Foram encontradas 4.908 questões.
São objetivos da ultrassonografia do primeiro trimestre, exceto:
Provas
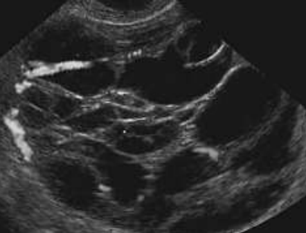
A imagem de um exame ultrassonográfico ginecológico abaixo é suspeita para:

Provas
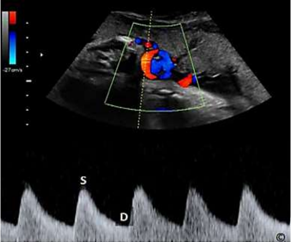
Assinale a alternativa que apresenta qual a estrutura representada na imagem a seguir.

Provas
A escala de avaliação da ASIA (American Spine Injury Association), utiliza os achados do exame neurológico para classificar os tipos de lesão em cinco categorias, exceto:
Provas
São tipos de degeneração de leiomiomas, exceto:
Provas
O tubo neural cresce, se contorce e se transforma em uma estrutura composta de três dilatações, conhecidas como vesículas, encefálicas e primitivas. Estas estruturas darão origem às estruturas anatômicas principais do indivíduo adulto. A vesícula rostral é chamada prosencéfalo e dá origem a uma parte cerebral. A esse respeito, assinale a alternativa correta.
Provas
Para a administração do tratamento quimioterápico endovenoso é necessário estabelecer um acesso venoso periférico adequado. A literatura indica que se dê preferência para as veias mais , , evitando-se veias rígidas, endurecidas e com alterações de cor e doloridas.
Assinale a alternativa que preencha corretamente as lacunas.
Provas
Assinale a alternativa que apresenta como pacientes submetidos a transplante de célulastronco hematopoiéticas (TCTH) devem ser orientados em relação às vacinas de acordo com a Sociedade Brasileira de Oncologia Clínica.
Provas
De acordo com a resolução COFEN n° 210/1998, são competências do enfermeiro em quimioterapia antineoplásica. Analise as afirmativas abaixo:
I. Planejar, organizar, supervisionar, executar e avaliar todas as atividades de Enfermagem, em clientes submetidos ao tratamento quimioterápico antineoplásico, categorizando-o como um serviço de alta complexidade, alicerçados na metodologia assistencial de Enfermagem.
II. Participar da definição da política de recursos humanos, da aquisição de material e da disposição da área física, necessários à assistência integral aos clientes.
III. Proporcionar condições para o aprimoramento dos profissionais de Enfermagem atuantes na área, através de cursos e estágios em instituições afins.
IV. Formular e implementar manuais educativos aos clientes e familiares, adequando-os à sua realidade social.
Estão corretas as afirmativas:
Provas
A Lei 9782/99 que define o Sistema Nacional de Vigilância Sanitária, cria a Agência Nacional de Vigilância Sanitária (ANVISA), e dá outras providências. Considerando os bens e produtos submetidos ao controle e fiscalização sanitária pela ANVISA, assinale a alternativa incorreta.
Provas
Caderno Container