Foram encontradas 1.207 questões.
- Protocolos de Exames de Medicina NuclearBases Físicas e Tecnológicas
- Protocolos de Exames de Medicina NuclearTécnicas Radiográficas em Tomografia Computadorizada
O espaço K é uma ferramenta matemática
exclusiva da
Provas
Questão presente nas seguintes provas
Homem de 57 anos, minerador, foi exposto
acidentalmente em seu trabalhado à 120 Gy.
Considerando a Síndrome das Radiações
Agudas, é correto afirmar que ele se encontra
na Síndrome
Provas
Questão presente nas seguintes provas
Segundo a norma CNEN NN 6.01, o Titular
deve garantir que no serviço de radioterapia
exista um sistema computadorizado de
gerenciamento de informação dos pacientes
com cadastro e apresentação da fotografia
do paciente em todos os documentos
relacionados ao tratamento, assim como no
painel de controle das fontes de radiação
durante o tratamento. Sobre o sistema de
gerenciamento, é correto afirmar que
Provas
Questão presente nas seguintes provas
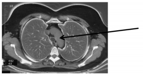
Qual é o ponto assinalado pela seta na
imagem de tomografia a seguir?


Provas
Questão presente nas seguintes provas
Com relação à radioterapia conformacional
3D, é correto afirmar que
Provas
Questão presente nas seguintes provas
- Legislação Radiológica e Segurança no TrabalhoNormas de Radioproteção
- Protocolos de Exames de Medicina NuclearBases Físicas e Tecnológicas
Sempre que forem atingidos os níveis
de investigação mensal ou acumulado
anual, o titular e o Supervisor de Proteção
Radiológica de medicina nuclear devem
avaliar o histórico de dose acumulada pelo
Indíviduo Ocupacionalmente Exposto nos
últimos
Provas
Questão presente nas seguintes provas
Sobre os campos magnéticos aplicados
externamente no estudo por ressonância
magnética, é correto afirmar que
Provas
Questão presente nas seguintes provas
Na seção II do capítulo IV da norma NN
6.10 - Requisitos de Segurança e Proteção
Radiológica para Serviços de Radioterapia,
consta que a sala de tratamento deve possuir,
EXCETO
Provas
Questão presente nas seguintes provas
Na porta da sala de exames que utilizam raios
X, não deve faltar o símbolo de
Provas
Questão presente nas seguintes provas
A imagem radiográfica a seguir é do posicionamento

Provas
Questão presente nas seguintes provas
Cadernos
Caderno Container