Foram encontradas 950 questões.
Homem, 55 anos, está internado na UTI superior há 30 dias, com a presença do dispositivo invasivo cateter central (Swan Ganz). Como se deve realizar a manutenção da monitorização do cateter central?
Provas
A candidíase é a infecção fúngica oral mais comum nos seres humanos e tem uma série de manifestações clínicas. A forma mais comum de manifestação da candidíase é
Provas
O aumento da prevalência de doenças crônicas degenerativas ou incuráveis é resultado frequentemente associado ao envelhecimento populacional. Diante desse fato, assinale a alternativa correta acerca dos conceitos e princípios dos Cuidados Paliativos.
Provas
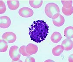
A amostra de sangue a seguir apresenta um leucócito do tipo

Provas
A avaliação geriátrica ampla (AGA) objetiva a avaliação multidimensional do paciente idoso, o que permite um melhor plano terapêutico e controle de enfermidades, além de reabilitação. Quanto à AGA, assinale a alternativa correta.
Provas
Imediatamente após a exposição do biofilme dentário a açúcares fermentáveis, tem início a queda de pH nesse biofilme. A curva de pH do biofilme dentário em função do tempo tem características bem conhecidas. Essa curva é denominada curva de
Provas
Sobre a relação entre o consumo de carboidratos e atividade física, informe se é verdadeiro (V) ou falso (F) o que se afirma a seguir e assinale a alternativa com a sequência correta.
( ) O consumo de carboidratos antes do exercício físico é importante para manter os níveis de glicogênio muscular e hepático adequados. ( ) A glicose que chega às células, via corrente sanguínea, vem do estoque de glicogênio muscular e hepático.
( ) O jejum não é recomendado antes da atividade física, pois os estoques de glicogênio hepático podem diminuir até 50% durante o exercício de longa duração.
( ) Recomenda-se que o consumo de carboidratos deve acontecer com ao menos 15 minutos de antecedência do exercício.
( ) O consumo adequado dos carboidratos preserva o rendimento do praticante durante e após a atividade física.
Provas
No processamento químico de filmes convencionais, a etapa do processo que corresponde à transformação de uma imagem latente em imagem visível é definida como
Provas
Nos equipamentos de raios X convencionais, é exigido que seja aplicado teste de radiação de fuga. Um estagiário de física médica pergunta para o físico responsável do setor. “Para verificar a quantidade de radiação a 1 metro, qual é o ponto de referência e quais são os níveis de radiação de fuga para ser aprovado?”. O físico responde que
Provas
Paciente feminina, 28 anos e vítima de capotamento de carro de passeio, está inconsciente. Nota-se deformação do volante e marca de cinto de segurança no abdome da vítima. Os sinais vitais são FR 28 ipm, FC 126 bpm e PA 80 x 60 mmHg. Assinale a alternativa que descreve a primeira conduta a ser realizada após a segurança de cena do local e individual.
Provas
Caderno Container