 percent of MSF-USA's funding) comes from private, non-governmental sources. In 2009, MSF had 3.8 million individual donors and private funders all over the world. As a consequence, MSF is a neutral organization. It does not take sides in any armed conflicts, for example.
Internet: <www.doctorswithoutborders.org> (adapted).
Doctors Without Borders
Provas
Disciplina: Espanhol (Língua Espanhola)
Banca: CESPE / CEBRASPE
Orgão: ESCS
En España, uno de los problemas añadido al tema de la salud es la escasa vacunación entre el personal sanitario. El porcentaje de profesionales que se vacunan contra la gripe es del 25%. Los motivos esgrimidos el mencionado colectivo para no cumplir con las medidas preventivas se resumen a la despreocupación y el no considerarse persona de riesgo.
Las vacunas no son sólo para niños. In: La Voz de Galicia. Sección: Sociedad, 11/11/2012 (con adaptaciones).
Según el texto,
Provas

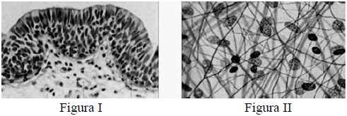
Com base nas figuras I e II acima, que ilustram tipos de tecido animal, assinale a opção correta.
Provas

Internet: < www.icb.usp.br>.
A figura acima ilustra o surgimento, no processo de formação da Terra, de alguns seres vivos. Considerando essa figura e os múltiplos aspectos a ela relacionados, assinale a opção correta.
Provas

O gráfico da função y = C(t) acima apresentado descreve o nível de concentração, em mg/dL, de determinado medicamento na corrente sanguínea de um paciente, em função do tempo t em horas, durante o período de 80 horas. O instante t = 0 corresponde ao momento do início do tratamento, quando o medicamento foi injetado no paciente pela primeira vez e C(0) = C(80) = 8 mg/dL. Considere essas informações e, ainda, que t = 0 corresponde às 10 h da segunda-feira, t = 1 às 11 h do mesmo dia, e assim sucessivamente, e que o medicamento seja injetado toda vez que sua concentração na corrente sanguínea atingir 5 mg/dL. Com relação a essa situação, assinale a opção correta.
Provas
Caderno Container