Foram encontradas 1.260 questões.
Paciente, 14 anos, destra, previamente hígida, vacinada há 1 mês contra febre amarela, desenvolveu quadro de agitação psicomotora e verborragia, disnomia e hemiparesia direita, poucas horas da admissão hospitalar. Esses sintomas caracterizam a
Provas
Os fatores citados abaixo estão associados à demência, exceto o(a)
Provas
A recidiva das crises epilépticas é mais comum em pacientes
Provas
É um critério de exclusão para a indicação da estimulação cerebral profunda na Doença de Parkinson o(a)
Provas

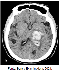
Paciente, 67 anos, hipertenso prévio, dá entrada no pronto atendimento com quadro súbito de hemiparesia esquerda, com a tomografia ilustrada na figura acima, e PA de 180x120 mmHg. Diante do quadro é correto afirmar que:
Provas
A paralisia facial (VII) e abducente (VI) com hemiplegia contralateral (corticoespinhal) causada por lesões na base da ponte é conhecida como síndrome de
Provas
Marque a opção que apresenta fator ou doença que não está associado aos sintomas parkinsonianos.
Provas
A doença que pode simular a esclerose múltipla é a
Provas
Sobre as cefaleias, é correto afirmar que:
Provas
Sobre o Código de Ética Médica, informe verdadeiro (V) ou falso (F) para as assertivas abaixo e, em seguida, marque a opção que apresenta a sequência correta.
( ) É vedado ao médico apresentar separadamente seus honorários quando outros profissionais participarem do atendimento ao paciente.
( ) O médico deve respeitar a vontade de qualquer pessoa considerada capaz física e mentalmente em greve de fome e não pode alimentá-la compulsoriamente.
( ) É vedado ao médico assumir emprego, cargo ou função para suceder médico demitido ou afastado, em represália à atitude de defesa de movimentos legítimos da categoria.
( ) O médico pode recusar imediatamente a exercer sua profissão em instituição pública ou privada onde as condições de trabalho não sejam dignas ou possam prejudicar a própria saúde ou dos pacientes.
( ) É possível o acesso aos prontuários em estudos retrospectivos com questões metodológicas justificadas e autorizadas pela Comissão de ética médica em pesquisa em seres humanos, ou pela Comissão Nacional de Ética Médica, sem a necessidade do consentimento livre e esclarecido.
Provas
Caderno Container