Foram encontradas 1.207 questões.
Os titulares dos dosímetros devem
providenciar a investigação dos casos de
doses efetivas mensais superiores a
Provas
Questão presente nas seguintes provas
Na preparação de um implante de 198Au,
em braquiterapia, o tecnólogo verificou
que a atividade da fonte era de 6 mCi,
aproximadamente 5,4 dias antes. Sendo
assim, a atividade atual da fonte seria de
(Dado: T1/2
198Au = 2,7 dias e 1Ci = 3,7 x 1010 Bq).
Provas
Questão presente nas seguintes provas
- Protocolos de Exames de Medicina NuclearBases Físicas e Tecnológicas
- Protocolos de Exames de Medicina NuclearTécnicas Radiográficas em Tomografia Computadorizada
Informe se é verdadeiro (V) ou falso (F) o que
se afirma a seguir e assinale a alternativa
com a sequência correta.
( ) A intensidade do sinal de ressonância
magnética depende do número de
prótons que participam da ressonância,
da magnetização e da coerência de
fase em sua precessão.
( ) O número de prótons caracteriza-se
pela densidade protônica; o grau de
magnetização é caracterizado por
um tempo, T1; e a coerência desses
prótons e precessão é caracterizada
por um tempo, T2.
( ) T1 e T2 são denominados tempos de
relaxamento.
( ) A medida primária da magnetização
dos prótons em cada tecido é o
tempo de relaxamento T1, intervalo de
tempo característico necessário para
o retorno dos prótons ao estado de
magnetização plena após a excitação.
Provas
Questão presente nas seguintes provas
Uma fratura muito conhecida é a fratura
do enforcado. Assinale a alternativa que
apresenta o aspecto radiográfico dessa
fratura.
Provas
Questão presente nas seguintes provas
Com relação à posição da fonte, podemos
dividir a radioterapia em teleterapia
e braquiterapia. É uma vantagem da
braquiterapia
Provas
Questão presente nas seguintes provas
Em um determinado planejamento, realiza-se
uma tomografia computadorizada do tórax.
Os limites de varredura da TC são definidos
pelo ápice do tórax e pelas glândulas
suprarrenais, abrangendo, assim, todo o
volume do tórax. Para aquisição da imagem
de forma correta, o tecnólogo deve instruir o
paciente a
Provas
Questão presente nas seguintes provas
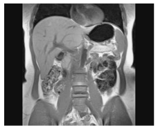
Assinale a alternativa que apresenta a
estrutura que NÃO pode ser visualizada na
imagem a seguir.


Provas
Questão presente nas seguintes provas
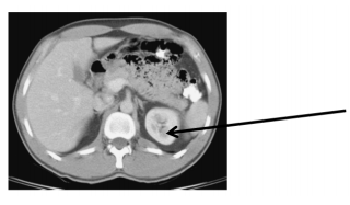
Qual é o ponto assinalado na imagem de tomografia a seguir?

Provas
Questão presente nas seguintes provas
Considerando os protocolos de exames para
ressonância magnética, é correto afirmar que
Provas
Questão presente nas seguintes provas
É uma característica da técnica IGRT,
(Radioterapia guiada por imagem), também
conhecida como radioterapia 4D,
Provas
Questão presente nas seguintes provas
Cadernos
Caderno Container