Foram encontradas 2.975 questões.
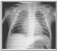
A Figura 1 é uma imagem radiológica de um quadro clássico de síndrome de aspiração de mecônio. Observe-a com atenção e assinale a alternativa correta:

Figura 1: Imagem radiológica de síndrome de aspiração de mecônio.
Fonte: SARMENTO, G. J. V. Fisioterapia respiratória no paciente crítico. Barueri: Manole, 2005. p. 450.
Provas
Umindivíduo jovem e saudável sofreu lesão medular e foi classificado Asia A, nível C6. Leia com atenção as afirmações abaixo e em seguida assinale a alternativa correta:
I. O paciente apresentará vias aéreas superiores, língua e palato intactos, uma vez que são inervados pelos pares de nervos cranianos IX, X, Xl e XII.
II. O paciente apresentará diafragma intacto, uma vez que é inervado pelos níveis C3 a C5.
III. O paciente apresentará paralisia dos músculos intercostais, uma vez que são inervados pelos níveis T7 a L1.
IV. O paciente apresentará paralisia dos músculos abdominais, uma vez que são inervados pelos níveis T1 a T12. V. O paciente apresentará diminuição do VRE, aumento do VR e tosse ineficaz.
Provas
Leia com atenção as afirmações abaixo e analise a relação entre elas. Em seguida, assinale a alternativa correta:
I. O pneumotórax hipertensivo gera rapidamente alterações pulmonares e hemodinâmicas, promovendo desde graus leves de hipotensão até choque circulatório e tamponamento cardíaco.
Porque
II. O pneumotórax hipertensivo desenvolve um mecanismo valvular unidirecional fazendo com que o ar entre, mas não saia da cavidade pleural, causando compressão do pulmão e de todas as estruturas do mediastino, inclusive dos grandes vasos do coração.
Provas
Leia as afirmações abaixo e em seguida assinale a alternativa que corresponde aos achados radiográficos comuns da pneumonia:
I. Condensação lobar.
II. Infiltrados irregulares circundando um ou mais brônquios.
III. Massa nodular bem definida.
IV. Infiltrados intersticiais difusos.
V. Padrão cístico de “favo de mel”.
Provas
O fisioterapeuta dispõe de inúmeros recursos e técnicas para tratar o paciente com asma. Assinale a alternativa correta:
Provas
Leia as afirmativas abaixo sobre a fisiopatologia da doença obstrutiva crônica (DPOC), atribua Verdadeiro (V) ou Falso (F) e em seguida assinale a alternativa que apresenta a sequência correta, de cima para baixo:
I. A limitação crônica ao fluxo aéreo da DPOC pode decorrer da diminuição da retração elástica do parênquima pulmonar, hipersecreção das glândulas da mucosa e inflamação das vias aéreas leando à fibrose e estreitamento das mesmas.
II. Acontração da musculatura lisa dos brônquios pode ser um mecanismo que leva à obstrução, principalmente nos pacientes
com hiperresponsividade brônquica.
III. O trabalho expiratório é diminuído devido à hiperinsuflação.
IV. O trabalho ventilatório aumentado e a hiperinsuflação podem levar à fadiga muscular.
V. A hipoxemia crônica e a dilatação/expansão do leito vascular podem ocasionar hipertensão pulmonar e cor pulmonale.
Provas
A tabela 1 mostra quatro situações diferentes de equilíbrio ácido-básico e seus respectivos mecanismos de compensação. Observe os dados com atenção e em seguida assinale a alternativa correta:
Tabela 1: Exemplos de alterações do equilíbrio ácido-básico e os mecanismos compensatórios.

Fonte: PRYOR, J. A.; WEBBER, B. A. Fisioterapia para problemas respiratórios e cardíacos. Rio de Janeiro: Guanabara Koogan, 2002. p. 60.
Provas
Existem diversos tipos de dispositivos utilizados na oxigenoterapia. Assinale a alternativa correta sobre o uso do cateter nasal:
Provas
A oxigenoterapia é amplamente utilizada no tratamento de problemas respiratórios. Assinale a alternativa correta:
Provas
Considerando as diversas modalidades de ventilação mecânica não invasiva, assinale a alternativa correta:
Provas
Caderno Container