Foram encontradas 2.975 questões.
Leia o texto para responder a questão.
A febre do dengue hemorrágico (FDH) é uma arbovirose responsável por epidemias anuais no Brasil. Sua principal característica é o aumento da permeabilidade capilar, representada pela fuga de líquido e albumina para o espaço extravascular, levando a derrames cavitários e hemoconcentração com elevação do hematócrito, descrita como polisserosite, classificada em formas leves e graves, segundo critérios da Organização Mundial da Saúde. Embora os achados à ultrassonografia sejam inespecíficos, o método contribui para o diagnóstico precoce em pacientes com FHD e no diagnóstico diferencial de outras doenças febris.
Considerando as informações abaixo, assinale a alternativa correta quanto a principal hipótese diagnóstica da imagem ultrassonográfica apresentada.

Provas
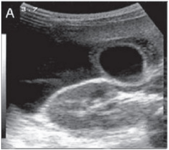
Leia o texto para responder a questão.
A febre do dengue hemorrágico (FDH) é uma arbovirose responsável por epidemias anuais no Brasil. Sua principal característica é o aumento da permeabilidade capilar, representada pela fuga de líquido e albumina para o espaço extravascular, levando a derrames cavitários e hemoconcentração com elevação do hematócrito, descrita como polisserosite, classificada em formas leves e graves, segundo critérios da Organização Mundial da Saúde. Embora os achados à ultrassonografia sejam inespecíficos, o método contribui para o diagnóstico precoce em pacientes com FHD e no diagnóstico diferencial de outras doenças febris.
Considerando as informações abaixo, assinale a alternativa correta quanto à principal hipótese diagnóstica da imagem ultrassonográfica apresentada.

Provas
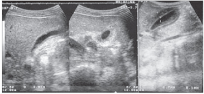
Leia o texto para responder a questão.
A febre do dengue hemorrágico (FDH) é uma arbovirose responsável por epidemias anuais no Brasil. Sua principal característica é o aumento da permeabilidade capilar, representada pela fuga de líquido e albumina para o espaço extravascular, levando a derrames cavitários e hemoconcentração com elevação do hematócrito, descrita como polisserosite, classificada em formas leves e graves, segundo critérios da Organização Mundial da Saúde. Embora os achados à ultrassonografia sejam inespecíficos, o método contribui para o diagnóstico precoce em pacientes com FHD e no diagnóstico diferencial de outras doenças febris.
Considerando as informações abaixo, assinale a alternativa correta quanto à principal hipótese diagnóstica da imagem ultrassonográfica apresentada.

Provas
Imagem ultrassonográfica de paciente do sexo masculino, 30 anos de idade, com quadro de dor abdominal difusa, hemograma com leucocitose e radiografia abdominal simples com achados inespecíficos.

Com base nos dados apresentados, assinale a alternativa com a melhor hipótese diagnóstica.
Provas
Na incidência póstero-anterior (PA) de escafóide, método de Stecher, está indicado realizar no posicionamento para demonstrar o escafóide, sem encurtamento ou superposição dos ossos do carpo adjacentes, a . Assinale a alternativa que completa corretamente a lacuna.
Provas
O processo de compactar o colo do fêmur é minimizado girando-se internamente a perna 10º - 15º (graus). A borda medial do colo deverá formar uma curva suave contínua à borda inferior do ramo púbico superior (limite superior do forâme obturador). Esta curva suave é conhecida como linha:
Provas
Os meios de contraste são fundamentais para o aumento da acurácia dos métodos de diagnóstico por imagem. Cada uma das técnicas de radiodiagnóstico possui um ou mais meios de contraste. Na ressonância magnética (RM) os meios de contraste mais utilizados são os que possuem em sua fórmula o átomo de gadolínio (Gd). Dentre as alternativas abaixo, assinale a correta.
Provas
Com relação às técnicas de angiografia por ressonância magnética (ARM), é correto afirmar:
Provas
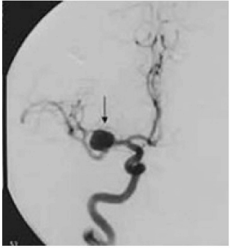
Exames de angiografia são utilizados frequentemente para a detecção de alterações vasculares. Os aneurimas são alterações vasculares importantes, causados por fraqueza da parede vascular.

Observando o exame de angiografia por ressonância magnética acima, podemos concluir que a seta indica um aneurisma:
Provas
Compete às autoridades sanitárias dos Estados, do Distrito Federal e dos Municípios o licenciamento dos serviços que empregam os raios-x diagnósticos, assim como a fiscalização do cumprimento da Portaria 453/98, sem prejuízo da observância de outros regulamentos federais, estaduais e municipais supletivos sobre a matéria. As autoridades sanitárias adotarão as medidas cabíveis para assegurar o cumprimento deste Regulamento. Assinale a alternativa correta quanto às autoridades sanitárias responsáveis por estas atribuições acima:
Provas
Caderno Container