Foram encontradas 1.260 questões.
A condição clínica ou sistêmica que pode estar associada à síndrome das pernas inquietas (SPI) é o(a)
Provas
O medicamento frequentemente associado ao distúrbio alimentar ligado ao sono, no qual há episódios recorrentes de alimentação involuntária é o(a)
Provas
O distúrbio do sono caracterizado por intrusão do sono REM durante a vigília e no qual há paralisia completa ou parcial da musculatura esquelética, frequentemente desencadeadas por emoções fortes positivas (como o gargalhar) e raramente emoções negativas (como raiva, susto e frustração) é o(a)
Provas
A escala NIHSS (National Institute of Health Stroke Scale) é composta por 11 itens que somam um total de 42 pontos e padroniza a avaliação dos pacientes com AVC isquêmico, possibilitando predizer prognóstico, recanalização ou reoclusão arterial. Um paciente alerta, que respondeu corretamente o mês e sua idade, respondeu aos dois comandos, sem alteração visual, sem alteração da movimentação extraocular, visão preservada, paralisia facial central esquerda, hemiplégico a esquerda, sem ataxias, hipoestesia esquerda, e disartria leve, possui o NIHSS de
Provas

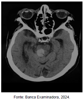
Com base na figura acima, em qual região do tronco cerebral está localizada a hemorragia?
Provas
A doença de Parkinson foi, por muito tempo, definida como um distúrbio eminentemente motor. Os sintomas não motores da Doença de Parkinson foram definidos com o tempo e impactam a qualidade de vida dos pacientes que, muitas vezes, não melhoram com a terapêutica específica (levodopa, agonistas dopaminérgicos). Sobre o assunto, informe verdadeiro (V) ou falso (F) para as assertivas abaixo e, em seguida, marque a opção que apresenta a sequência correta.
( ) A dor é um sintoma incapacitante e comum, ocorrendo tardiamente na evolução da doença, geralmente do tipo musculoesquelética, relacionada à rigidez muscular e bradicinesia.
( ) As disfunções gastrointestinais são comuns e estão relacionadas ao comprometimento muscular do trato gastrointestinal, e o sintoma mais comum é a constipação ou defecação dissinérgica.
( ) As disfunções urológicas estão presentes na evolução da doença de Parkinson e o sintoma mais comum é a noctúria (em torno de 60%), e a administração de agonistas - D2 pode piorar a disfunção vesical.
( ) A disfagia ocorre em quase 100% dos pacientes e pode cursar com sialorreia grave, que tem a aplicação de toxina botulínica em cada glândula parótida e em cada glândula submandibular como primeira opção de tratamento, e também pode ser tratada com o uso de Atropina a 1% em colírio (10mg/ml), ou brometo de ipratropio (atrovent em spray nasal a 0,06%) ou butilbrometo de escopolamina (Buscopan 10mg;ml).
( ) As disautonomias são as principais complicações não motoras da Doença de Parkinson e dentre elas a hipotensão ortostática, ocasionada pela denervação difusa noradrenérgica do ventrículo esquerdo, alterações na natriurese e diurese de pressão por perda de neurotransmissores específicos, liberação subótima de noradrenalina quando o paciente se mantém em posição ortostática, redução do número de neurônios catecolaminérgicos do núcleo do trato solitário, dentre outros mecanismos de perda de autorregulação cerebral.
Provas
As doenças abaixo podem cursar com miopatia inflamatória durante a sua evolução, exceto:
Provas
Paciente, sexo feminino,18 anos, há 6 meses apresentando abalos involuntários nos membros superiores pela manhã. Notou que, quando dormia menos, apresentava maior frequência destes eventos. Há uma semana participou de uma festa, fez uso de bebida alcoólica e foi dormir às 2 horas da manhã. Ao acordar às 6 horas da manhã apresentou crise convulsiva tônica clônica generalizada. Em relação ao caso é correto afirmar que nesse tipo de epilepsia
Provas

A lissencefalia completa ou agiria consiste em um cérebro liso com córtex espesso, sem giros ou sulcos secundários. Pode ocorrer isoladamente ou fazer parte da síndrome de
Provas
Paciente, sexo masculino, 69 anos, hipertenso, atendido com quadro de vertigem, vômitos e mal-estar. Após avaliação foi medicado com metoclopramida, dimenidrinato e clonazepam. Recebeu alta com melhora parcial e diagnóstico de labirintite. Retorna no dia seguinte com incapacidade de marcha, vertigem, rebaixamento do nível de consciência e descerebração bilateral. Tomografia de crânio revelou hiperdensidade da artéria basilar. Considerando o caso clínico, marque a opção correta.
Provas
Caderno Container