Foram encontradas 144 questões.
As definições adotadas de área controlada, área livre, área supervisionada, carga de trabalho, dose, dose efetiva, dose equivalente, equivalente de dose ambiente, exposição, exposição acidental, exposição médica, exposição normal, exposição ocupacional, fator de ocupação, fator de uso, indivíduo do público, indivíduo ocupacionalmente exposto, justificação, limitação de dose, monitoração de área, nível de investigação, nível de referência de diagnóstico, nível de registro, otimização, prática, proteção radiológica, radiação ionizante e símbolo internacional da radiação ionizante, são estabelecidos pelo (a):
Provas
Com base na RDC n.º611, de 09 de março de 2022, assinale a alternativa correta sobre os níveis anuais de equivalente de dose ambiente, adotados como restrição de dose para o planejamento de barreiras físicas de uma instalação e para a verificação de adequação dos níveis de radiação em levantamentos radiométricos.
Provas
De acordo com a RDC n.º 611, de 9 de março de 2022, assinale a alternativa incorreta.
Provas
A RDC n.º 611, de 9 de março de 2022, estabelece os requisitos sanitários para a organização e o funcionamento de serviços de radiologia diagnóstica, intervencionista e regulamenta o controle das exposições médicas, ocupacionais e do público decorrentes do uso de tecnologias radiológicas diagnósticas ou intervencionistas. Conforme a RDC n.º 611, de 9 de março de 2022, assinale a alternativa correta.
Provas
Sobre as indicações e uso dos contrastes, assinale a alternativa correta.
Provas
A Gadodiamida, contraste não iônico de baixa osmolaridade, é usada, rotineiramente, nos serviços de saúde. Assinale a alternativa incorreta a respeito desse contraste.
Provas
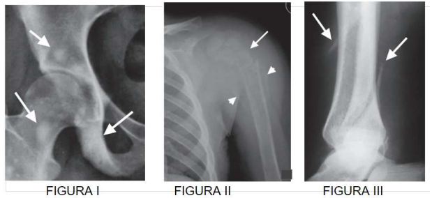
Analise as figuras (I, II e III) e as indicações das setas, depois assinale a alternativa correta.

Provas
O sistema nervoso autônomo, caracterizado por ações involuntárias responsáveis por manter o funcionamento do organismo de forma independente, é subdividido em sistema nervoso autônomo simpático e sistema nervoso autônomo parassimpático. Assinale a alternativa que contém a associação correta entre o efeito fisiológico esperado e o tipo de sistema nervoso autônomo correspondente.
Provas
Qual é a principal ameaça à disponibilidade dos dados?
Provas
Disciplina: TI - Desenvolvimento de Sistemas
Banca: MS CONCURSOS
Orgão: CRIS
Quais são os benefícios de um site responsivo?
Provas
Caderno Container