Foram encontradas 1.800 questões.
Marque a opção correta que apresenta um efeito colateral comum dos antiparkinsonianos que atuam como agonistas da dopamina.
Provas
Qual(is) ciclo(s) do sono é(são) afetado(s) primariamente pela narcolepsia?
Provas
Na esclerose múltipla, a desmielinização primária afeta quais células?
Provas
No modelo de dor neuropática, qual das seguintes estruturas está mais relacionada à sensibilização central?
Provas
Qual dos seguintes neurotransmissores é o principal envolvido no sistema nervoso simpático, em suas fibras pósganglionares?
Provas
As mutações genéticas são responsáveis por 1 a 6% dos casos de demência de Alzheimer precoce. Face ao exposto, a demência de Alzheimer precoce mais comum é a por mutações
Provas
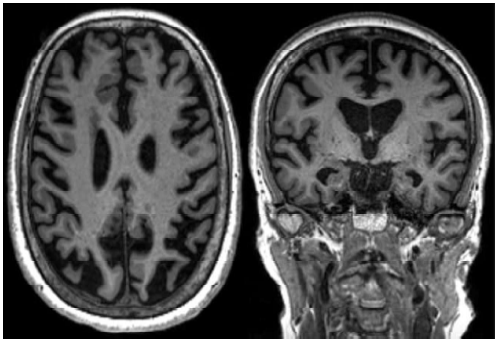
A atrofia da porção mesial do lobo temporal é frequente na Demência por Doença de Alzheimer (DA). A escala analógica visual MTA (mesial temporal atrophy), consegue avaliar a presença da atrofia mesial, e é classificada em números considerando a espessura da fissura coroidea e do corno temporal e a altura do hipocampo, e tem sensibilidade e especificidade de cerca de 85% para o diagnóstico de DA. Analise a imagem de ressonância abaixo.

Pode-se considerar que a imagem da ressonância acima, corresponde a qual número MTA?
Provas
Associe as colunas relacionando o fármaco com o respectivo efeito colateral mais frequente.
| Farmáco | Efeitos colaterais mais frequentes |
|---|---|
| (1) Carbamazepina | ( ) Ataxia, leucopenia, hiponatremia, tontura, falência hepática. |
| (2) Lamotrigina | ( ) Sedação, ganho de peso, tontura, fadiga, edema. |
| (3) Pregabalina | ( ) Discrasias sanguíneas, tonturas, rash, síndrome de Stevens-Johnson. |
| (4) Valproato | ( ) Ganho de peso, trombocitopenia, tremores, sonolência, pancreatite, falência hepática. |
| (5) Fenobarbital | ( ) Insônia, cefaleia, rash, síndrome de Stevens-Johnson. |
A sequência correta dessa associação é:
Provas
A síndrome epiléptica que se manifesta com breve perda de percepção, que pode estar associada a mioclonias palpebrais com manutenção do tônus postural, que ocorre na infância, associada a mutações genéticas, como mutação no canal de cálcio (CACNA1H), cloreto (CLCN2) e receptor gabaérgico é a:
Provas
Considerando as cefaleias, é correto afirmar que
Provas
Caderno Container