Foram encontradas 4.908 questões.
O Creme de Ureia 20% é adequado para feridas com hiperqueratose de membros inferiores: insuficiência venosa, linfedema e eczema. Diante do exposto, assinale a alternativa correta.
Provas
De acordo com a Comissão Nacional de Energia Nuclear (CNEN), Norma 6.10, analise as afirmativas abaixo e dê valores Verdadeiro (V) ou Falso (F).
( ) A documentação de proteção radiológica e o quadro para monitores individuais devem ser alocados em áreas livres.
( ) Os instrumentos de medição devem ser alocados em áreas supervisionadas.
( ) As salas de tratamento devem ser classificadas como áreas controladas.
( ) As salas de comando com painéis de controle de fontes de radiação devem ser classificadas como áreas livres.
( ) Os quartos especialmente preparados com blindagem, para internação exclusiva de pacientes com implantes temporários de fontes seladas de braquiterapia de baixa taxa de dose, devem ser classificadas como supervisionadas.
( ) Fontes emissoras de radiação beta, com atividade máxima de 370 MBq, podem ser mantidas, quando fora de uso, em áreas livres desde que estejam acondicionadas em blindagens adequadas, as quais devem ser guardadas e trancadas em armário de uso exclusivo, com identificação das fontes de radiação e com o símbolo internacional de radiação.
Assinale a alternativa que apresenta a sequência correta de cima para baixo.
Provas
No tratamento de feridas infectadas ou com um alto risco de infecção e com média a alta quantidade de exsudato o uso do curativo com Hidroalginato de Cálcio com Prata é indicado, sobre esse curativo, é correto afirmar que:
Provas
O transplante de córnea consiste na substituição de córnea opaca ou doente por córnea doadora transparente, é usado com o objetivo de melhorar a acuidade visual. Diante do exposto, assinale a alternativa incorreta.
Provas
O sinal descrito na questão anterior representa:
Provas
As prescrições de SBRT costumam ser planejadas para fornecer doses ablativas, que são, efetivamente, muito maiores do que aquelas administradas em fracionamentos convencionais. Um médico e um físico avaliam dois esquemas de fracionamento para tratar um determinado sítio com SBRT, o primeiro esquema refere-se a 3 frações de 20 Gy, enquanto o segundo, 5 frações de 12 Gy. Os profissionais optaram por calcular o BED (biologically equivalent dose) para ambos os casos. Sabendo que o valor encontrado para o primeiro esquema de fracionamento foi 180 Gy, assinale a alternativa que apresenta corretamente o valor aproximado do BED para o segundo esquema de fracionamento.
Provas
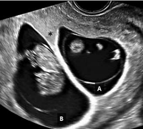
O asterisco na imagem abaixo corresponde ao sinal de:

Assinale a alternativa correta.
Provas
Leia a sentença abaixo:
Além do método de aplicação e do método de carregamento da fonte, a braquiterapia também pode ser classificada de acordo com a taxa de dose administrada, podendo ser de alta, média e baixa taxa de dose. É correto afirmar que tratamentos com alta taxa de dose são aqueles que utilizam uma taxa maior que .
Assinale a alternativa que preencha corretamente a lacuna.
Provas
Leia a sentença abaixo:
De acordo com a International Commission on Radiation Units and Measurements (ICRU), relatório nº 89, o ponto de reto na radiografia de incidência lateral é localizado à cm do(a) .
Assinale a alternativa que preencha correta e respectivamente as lacunas.
Provas
Entre as diversas etapas do processo de doação-transplante, a entrevista familiar é imprescindível para a concretização desse processo. Analise as afirmativas abaixo e dê valores Verdadeiro (V) ou Falso (F):
( ) O entrevistador é o elo entre o potencial doador e a doação efetiva.
( ) A entrevista familiar consiste em um importante e delicado momento da doação de órgãos e tecidos. Importante porque possibilita a efetiva ligação entre o doador e o receptor; delicado porque representa, em geral, o momento que a família enfrenta a perda de seu ente querido.
( ) A doação de órgãos é um ato voluntário, e somente em algumas situações poderá existir pagamento, recompensa ou qualquer espécie de barganha para que ela se efetive.
( ) A entrevista familiar pode possibilitar à família enlutada a tomada de uma importante decisão. Deve ser conduzida de forma ética, a fim de respeitar o livre arbítrio dos envolvidos.
Assinale a alternativa que apresenta a sequência correta de cima para baixo.
Provas
Caderno Container