Magna Concursos

Foram encontradas 1.260 questões.

3367431 Ano: 2024
Disciplina: Medicina
Banca: DIRENS Aeronáutica
Orgão: CIAAR

A síncope vasovagal (SVV) é a causa mais comum de síncope entre todas as etiologias. A incidência pode variar de 21 a 35%, acometendo geralmente pessoas jovens e saudáveis. Sobre a utilização do teste de inclinação (Tilt test) para diagnóstico e manuseio da SVV, marque a opção correta.

 

Provas

Questão presente nas seguintes provas
3367430 Ano: 2024
Disciplina: Medicina
Banca: DIRENS Aeronáutica
Orgão: CIAAR

Pacientes com hipertireoidismo têm um risco maior de desenvolver fibrilação atrial (FA).

Sobre o hipertireoidismo e FA, informe verdadeiro (V) ou falso (F) para as assertivas abaixo e, em seguida, marque a opção que apresenta a sequência correta.

( ) A cardioversão a ritmo sinusal é preferível quando se atingir um estado eutireoideo.

( ) Os betabloqueadores cardiosseletivos são superiores aos não cardiosseletivos em controlar sintomas.

( ) A anticoagulação não é tão eficaz na prevenção de AVC, como nos pacientes sem hipertireoidismo.

( ) Há reversão espontânea a ritmo sinusal, cerca de 1 a três semanas após regularização dos hormônios tireoidianos.

 

Provas

Questão presente nas seguintes provas
3367429 Ano: 2024
Disciplina: Medicina
Banca: DIRENS Aeronáutica
Orgão: CIAAR

Os aneurismas da aorta ascendente podem ter etiologias variadas, entretanto o risco de ruptura é o desfecho mais temido. Há diâmetros críticos para que se indique uma correção cirúrgica profilática, prevendo uma futura ruptura espontânea catastrófica, dependendo da condição de base que levou ao aneurisma. Sobre os diâmetros limites para ressecção profilática do aneurisma de aorta ascendente nas diversas etiologias, assinale a opção correta.

 

Provas

Questão presente nas seguintes provas
3367428 Ano: 2024
Disciplina: Medicina
Banca: DIRENS Aeronáutica
Orgão: CIAAR

O uso do ecocardiograma transesofágico(ETE) no intraoperatório de cirurgias valvulares já é atualmente consenso na prática, não só nos procedimentos mais delicados como plastias, como também nas demais situações para avaliação imediata do resultado do procedimento. Sobre o uso do ETE durante as cirurgias cardíacas, assinale a afirmativa correta, informe verdadeiro (V) ou falso (F) para as assertivas abaixo e, em seguida, marque a opção que apresenta a sequência correta.

( ) A maior evidência de benefício é a utilização nas cirurgias valvares.

( ) O benefício do uso do ETE durante o implante do TAVI não foi inferior à angiotomografia.

( ) Apesar do benefício nas cirurgias cardíacas, houve aumento no tempo de circulação extracorpórea com o uso do ETE.

( ) O benefício de se utilizar o ETE durante as cirurgias de revascularização miocárdica foi semelhante às valvares, em um estudo prospectivo.

 

Provas

Questão presente nas seguintes provas
3367427 Ano: 2024
Disciplina: Medicina
Banca: DIRENS Aeronáutica
Orgão: CIAAR

A monitorização ambulatorial da pressão arterial (MAPA) e a Monitorização Residencial da Pressão Ambulatorial (MRPA) são ferramentas frequentemente utilizadas no diagnóstico e seguimento da Hipertensão Arterial (HA).

Sobre a MAPA e MRPA é correto afirmar que

 

Provas

Questão presente nas seguintes provas
3367426 Ano: 2024
Disciplina: Medicina
Banca: DIRENS Aeronáutica
Orgão: CIAAR

