Foram encontradas 2.178 questões.
Em relação à rejeição aguda no transplante renal, é correto
afirmar que
Provas
Questão presente nas seguintes provas
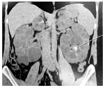
Observe a imagem de tomografia computadorizada a seguir.

A partir da imagem, e correto concluir que o diagnóstico é
Provas
Questão presente nas seguintes provas
Das medicações diuréticas a seguir, assinale aquela que não
representa potencial causa de hipercalemia.
Provas
Questão presente nas seguintes provas
A fisiopatologia da anemia na DRC é multifatorial. Nesse sentido,
uma condição que está fora de cogitação, para explicar a anemia
nesses pacientes é a
Provas
Questão presente nas seguintes provas
Na seleção de receptores para transplante renal de um doador
falecido em morte cerebral, avalie se os seguintes testes de
compatibilidade devem ser considerados:
I. HLA (Antígenos Leucocitários Humanos). II. Grupo sanguíneo ABO. III. Fator Rh. IV. Antígenos do Complexo Principal de Histocompatibilidade (MHC).
Devem ser considerados os testes
I. HLA (Antígenos Leucocitários Humanos). II. Grupo sanguíneo ABO. III. Fator Rh. IV. Antígenos do Complexo Principal de Histocompatibilidade (MHC).
Devem ser considerados os testes
Provas
Questão presente nas seguintes provas
Em relação à transfusão de hemocomponentes, em pacientes
com doença renal crônica elegíveis para transplante, é correto
afirmar que
Provas
Questão presente nas seguintes provas
A hipertensão intradialítica é uma das intercorrências
importantes nos pacientes em tratamento por hemodiálise.
Várias drogas anti-hipertensivas são dialisáveis durante a diálise.
A seguinte medicação anti-hipertensiva não sofre alteração de biodisponibilidade devido à remoção pela hemodiálise:
A seguinte medicação anti-hipertensiva não sofre alteração de biodisponibilidade devido à remoção pela hemodiálise:
Provas
Questão presente nas seguintes provas
Na investigação da doença óssea dos pacientes com doença renal
crônica, assinale a afirmativa correta.
Provas
Questão presente nas seguintes provas
Os seguintes marcadores sorológicos são utilizados para a
indicação de biópsia óssea em pacientes com doença renal
crônica dialítica:
Provas
Questão presente nas seguintes provas
Pacientes com anemia e doença renal crônica estágio G5D são
tratados por hemodiálise (HD) e com dosagem de ferro sérico
normal.
O início de terapia com agentes estimuladores de eritropoiese deve ser conduzido da maneira a atingir nível alvo de hemoglobina entre
O início de terapia com agentes estimuladores de eritropoiese deve ser conduzido da maneira a atingir nível alvo de hemoglobina entre
Provas
Questão presente nas seguintes provas
Cadernos
Caderno Container