Foram encontradas 4.908 questões.
Mulher de 55 ano teve diagnóstico de ependimoma grau 1 de diferenciação, com extensão a partir da sétima vértebra cervical até a primeira vértebra dorsal (C7 a T1). A lesão foi completamente ressecada. A paciente não apresenta sequelas neurológicas. Assinale a alternativa que indica a conduta mais apropriada neste momento.
Provas
Mulher de 44 anos procura serviço médico devido a sangramento pós-coital. Os exames de investigação revelaram um carcinoma espinocelular de colo uterino, grau 1 de diferenciação, estadio IB1, sem evidência de invasão do espaço linfovascular. A paciente já tem 3 filhos e não deseja mais engravidar. Assinale a alternativa que apresenta qual o tratamento mais apropriado nesta situação.
Provas
Em relação à Síndrome de Lynch, assinale a alternativa correta.
Provas
Considerando as características farmacológicas do trastuzumabe-deruxtecano, assinale a alternativa incorreta.
Provas
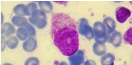
Analise o caso abaixo para responder às questões 59 e 60.
Menino, 13 anos, admitido no pronto socorro devido a febre, palidez e sangramento gengival, realizado hemograma e esfregaço de sangue periférico com os seguintes achados: Hb 8 (normocítica/normocrômica) Leucócitos 2350 (80% linfócitos, 7% segmentados, 4% monócitos e 9% células jovens) Plaquetas 35.000

Assinale a alternativa que apresenta qual o achado encontrado no esfregaço que auxiliou no diagnóstico morfológico.
Provas
Analise o caso abaixo para responder às questões 59 e 60.
Menino, 13 anos, admitido no pronto socorro devido a febre, palidez e sangramento gengival, realizado hemograma e esfregaço de sangue periférico com os seguintes achados: Hb 8 (normocítica/normocrômica) Leucócitos 2350 (80% linfócitos, 7% segmentados, 4% monócitos e 9% células jovens) Plaquetas 35.000

Sobre a principal hipótese diagnóstica é correto afirmar:
Provas
São indicações precisas para Transplante de medula óssea nas leucemias em primeira remissão, exceto:
Provas
Sobre o Retinoblastoma, assinale a alternativa correta.
Provas
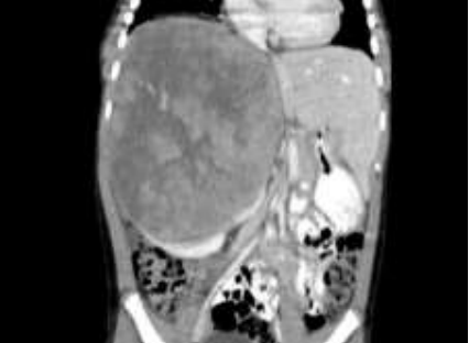
Menino, 5 anos, negro, admitido no Pronto Socorro com a queixa de aumento do volume abdominal, sem dor ou demais sintomas associados. Realizada Tomografia Computadorizada de abdome que evidencia a seguinte imagem:

Coletadas catecolaminas urinárias com VMA=10 e VMA=15.
Sobre a principal hipótese diagnóstica, assinale a afirmativa incorreta.
Provas
Sobre o Meduloblastoma, é correto afirmar:
Provas
Caderno Container