Foram encontradas 50 questões.
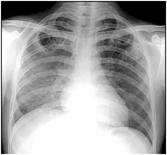
Com base na radiografia abaixo, assinale a alternativa correta:

Provas
Questão presente nas seguintes provas
Texto para a questão a seguir.
O internetês na escola
O internetês – expressão grafolinguística que foi criada na Internet pelos adolescentes na última década – foi durante algum tempo um bicho de sete cabeças para gramáticos e estudiosos da língua. Eles temiam que as abreviações fonéticas (onde “casa” vira ksa; e “aqui” vira aki) comprometessem o uso da norma culta do português para além das fronteiras cibernéticas. Mas ao que tudo indica o temido internetês não passa de um simpático bichinho de uma cabecinha só. Ainda que a maioria dos professores e educadores se preocupe com ele (alertando os alunos em sala), a ocorrência do internetês nas provas escolares, vestibulares e em concurso públicos é insignificante. O “problema” é, no fim das contas, menor do que se imaginou.
– Nos simulados de redação que passo e corrijo não identifico a presença do internetês. É bem verdade que tenho o cuidado de orientar os alunos a não trazer esse “dialeto” para as provas. Em cada ambiente você usa uma roupa, não dá pra ir a uma recepção com a mesma roupa utilizada na praia. Talvez, até por eu alertar, não tenham aparecido esses problemas nas provas que passo”, diz Mônica Domingos, professora de português do Progresso, que ministra cursos preparatórios para as provas de concurso público das polícias militar e civil e para a Ordem dos Advogados do Brasil (OAB).
(Língua Portuguesa. out. 2010. – adaptado)
A expressão “bichinho de uma cabecinha só” metaforicamente expressa o mesmo que o trecho:
Provas
Questão presente nas seguintes provas
Analise a figura 1, extraída do Excel 2007, e os valores mostrados nas células selecionadas, para responder a questão.

Ainda com base na figura 1, selecionando a célula C10 no Excel 2007 e clicando sobre o botão
na barra de ferramentas do menu Fórmulas teremos:
Provas
Questão presente nas seguintes provas
Assinale a alternativa INCORRETA. É vedado ao tecnólogo, técnico e auxiliar em radiologia em Radiologia:
Provas
Questão presente nas seguintes provas
O termo que ocupa a posição n em uma progressão aritmética (PA) de razão r é dado pela fórmula !$ a_n=a_1+(n-1)r !$. Com o auxílio dessa informação, assinale a alternativa que apresenta o décimo terceiro termo de uma PA de razão 4, cujo primeiro termo é igual a 12.
Provas
Questão presente nas seguintes provas
A área de um retângulo mede !$ 72 \,cm^2 !$ e sua base mede !$ 4 \,cm !$, assim, a medida da altura do retângulo é:
Provas
Questão presente nas seguintes provas
O Césio-137 é um dos produtos da fissão do Urânio- 235, sendo extraído através de processos químicos que o separam do Urânio combustível e dos outros produtos de fissão. Sua meia vida é de:
Provas
Questão presente nas seguintes provas
Texto para a questão a seguir.
O internetês na escola
O internetês – expressão grafolinguística que foi criada na Internet pelos adolescentes na última década – foi durante algum tempo um bicho de sete cabeças para gramáticos e estudiosos da língua. Eles temiam que as abreviações fonéticas (onde “casa” vira ksa; e “aqui” vira aki) comprometessem o uso da norma culta do português para além das fronteiras cibernéticas. Mas ao que tudo indica o temido internetês não passa de um simpático bichinho de uma cabecinha só. Ainda que a maioria dos professores e educadores se preocupe com ele (alertando os alunos em sala), a ocorrência do internetês nas provas escolares, vestibulares e em concurso públicos é insignificante. O “problema” é, no fim das contas, menor do que se imaginou.
– Nos simulados de redação que passo e corrijo não identifico a presença do internetês. É bem verdade que tenho o cuidado de orientar os alunos a não trazer esse “dialeto” para as provas. Em cada ambiente você usa uma roupa, não dá pra ir a uma recepção com a mesma roupa utilizada na praia. Talvez, até por eu alertar, não tenham aparecido esses problemas nas provas que passo”, diz Mônica Domingos, professora de português do Progresso, que ministra cursos preparatórios para as provas de concurso público das polícias militar e civil e para a Ordem dos Advogados do Brasil (OAB).
(Língua Portuguesa. out. 2010. – adaptado)
“Talvez, até por eu alertar, não tenham aparecido esses problemas nas provas que passo”. Assinale a alternativa em que esse trecho foi reescrito, observando-se a manutenção do sentido e os elementos de coesão adequados.
Provas
Questão presente nas seguintes provas
Texto para a questão a seguir.
O internetês na escola
O internetês – expressão grafolinguística que foi criada na Internet pelos adolescentes na última década – foi durante algum tempo um bicho de sete cabeças para gramáticos e estudiosos da língua. Eles temiam que as abreviações fonéticas (onde “casa” vira ksa; e “aqui” vira aki) comprometessem o uso da norma culta do português para além das fronteiras cibernéticas. Mas ao que tudo indica o temido internetês não passa de um simpático bichinho de uma cabecinha só. Ainda que a maioria dos professores e educadores se preocupe com ele (alertando os alunos em sala), a ocorrência do internetês nas provas escolares, vestibulares e em concurso públicos é insignificante. O “problema” é, no fim das contas, menor do que se imaginou.
– Nos simulados de redação que passo e corrijo não identifico a presença do internetês. É bem verdade que tenho o cuidado de orientar os alunos a não trazer esse “dialeto” para as provas. Em cada ambiente você usa uma roupa, não dá pra ir a uma recepção com a mesma roupa utilizada na praia. Talvez, até por eu alertar, não tenham aparecido esses problemas nas provas que passo”, diz Mônica Domingos, professora de português do Progresso, que ministra cursos preparatórios para as provas de concurso público das polícias militar e civil e para a Ordem dos Advogados do Brasil (OAB).
(Língua Portuguesa. out. 2010. – adaptado)
“Mas ao que tudo indica o temido internetês não passa de um simpático bichinho de uma cabecinha só.”
Nesse trecho, o emprego dos diminutivos:
Provas
Questão presente nas seguintes provas
A solução da equação !$ 4( x + 3 ) - 2 ( x + 1 ) = 20 !$ é:
Provas
Questão presente nas seguintes provas
Cadernos
Caderno Container