Foram encontradas 2.574 questões.
Um grande desafio das sessões de hemodiálise, por se tratar de uma terapia que implica em uma circulação de sangue extracorpórea, é a anticoagulação ou a não coagulação do circuito extra corpóreo. Assinale a alternativa correta.
Provas
Questão presente nas seguintes provas
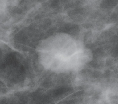
Paciente de 64 anos, sem história familiar de câncer de mama, sem queixas mamárias, comparece ao consultório com resultado de mamografia de rastreamento. Antecedentes: mamoplastia redutora há 20 anos. O laudo não apresenta classificação segundo BI-RADS, mas descreve nódulo oval, hiperdenso, margens microlobuladas, medindo 1,0x0,8cm em quadrante superolateral da mama esquerda. Ao exame físico: mamas médias sem alterações palpáveis. Abaixo imagem do exame. Assinale a alternativa que apresenta qual a melhor conduta para seguimento do caso.

Figura 1. Lesão em mamografia de rastreamento.
Provas
Questão presente nas seguintes provas
O trauma a órbita óssea frequentemente afeta estruturas vizinhas associadas, causando injúrias ao olho e anexos, podendo causar debilidade da função visual. A síndrome da fissura orbital superior é uma complicação incomum, mas que, quando presente, necessita de tratamento rápido para evitar possíveis sequelas. Assinale a alternativa que não apresenta um sinal ou sintoma clínico característico da Síndrome da Fissura Orbital Superior.
Provas
Questão presente nas seguintes provas
A hipertensão arterial sistêmica (HAS) é uma condição clínica multifatorial caracterizada por níveis elevados e sustentados de pressão arterial (PA.) Considerando a aferição da pressão arterial, analise as afirmativas abaixo e assinale a alternativa correta.
I. O paciente deve estar sentado, com o braço apoiado e acima da altura do precórdio.
II. Palpar o pulso apical e inflar o manguito até 100mmHg acima do valor em que o pulso deixar de ser sentido.
III. A pressão diastólica corresponde ao desaparecimento dos batimentos (fase V).
IV. A pressão sistólica corresponde ao valor em que começarem a ser ouvidos os ruídos de Korotkoff (fase I).
II. Palpar o pulso apical e inflar o manguito até 100mmHg acima do valor em que o pulso deixar de ser sentido.
III. A pressão diastólica corresponde ao desaparecimento dos batimentos (fase V).
IV. A pressão sistólica corresponde ao valor em que começarem a ser ouvidos os ruídos de Korotkoff (fase I).
Provas
Questão presente nas seguintes provas
Paciente de 10 anos, com quadro colestático, hepatomegalia, febre, perda ponderal e dor abdominal. ECO identificou fígado de aspecto multinodular, leve dilatação de veias biliares intra-hepáticas e aumento heterogêneo da cabeça pancreática. Na TC encontraram-se hepatomegalia, inúmeras áreas arredondadas hipodensas que não sofreram impregnação com contraste intravenoso, com até 2,9cm no lobo direito, área predominantemente hipodensa na topografia da cabeça pancreática e nódulos pulmonares sugestivos de metástases. Assinale a alternativa que contém a resposta com diagnóstico correto e considerações corretas sobre o caso acima:
Provas
Questão presente nas seguintes provas
Em relação à septação atrial, leia as afirmativas a seguir e assinale a alternativa CORRETA.
I. A formação do septo atrial se inicia entre o trigésimo quinto e trigésimo oitavo dias de vida do embrião.
II. Inicialmente dá-se a formação do septum primum que cresce a partir da porção ventral do átrio primitivo em direção ao teto e ao assoalho atrial.
III. A partir do quadragésimo oitavo dia de vida do embrião inicia-se o crescimento de outro septo à direita do septo primum, o septo secundum, que se origina da invaginação ou dobra do teto atrial entre a base da veia superior e a inserção das veias pulmonares direitas em sua porção anterossuperior.
Estão corretas as afirmativas:
Provas
Questão presente nas seguintes provas
Os dados a seguir referem-se à questão.
Um levantamento amostral sobre o número de filhos de 50 funcionários foi realizado em uma empresa localizada em um município. Esse levantamento gerou a tabela a seguir:
| Número de Filhos | Número de Funcionários |
| 0 | 20 |
| 1 | 5 |
| 2 | 8 |
| 3 | 2 |
| 4 | 5 |
| 5 | 10 |
| Total | 50 |
A mediana do número de filhos dos funcionários da amostra é, aproximadamente:
Provas
Questão presente nas seguintes provas
Utilize o caso abaixo para responder a questão.
Paciente idoso, sexo masculino, agricultor, vítima de queda de cavalo há aproximadamente 6 hs. Admitido no pronto socorro local com anisocoria (PE >PD.), postura de descerebração bilateral, sem abertura ocular e sem resposta verbal ao estímulo álgico intenso. Com saturação de 85% e em ar ambiente, frequência cardíaca de 85 bpm, pressão arterial de 100 x 60 mmHg.
A melhor conduta inicial diante do quadro clínico apresentado é:
Provas
Questão presente nas seguintes provas
Divertículo de Meckel é a malformação congênita mais frequente do trato gastrointestinal, com origem na persistência parcial do conduto onfalomesentérico. Assinale a alternativa correta em relação ao Divertículo de Meckel.
Provas
Questão presente nas seguintes provas
A questão diz respeito ao seguinte caso clínico:
Paciente do sexo masculino com 18 anos e há seis dias iniciou quadro de dor orofaríngea na deglutição com febre não medida. Após quatro dias, houve piora importante do estado geral do paciente, que passou a se alimentar menos e faltar ao trabalho. O paciente decidiu então procurar auxílio médico, sendo realizado o diagnóstico de faringotonsilite aguda. Foram administradas 1.200.000 UI de penicilina benzatina. No 7º dia, mesmo usando a medicação de maneira correta, o paciente experimenta piora importante da dor e alteração da voz, que se tornou abafada. Além disso, começou a apresentar trismo. Em nova visita ao médico, verificou-se ao exame físico um abaulamento do pilar anterior da tonsila esquerda, com desvio da linha média e da úvula. O paciente nega qualquer outra doença associada.
Sobre o caso clínico acima, assinale a alternativa que apresenta o diagnóstico mais provável:
Provas
Questão presente nas seguintes provas
Cadernos
Caderno Container