Foram encontradas 913 questões.
Mulher de 65 anos apresenta quadro de fadiga e fraqueza nas últimas 2 semanas. Ela tem histórico de hipertensão, diabete tipo 2 e artrite reumatoide, em uso de metotrexato e prednisona. Por causa do controle inadequado, o etanercepte foi adicionado há 2 semanas, ocasião em que ela decidiu descontinuar a prednisona devido ao aumento de hematomas em sua pele. Além de metrotexato e etanercepte, ela está em uso de ácido fólico, metformina e aspirina em baixas doses. Ao exame físico: pressão arterial: 110 x 68 mmHg sentada e 90 x 64 mmHg em pé; frequência cardíaca: 102 bpm sentada e 110 bpm em pé; observa-se edema sinovial simétrico nas articulações metacarpofalângicas e punhos bilateralmente. Exames laboratoriais mostram um nível de cortisol às 8h00 de 2 μg/dL (normal: 5 a 25).
O manejo inicial de escolha é
Provas
Homem de 42 anos é avaliado durante uma consulta de acompanhamento para cálculos renais. Ele teve seu primeiro cálculo há 4 anos e, apesar de aumentar a ingestão de líquidos, ele teve dois episódios adicionais de cólica renal. A análise dos cálculos revelou apenas oxalato de cálcio. Ele está em boa saúde e não tem histórico de infecções do trato urinário. Não há história familiar de doença renal, hiperparatireoidismo ou nefrolitíase. O exame físico e os sinais vitais são normais. O paciente pesa 80 kg. Exames séricos: cálcio 9,6 mg/dL; creatinina 0,9 mg/dL; sódio 138 mEq/L; potássio 4,1 mEq/L; cloreto: 105 mEq/L; bicarbonato 25 mEq/L. Exame de urina: gravidade específica: 1,008; pH: 5,5; ausência de sangue ou proteína; esterase leucocitária e nitritos: negativos. Urina de 24 horas: volume: 2 945 mL; pH 5,2; cálcio 320 mg (normal: < 320 mg); citrato 790 mg (normal: 300 a 1 100 mg); oxalato: 32 mg (normal: < 40 mg); sódio: 140 mEq (normal” 40 a 220 mEq); ácido úrico: 640 mg (normal: < 800 mg). A tomografia mostra um cálculo de 4 mm no polo inferior do rim esquerdo e um cálculo de 3 mm no polo médio do rim direito.
O próximo passo mais apropriado para diminuir a recorrência do cálculo desse paciente é
Provas
Homem de 72 anos é avaliado por quadro de quase síncope e queda recente. O histórico é significativo para hipertensão, hiperlipidemia e doença arterial coronariana. Os medicamentos em uso são: aspirina em baixas doses, clortalidona, anlodipino, carvedilol e sinvastatina. A dose da clortalidona foi aumentada de 25 mg para 50 mg há 1 mês. Ao exame físico: pressão arterial (PA): 168 x 92 mmHg sentado e 130 x 68 mm Hg em pé após 3 minutos e a pulsação é de 64 bpm sentado e 66 bpm em pé; demais sinais vitais são normais; uma equimose é observada sobre o cotovelo esquerdo; o restante do exame, incluindo o exame neurológico, é normal. Exames séricos: creatinina: 1,4 mg/dL (era 1,0 mg/dL há 1 mês); bicarbonato 30 mEq/L (era 26 mEq/L há 1 mês); potássio: 3,0 mEq/L (era 3,8 mEq/L há 1 mês). O eletrocardiograma não mostra alterações em relação aos traçados anteriores.
Nesse momento, a melhor conduta é
Provas
Homem de 44 anos é avaliado durante uma consulta de acompanhamento para glomerulopatia membranosa diagnosticada há 2 semanas através de biópsia renal. Ele não tem outros antecedentes pessoais ou familiares pertinentes. Sua única medicação é a furosemida. Ao exame físico: os sinais vitais são normais; edema bilateral simétrico de membros inferiores 1+/4; o restante do exame não é digno de nota. Exames séricos: albumina 3,0 g/dL; colesterol total: 310 mg/dL; creatinina 0,8 mg/dL; anticorpo antinúcleo: negativo; anticorpo antirreceptor de fosfolipase A2: positivo (1:80); anti-HIV, hepatites B e C: negativos. Proteinúria de 24 horas: 6 500 mg. Ultrassonografia: rins de aparência normal, sem evidência de trombo nas veias renais. Um inibidor da ECA e uma estatina são iniciados.
