Foram encontradas 4.908 questões.
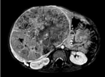
Menino, 2 anos e 6 meses, com aumento de tamanho do abdominal há meses, maior em hipocôndrio e flanco direitos. Ao exame físico: circulação colateral evidente e hepatomegalia endurecida a 8cm do rebordo costal direito.

Em relação ao diagnóstico de sua principal hipótese, é correto afirmar:
Provas
A Síndrome de Lise Tumoral é um dos eventos mais temidos na Oncologia. Sobre o tema é correto afirmar:
Provas
Sobre a Medicina de precisão e aplicação de drogas alvo em Oncologia, faça a correlação entre as drogas e alterações genéticas correspondentes:
1. Crizotinib
2. Nivolumab
3. Trametinib
4. Bevacizumab
5. Pembrolizumab
A. Anti PDL1
B. Anti VEGF
C. Anti PD1
D. Inibidor de ALK
E. Inibidor MEK
Provas
Sobre a quimioterapia combinada, é correto escolher entre as drogas:
Provas
Sobre os efeitos tardios da Radioterapia craniana, analise as afirmativas abaixo e dê valores Verdadeiro ou Falso (F).
( ) Hipogonadismo.
( ) Déficits neurocognitivos.
( ) Puberdade precoce.
( ) Deficiência de hormônio de crescimento.
Assinale a alternativa que apresenta a sequência correta de cima para baixo.
Provas
Sobre o uso de Radioterapia em crianças, analise as afirmativas abaixo.
I. A associação de radioterapia com alguns agentes quimioterápicos pode ter efeitos sinérgico.
II. A dose e fração são os principais fatores que determinam o efeito biológico nos tecidos.
III. A radioterapia cerebral nunca deve ser feita em crianças abaixo de 3 anos.
IV Não é possível repetir um ciclo de radioterapia em um tecido previamente irradiado.
Estão corretas as afirmativas:
Provas
As células com alterações descritas como ''olhos da órfã Annie" são observadas em determinada patologia. Diante do exposto, assinale a alternativa correta.
Provas
Durante uma ultrassonografia de tireoide, foi evidenciado um nódulo tireoidiano de 1,4 x 1,2 x 1,1 cm, hiperecóico, sólido com margens regulares. Assinale a alternativa correta.
Provas
As drogas quimioterápicas de primeira linha terapêutica para tratamento de meduloblastoma são:
Provas
Além do carcinoma papilífero e folicular, assinale a alternativa que apresenta o subtipo raro de câncer de tireoide com potencial agressivo e pior prognóstico.
Provas
Caderno Container