Magna Concursos

Foram encontradas 675 questões.

620005 Ano: 2018
Disciplina: Odontologia
Banca: Consulplan
Orgão: Câm. Belo Horizonte-MG
Provas:
As restaurações em resina composta são amplamente utilizadas em odontologia. Para o sucesso do procedimento é necessária uma série de cuidados que vão desde o planejamento, o preparo cavitário e a inserção do material. Assinale a alternativa INCORRETA.
 

Provas

Questão presente nas seguintes provas
620004 Ano: 2018
Disciplina: Odontologia
Banca: Consulplan
Orgão: Câm. Belo Horizonte-MG
Provas:
Quando o remanescente dental não possibilita a retenção da restauração, há a necessidade de utilizar um meio de retenção intraradicular para conferir resistência e retenção à restauração. Essa ancoragem pode ser feita por meio de Núcleo Metálico Fundido (NMF). É correto afirmar que:
 

Provas

Questão presente nas seguintes provas
620003 Ano: 2018
Disciplina: Odontologia
Banca: Consulplan
Orgão: Câm. Belo Horizonte-MG
Provas:

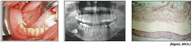
Observe as imagens a seguir referentes à mesma lesão.

enunciado 620003-1

Trata-se de um cisto com critérios histológicos bem definidos, com alta taxa de recidiva. Origina-se a partir de remanescentes da lâmina dentária. Geralmente possui comportamento benigno, porém agressivo. Apresenta-se em qualquer idade, com maior incidência entre a 2 e 3 décadas de vida, raramente abaixo dos 10 anos de idade. A mandíbula é invariavelmente mais afetada que a maxila. Sua tendência de crescimento é ocupar os espaços medulares gerando pouca expansão óssea. As informações se referem ao cisto:

 

Provas

Questão presente nas seguintes provas
620002 Ano: 2018
Disciplina: Odontologia
Banca: Consulplan
Orgão: Câm. Belo Horizonte-MG
Provas:
Para que um material restaurador seja indicado o profissional deverá conhecer suas propriedades e principais características. Embora os dias atuais sejam os da odontologia estética, o amálgama pode ainda ser indicado. Em relação a esse material, assinale a alternativa correta.
 

Provas

Questão presente nas seguintes provas
620001 Ano: 2018
Disciplina: Odontologia
Banca: Consulplan
Orgão: Câm. Belo Horizonte-MG
Provas:

“As próteses adesivas indiretas cerâmicas são peças estéticas confeccionadas em laboratório e fixadas no remanescente dental por meio de um agente de cimentação definitivo.”

(Volpato, 2011.)

Qual das alternativas a seguir é uma vantagem desse tipo de prótese?

 

Provas

Questão presente nas seguintes provas
620000 Ano: 2018
Disciplina: Odontologia
Banca: Consulplan
Orgão: Câm. Belo Horizonte-MG
Provas:

“A oclusão se refere ao estudo das relações estáticas (intercuspidação dentária) e dinâmicas (movimentos mandibulares) entre as superfícies oclusais e entre estas e todos os demais componentes do aparelho estomatognático.”

(Fernandes Neto et al. 2013.)

Observe a definição a seguir: “dimensão horizontal da face determinada pela relação do côndilo com a fossa mandibular do osso temporal em completa harmonia com o disco articular; posição estável e reproduzível pelo equilíbrio fisiológico dos músculos de sustentação mandibular. Independe da presença ou não dos dentes”. Essa definição se refere à:

 

Provas

Questão presente nas seguintes provas
619999 Ano: 2018
Disciplina: Sociologia
Banca: Consulplan
Orgão: Câm. Belo Horizonte-MG
No que tange à representação política, Lijphart (2003) classifica as democracias contemporâneas em dois modelos: majoritário e consensual. Para tanto, o teórico constrói dois eixos: um relativo à dimensão executivo/partidos e o outro quanto à dimensão federalismo/unitarismo. Baseado nesse esquema analítico, é correto afirmar que o modelo
 

Provas

Questão presente nas seguintes provas
619993 Ano: 2018
Disciplina: Medicina
Banca: Consulplan
Orgão: Câm. Belo Horizonte-MG
Provas:

A asma é um distúrbio caracterizado pelo aumento da reatividade da traqueia e dos brônquios a vários estímulos, resultando na constrição difusa das vias respiratórias. São reações de caráter reversível, espontâneo ou por tratamento.”

(Varellis, 2017.)

Em relação aos cuidados prévios a serem tomados para atendimento de um paciente com asma, assinale a alternativa INCORRETA.

 

Provas

Questão presente nas seguintes provas
619992 Ano: 2018
Disciplina: Legislação dos Tribunais Eleitorais (TSE e TREs)
Banca: Consulplan
Orgão: Câm. Belo Horizonte-MG
Provas:
O Tribunal Superior Eleitoral é o órgão máximo da Justiça Eleitoral e tem suas principais competências determinadas pela Constituição Federal e também pelo Código Eleitoral, dentre elas o processamento e julgamento de ações em matéria eleitoral. As decisões do Tribunal Superior Eleitoral são, por regra, irrecorríveis, ressalvadas as exceções definidas por expressa previsão constitucional. São exceções à irrecorribilidade das decisões do TSE, as decisões
 

Provas

Questão presente nas seguintes provas
619991 Ano: 2018
Disciplina: Engenharia Civil
Banca: Consulplan
Orgão: Câm. Belo Horizonte-MG
Provas:
As membranas utilizadas para telhados de pequena declividade dividem-se em três categorias: membranas betuminosas; membranas de camada única; e, membranas de aplicação de fluido. Sobre tais conceitos, assinale a alternativa INCORRETA.
 

Provas

Questão presente nas seguintes provas