Foram encontradas 1.207 questões.
Um operador de um equipamento de raios
X realizou uma rotina de abdome agudo em
um paciente. Na correria do plantão, ele
realizou primeiro o RX AP de abdome em
decúbito, seguido do RX AP de abdome em
ortostase e terminou com o RX PA de tórax.
Quando a imagem do tórax foi revelada, o
operador percebeu que toda a imagem estava
ampliada. Sabendo que o posicionamento do
RX de tórax foi feito corretamente, assinale a
alternativa que apresenta o erro do operador.
Provas
Questão presente nas seguintes provas
Um Tecnólogo realiza uma radiografia e
percebe que a mesma está subexposta. Para
aumentar a densidade óptica, o profissional
pode optar por
Provas
Questão presente nas seguintes provas
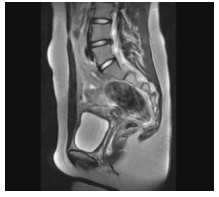
A imagem a seguir representa

Provas
Questão presente nas seguintes provas
Em relação ao termo “órgão crítico”, usado
na medicina nuclear, assinale a alternativa
correta.
Provas
Questão presente nas seguintes provas
- Protocolos de Exames de Medicina NuclearBases Físicas e Tecnológicas
- Protocolos de Exames de Medicina NuclearTécnicas Radiográficas em Tomografia Computadorizada
O equipamento de tomografia
computadorizada para diagnóstico se
difere do tomógrafo para planejamento em
radioterapia, por possuir mesa
Provas
Questão presente nas seguintes provas
Para realizar uma radiografia, além do uso
da tabela de KV e mAs, fixada na parede por
exigência de norma, o tecnólogo necessitou
avaliar o tamanho geral do paciente,
avaliação essa também denominada como
forma corporal. Com base nisso, a alternativa
INCORRETA.
Provas
Questão presente nas seguintes provas
Para um determinado exame de raios X, o operador selecionou o tempo de 0,3 segundos resultando
em um mAs de 2,7. O mA selecionado foi
Provas
Questão presente nas seguintes provas
Em relação ao uso do “check film”
digital (portal eletrônico) na radioterapia,
temos como vantagem e desvantagem,
respectivamente:
Provas
Questão presente nas seguintes provas
Entre os vários acessórios usados pelo
tecnólogo para imobilização e conforto
do paciente na radioterapia, tem-se um,
composto de pequenas esferas de polímero
sintético, no qual se retira o ar na moldagem,
e outro, composto de uma espécie de tela
confeccionada em material que perde a
rigidez a temperaturas próximas a 70ºC. O
enunciado refere-se, respectivamente, a
Provas
Questão presente nas seguintes provas
Sobre os écrans, assinale a alternativa
correta.
Provas
Questão presente nas seguintes provas
Cadernos
Caderno Container