Foram encontradas 1.260 questões.
Nos pacientes com afecções reumáticas valvares é correto afirmar que
Provas
Com base nas diretrizes brasileiras das Valvopatias, é correto afirmar que
Provas
Sobre a Persistência do Canal Arterial (PCA) é correto afirmar que
Provas
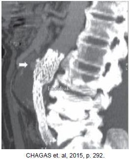
Qual o tipo de endoleak se observa na imagem abaixo?

Provas
A síndrome do marcapasso é uma afecção que leva à dispneia, palpitações e baixo débito cardíaco. Ela ocorre devido a qual mecanismo?
Provas
Quanto aos procedimentos híbridos do arco aórtico (debranching), marque a opção correta.
Provas
Um paciente apresenta pressão arterial média abaixo de 60 mmHg, com lactato aumentado. Caso este paciente tenha um choque cardiogênico, como encontraríamos seus parâmetros hemodinâmicos?
Provas
Observe a figura esquemática abaixo e nomeie as estruturas da máquina de circulação extracorpórea. Em seguida, marque a opção correta.

Provas
A Febre Reumática (FR) e a Cardiopatia Reumática Crônica (CRC) são complicações não supurativas da faringoamigdalite, causada pelo estreptococo beta-hemolítico do grupo A, e decorrem de resposta imune tardia a esta infecção em populações geneticamente predispostas. Sobre a duração da profilaxia secundária, informe verdadeiro (V) ou falso (F) para as assertivas abaixo e, em seguida, marque a opção que apresenta a sequência correta.
( ) Em pacientes submetidos à cirurgia valvar, a duração é para a vida toda.
( ) Em paciente com lesão valvar residual moderada a grave até os 35 anos.
( ) Em paciente com FR sem cardite prévia até os 21 anos ou até 10 anos, após o último surto.
( ) Em paciente com FR com cardite prévia; insuficiência mitral leve residual ou resolução da lesão valvar, manter até os 25 anos ou até 10 anos após último surto.
Provas
A angiotomografia computadorizada de coronárias é um exame de baixo risco e acurado para excluir casos de doença coronária. Entretanto, é necessário saber indicá-lo para o melhor benefício do paciente.
Marque a opção que apresenta a indicação com o maior nível de evidência de benefício para se solicitar uma angiotomografia de coronárias.
Provas
Caderno Container