Magna Concursos

Foram encontradas 1.800 questões.

3904464 Ano: 2025
Disciplina: Medicina
Banca: DIRENS Aeronáutica
Orgão: CIAAR
Provas:

A causa mais comum de polineuropatia desmielinizante sensitivo motor não comprimento dependente é:

 

Provas

Questão presente nas seguintes provas
3904463 Ano: 2025
Disciplina: Medicina
Banca: DIRENS Aeronáutica
Orgão: CIAAR
Provas:

Paciente, sexo masculino, 37 anos, com quadro agudo de dor intensa, unilateral referida em ombro e cintura escapular, seguida após alguns dias de paresia e atrofia de musculatura inervada por C6, C7 e C8, é compatível com quadro de:

 

Provas

Questão presente nas seguintes provas
3904462 Ano: 2025
Disciplina: Medicina
Banca: DIRENS Aeronáutica
Orgão: CIAAR
Provas:

Qual é o principal exame para diagnosticar a miastenia gravis?

 

Provas

Questão presente nas seguintes provas
3904461 Ano: 2025
Disciplina: Medicina
Banca: DIRENS Aeronáutica
Orgão: CIAAR
Provas:

Marque a opção que descreve corretamente a fisiopatologia da síndrome de Guillain-Barré.

 

Provas

Questão presente nas seguintes provas
3904460 Ano: 2025
Disciplina: Medicina
Banca: DIRENS Aeronáutica
Orgão: CIAAR
Provas:

A síndrome de Wallenberg é causada por lesão de qual área do tronco encefálico?

 

Provas

Questão presente nas seguintes provas
3904459 Ano: 2025
Disciplina: Medicina
Banca: DIRENS Aeronáutica
Orgão: CIAAR
Provas:

Marque a opção que apresenta corretamente as principais características da síndrome de Miller-Fisher, que são consideradas uma variante rara da síndrome de Guillain-Barré.

 

Provas

Questão presente nas seguintes provas
3904458 Ano: 2025
Disciplina: Medicina
Banca: DIRENS Aeronáutica
Orgão: CIAAR
Provas:

Paciente, sexo feminino, 30 anos, com histórico de migrânea, apresenta perda súbita de visão em um olho. O exame neurológico revela midríase e hiperreatividade pupilar. Qual é o diagnóstico?

 

Provas

Questão presente nas seguintes provas
3904457 Ano: 2025
Disciplina: Medicina
Banca: DIRENS Aeronáutica
Orgão: CIAAR
Provas:

Considerando a encefalopatia posterior reversível (PRES) e a síndrome da vasoconstrição cerebral reversível (RCVS), marque a opção correta.

 

Provas

Questão presente nas seguintes provas
3904456 Ano: 2025
Disciplina: Medicina
Banca: DIRENS Aeronáutica
Orgão: CIAAR
Provas:

Em relação ao tratamento da demência de Alzheimer, assinale a opção correta.

 

Provas

Questão presente nas seguintes provas
3904455 Ano: 2025
Disciplina: Medicina
Banca: DIRENS Aeronáutica
Orgão: CIAAR
Provas:

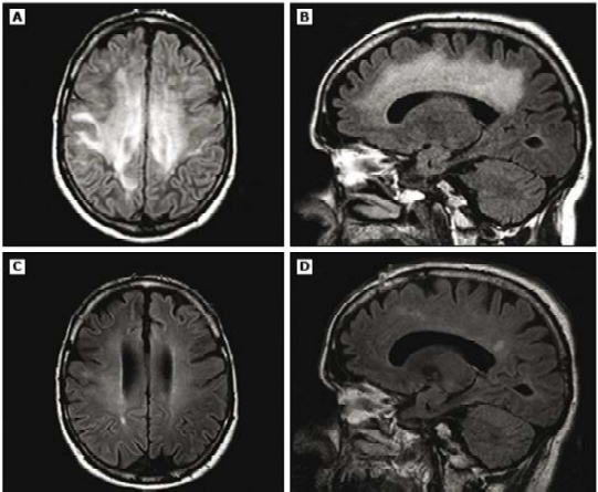
Paciente do sexo feminino, 22 anos, com quadro de cefaleia, mal-estar, confusão mental, febre não termometrada, meningismo, ataxia, afasia, nistagmo e retenção urinária.

Enunciado 4745965-1

Fonte: Banca Examinadora, 2026.

 

Com base no caso clínico e nas imagens apresentadas, qual o provável diagnóstico?

 

Provas

Questão presente nas seguintes provas