Nesse momento, a conduta de escolha é
Provas
Mulher de 55 anos é avaliada por uma história de 6 meses de dor epigástrica latejante, e, às vezes, em queimação. A dor ocorre 2 a 3 vezes por semana e geralmente desaparece com a alimentação. Ela não relata perda de peso, náuseas, vômitos ou sintoma intestinal. A pesquisa de Helicobacter pylori foi negativa. A dor não respondeu a um teste de 12 semanas de omeprazol. O histórico é notável para hipotireoidismo, diabete melito tipo 2 controlado por dieta e ansiedade. Os medicamentos em uso são levotiroxina e lorazepam. Ao exame físico: os sinais vitais são normais; sensibilidade epigástrica à palpação é notada; outros achados são normais. Hemograma completo, testes hepáticos e hormônio estimulante da tireoide são normais. A hemoglobina A1C é de 6,7%. Os achados da endoscopia alta são normais. As biópsias gástricas e do intestino delgado são normais.
A conduta inicial recomendada é
Provas
Homem de 48 anos apresenta quadro agudo de dor no flanco esquerdo e disúria. Seis meses antes, o paciente foi hospitalizado por pancreatite aguda grave devido a cálculos biliares. A tomografia do pâncreas com contraste mostrou ausência de perfusão no corpo do pâncreas e ele se recuperou com cuidados de suporte e recebeu alta 2 semanas depois. Ele teve uma colecistectomia laparoscópica não complicada 4 semanas após a alta. Refere que se sentiu bem até o início súbito de dor no flanco esquerdo hoje. Ao exame físico: pressão arterial: 130 x 80 mmHg; frequência cardíaca: 90 bpm; demais sinais vitais são normais; o exame abdominal é notável por dor no quadrante inferior esquerdo à palpação; o restante do exame não é digno de nota. O exame de urina mostra hematúria. A tomografia realizada mostra: nefrolitíase e um pequeno cálculo no ureter esquerdo; coleção líquida de 6 cm com detritos sólidos no corpo do pâncreas com parede bem definida.
Quanto à coleção líquida, o manejo mais adequado é
Provas
Mulher de 65 anos é avaliada em consulta de rotina. O histórico é significativo para tireoidite de Hashimoto em uso de levotiroxina. Ela não tem nenhum sintoma nesse momento e não há história de exposição à radiação na cabeça ou pescoço. Ao exame físico: os sinais vitais são normais. A tireoide está aumentada com o lobo direito maior que o esquerdo, além de nódulo móvel de 2 cm palpável no polo inferior da glândula. Não há adenopatia cervical palpável. A dosagem do hormônio estimulante da tireoide é de 2,0 μU/mL (normal: 0,5 a 4,0).
A conduta inicial correta é solicitar
Provas
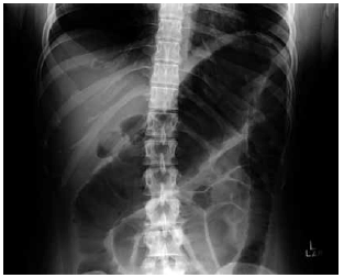
Homem de 24 anos apresenta quadro de diarreia sanguinolenta há 2 semanas, com até 10 evacuações por dia, associado a dor e distensão abdominal inferior. Ele tem colite ulcerativa extensa de 5 anos de duração e os medicamentos em uso são infliximabe, azatioprina e prednisona. Ao exame físico: o paciente parece doente; temperatura: 38,3 ºC; pressão arterial: 90 x 60 mmHg; frequência cardíaca: 110 bpm; o abdome está distendido com defesa à descompressão; os sons intestinais são hipoativos. Exames séricos: hemoglobina: 10 g/dL; leucócitos: 16 000/mm3; ureia: 26 mg/dL. A radiografia abdominal realizada é mostrada a seguir.

Nesse momento, a conduta prioritária é
Provas
Mulher de 58 anos é avaliada por uma história de 6 meses de cefaleia e vermelhidão facial. Seu histórico médico é normal e ela não toma medicamentos. Ao exame físico: afebril; pressão arterial: 160 x 95 mmHg; frequência cardíaca: 96 ipm; frequência respiratória: 20 ipm; IMC: 28 kg/m2; a saturação arterial de oxigênio é normal; presença de pletora facial e eritema palmar; não há hepatomegalia ou esplenomegalia à palpação. Exames séricos: eritropoietina marcadamente elevada; hemoglobina: 18,1 g/dL; leucócitos: 5 400/mm3 com um diferencial normal; plaquetas: 250 000/mm3; testes hepáticos: normais. Exame de urina: normal.
Nesse momento, o próximo teste diagnóstico recomendado é
Provas
Mulher de 34 anos é avaliada por uma história de 6 meses de aumento gradual da dor na virilha esquerda com alguma irradiação para a nádega esquerda, particularmente ao subir escadas. Ela tem uma história de 2 anos de nefrite lúpica. Os medicamentos são hidroxicloroquina, micofenolato e prednisona. Ao exame físico: os sinais vitais são normais; fraqueza dos músculos flexores do quadril esquerdo; amplitude de movimento passiva diminuída do quadril esquerdo, em rotação externa e interna, com dor à movimentação.
O teste inicial mais apropriado para avaliar a dor no quadril da paciente é
Provas
Caderno Container