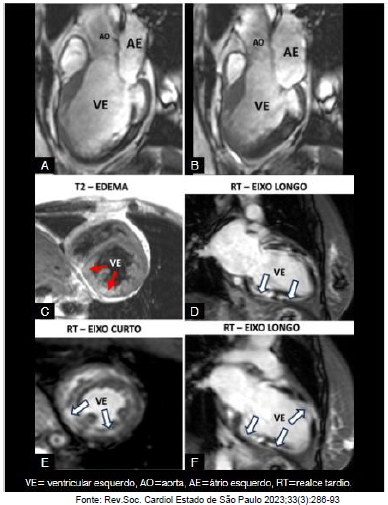
Paciente, 53 anos, sexo feminino, não hipertensa, não diabética, não tabagista, evoluindo com quadro de insuficiência cardíaca, do tipo restritiva de difícil controle, encaminhada para implante de marcapasso, devido a um Bloqueio atrioventricular (BAVT). Trouxe uma radiografia de tórax com micronódulos pulmonares difusos e um ecocardiograma feito no interior que mostrava uma miocardiopatia dilatada com FE=38%, com alterações segmentares de contratilidade. Cineangiocoronariografia normal. Foi solicitada a ressonância magnética cardíaca para esclarecimento diagnóstico, antes do implante do marcapasso e biópsia.

Enunciado 3842452-1

Após análise do caso clínico e da ressonância cardíaca realizada e apresentada acima, qual o diagnóstico mais provável?

 

Provas

Questão presente nas seguintes provas
3367425 Ano: 2024
Disciplina: Medicina
Banca: DIRENS Aeronáutica
Orgão: CIAAR

A suspeita clínica do diagnóstico de miocardite baseia-se na associação da apresentação clínica com exames complementares alterados sugestivos de lesão inflamatória miocárdica. Sobre as principais alterações nos exames complementares na miocardite, informe verdadeiro (V) ou falso (F) para as assertivas abaixo e, em seguida, marque a opção que apresenta a sequência correta.

( ) No ECG são comuns alterações do segmento ST e intervalo PR como infra ou supradesnivelamento.

( ) Enzimas de injúria miocárdica elevadas e BNP e proBNP normais.

( ) Disfunção valvar e disfunção de músculo papilar ao ECO.

( ) Realce tardio positivo e Edema Miocárdico à ressonância.

 

Provas

Questão presente nas seguintes provas
3367424 Ano: 2024
Disciplina: Medicina
Banca: DIRENS Aeronáutica
Orgão: CIAAR

Paciente, sexo masculino, 56 anos, motorista de coletivo, não tabagista, etilista social, não diabético, procura unidade de saúde com relato de ser hipertenso de longa data e ter abandonado o tratamento desde a pandemia do covid-19. Encontra-se assintomático e necessita de atestado para renovar carteira de habilitação. A pressão arterial encontra-se 150/110mmHg. Trouxe o ECG abaixo.

Enunciado 3842450-1

Após analisar o ECG, qual seria o próximo exame cardiológico a ser solicitado?

 

Provas

Questão presente nas seguintes provas
3367423 Ano: 2024
Disciplina: Medicina
Banca: DIRENS Aeronáutica
Orgão: CIAAR

A terapia trombolítica sistêmica no TEP está relacionada à taxa de 1 a 3% de hemorragia intracraniana, logo suas indicações devem ser devidamente ponderadas. Sobre a terapia trombolítica no TEP, informe verdadeiro (V) ou falso (F) para as assertivas abaixo e, em seguida, marque a opção que apresenta a sequência correta.

( ) O principal marcador definidor para a fibrinólise no TEP é a hipotensão (PA<90/60mmHg).

( ) A fibrinólise cateter dirigida tem sido uma alternativa promissora à embolectomia no TEP agudo de alto risco.

( ) Durante a infusão do estreptoquinase ou de rtPA, a infusão de heparina não-fracionada deve ser interrompida.

( ) Em pacientes estáveis, porém com disfunção de VD ou aumento de troponina, a trombólise mostrou redução de mortalidade em protocolos com dose reduzida.

 

Provas

Questão presente nas seguintes provas
3367422 Ano: 2024
Disciplina: Medicina
Banca: DIRENS Aeronáutica
Orgão: CIAAR

O principal determinante para a ocorrência da endocardite é a lesão endotelial, decorrente de predisposição anatômica cardíaca. Consequentemente, há deposição de plaquetas e fibrina no endocárdio, gerando endocardite trombótica não bacteriana. A presença de microrganismos circulantes na corrente sanguínea pode resultar em endocardite infecciosa. Sobre a indicação de profilaxia antimicrobiana perioperatória da endocardite bacteriana, é correto afirmar que os pacientes

 

Provas

Questão presente nas seguintes provas