Foram encontradas 2.975 questões.
Assinale a alternativa correta quanto ao material que compõe um detector com as seguintes características: transforma toda a energia da radiação incidente em luz detectável; a luz produzida deve ser proporcional à energia da radiação depositada e deve ser transparente ao comprimento de onda de luz visível que produz; deve ser disponível em peças suficientemente grandes para servir a construção de detectores; e deve ser facilmente usinável/moldável.
Provas
A mamografia possibilita a visualização de tecidos com densidades muito próximas e estruturas com dimensões semelhantes a grãos de areia. Contudo, essas características, para serem visualizadas com alto contraste, requerem o ajuste de parâmetros essenciais no equipamento de mamografia e no sistema de processamento, para que se possa obter uma boa imagem radiográfica. O Controle Automático de Exposição (CAE ou AEC-Automatic Expousure Control) o qual é constituído por fotodetectores situados abaixo do receptor de imagem, é importante para garantir a qualidade da imagem em mamografia. Com base nas informações acima acerca do CAE, assinale a alternativa correta.
Provas
A nomenclatura padrão aprovada pelo ACR BI-RADS (American College of Radiology Breast Imaging Repoting and Data System) em outubro de 1995, classifica como BIRADS 5:
Provas
Em relação à anatomia das mamas, o ponto de junção da porção inferior da mama com a parede torácica e o tecido que envolve o músculo peitoral lateralmente são denominados, respectivamente, como:
Provas
Nas últimas três décadas os métodos de diagnóstico por imagem assumiram um papel preponderante no diagnóstico dos processos patológicos das glândulas mamárias, sendo hoje instrumento fundamental dos Programas de Saúde Pública para diminuir a morbidade e a mortalidade por carcinomas primários dessa localização. Mais recentemente, o desenvolvimento de equipamentos para biópsia dirigida através de agulhas (core biopsy e da chamada mamotomia) tem possibilitado diagnósticos anatomopatológicos precisos de lesões não palpáveis, aumentando ainda mais as chances de cura para os carcinomas mamários, além de evitarem procedimentos cirúrgicos com internações e consequentemente diminuírem os custos, tanto em lesões benignas como em lesões pré-cancerosas e neoplasias malignas. Correlação entre diagnóstico por imagem e histologia de lesões não palpáveis de mama.
Com o objetivo de facilitar seu estudo e a localização de possíveis lesões, pode-se dividir cada mama em regiões, mediante os métodos dos quadrantes e do mostrador de relógio. Assim, uma lesão localizada há 2 horas na mama direita pelo método do mostrador de relógio, corresponde a uma lesão em qual localização pelo método dos quadrantes:
Provas
Antes de iniciar a realização de uma mamografia sentada, peça auxílio a outra tecnóloga. Como em qualquer situação um pouco mais dificultosa, quatro mãos são melhores do que duas, observa a Dra. Long. A tecnóloga auxiliar pode ajudar a ajustar o equipamento, estabilizar a paciente e auxiliar no posicionamento. Esta assistência é muito importante para oferecer eficiência e segurança ao procedimento. Se a paciente estiver numa cadeira de rodas, é fundamental que a mesma esteja bem travada e adequadamente posicionada antes de iniciar os procedimentos. Se possível posicione a paciente de uma forma que os quadris estejam encaixados na porção posterior da cadeira. Se os braços da cadeira de rodas puderem ser removidos, tire um de cada vez, de maneira que o remanescente possa servir de apoio durante o posicionamento. Use travesseiros para apoiar a paciente também. Se os braços da cadeira não puderem ser removidos, transfira a paciente para uma cadeira de posicionamento mamográfico ou para uma cadeira de rodas onde os braços possam ser ajustáveis. A Dra. Long considera que o posicionamento lateromedial em 90o é a opção mais próxima da mediolateral oblíqua para pacientes com limitações físicas. “Sua primeira escolha deve ser a projeção mais próxima àquela indicada, mas que pela condição da paciente estejam inviabilizadas”. Trabalhar com pacientes sentadas é um desafio, mas uma pequena atenção extra resulta em mamografias bem sucedidas e confortáveis. (artigo traduzido e adaptado do Site Aunt Minnie.com, Original article writed by Kelly Bilodeau, AuntMinnie.com contributing writer, October 6, 2006).
Baseado no texto, mesmo com a paciente sentada será necessário fazer uma compressão adequada permitindo uma melhor imagem, com a finalidade de:
Provas
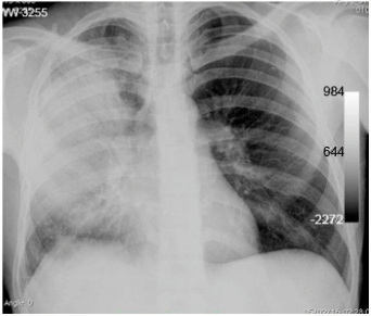
Paciente do sexo masculino, 35 anos, chegou ao pronto-socorro com febre alta há cinco dias, expectoração e tosse produtiva. O médico que o atendeu, após o exame clínico, solicitou uma radiografia de tórax (abaixo).

A partir dos dados apresentados, assinale a alternativa que representa o achado radiológico.
Provas
A ressonância magnética (RM) do sistema osteoarticular é uma das grandes aplicações do método. Não é a toa que existem equipamentos de RM especificamente para extremidades. Dentro deste campo osteoarticular o segmento do joelho é um dos mais estudados. Desta forma, assinale a alternativa correta quanto a aplicação da RM no estudo por imagem do joelho.
Provas
Uma das aplicações da ressonância magnética (RM) é na região do abdome, principalmente para o estudo hepático. Com o advento dos equipamentos de 1,5 Tesla as aquisições em apneia ficaram cada vez mais frequentes nos protocolos. Com relação a RM hepática é correto afirmar.
Provas
Paciente do sexo masculino, 70 anos, chegou ao pronto-socorro com dor torácica acompanhada de tosse e dificuldade para respirar. O médico que o atendeu, após o exame clínico, solicitou uma radiografia de tórax (abaixo).

A partir dos dados apresentados, assinale a alternativa que representa o achado radiológico.
Provas
Caderno Container