Foram encontradas 913 questões.
O trabalhador da manutenção elétrica procura o ambulatório referindo dor acentuada no ombro direito há cerca de três meses, de intensidade crescente, particularmente à noite e quando faz movimentos de elevação do membro superior correspondente. Na investigação diagnóstica o médico utilizou, corretamente, as seguintes premissas.
Provas
Em tempos de pandemia pelo Sars-CoV-2, a manutenção das atividades laborativas em setores essenciais exige alguns cuidados para garantir o trabalho seguro, saudável e produtivo.
Assinale a alternativa que se relaciona, corretamente, com os conhecimentos básicos sobre essa infecção viral.
Provas
A denominação genérica de asma relacionada ao trabalho (ART) acolhe, em razão de suas características específicas, duas entidades mórbidas, a asma ocupacional (AO) e a asma agravada ou exacerbada pelo trabalho (AA/ET).
Sobre elas, pode-se afirmar, corretamente, que
Provas
Diferentes situações podem expor o trabalhador a efeitos auditivos e extra-auditivos adversos, por exposição ao ruído de origem ocupacional. A respeito desses efeitos adversos pode-se afirmar, corretamente, que
Provas
Numa situação de incêndio, pode ocorrer a inalação de um gás resultante da combustão incompleta de produtos no ambiente de trabalho. Esse gás pode promover a hipóxia celular e, como efeitos tóxicos, a hipotensão arterial e alterações isquêmicas nas atividades cerebral e miocárdica. É um gás
Provas
Segundo a NR-1 (Norma Regulamentadora), a etapa de identificação de perigos no ambiente de trabalho deve incluir: as suas descrições com as possíveis lesões ou agravos à saúde, a identificação das fontes ou circunstâncias que os determinam e
Provas
A implantação de um Sistema de Gestão em segurança e saúde no trabalho exige da organização, a definição de políticas, programas, procedimentos e processos que, além de atender a legislação vigente, previnam e promovam, entre outros benefícios, a saúde e qualidade de vida entre seus trabalhadores. A avaliação desse Sistema está vinculada à medida regular do desempenho e é essencial para seus bons resultados, entre outras providências,
Provas
Em face da situação pandêmica pelo Sars-CoV-2 uma série de vacinas foram testadas em grupos de voluntários que receberam a substância ativa e o placebo, com o objetivo de avaliar na fase 3, entre outros parâmetros, a sua eficácia. Esses testes inserem-se na categoria de estudos comparativos, com mascaramento, controlados, nos quais o pesquisador manipula o fator de exposição e, sobre os quais pode-se afirmar, corretamente, que
Provas
Mulher de 61 anos é avaliada após realizar tomografia abdominal devido à suspeita de nefrolitíase, mas com a descoberta incidental de várias lesões hipodensas em ambos os lobos do fígado e uma massa mesentérica de 2,5 cm. Ela se recuperou da nefrolitíase e agora se sente totalmente bem. Ela não tem dor abdominal, alteração no apetite ou hábitos intestinais, ondas de calor ou rubor facial e não toma remédios. Ao exame físico: os sinais vitais e o restante do exame são normais. O hemograma completo e os resultados dos testes hepáticos são normais. A biópsia por agulha de uma lesão hepática acessível mostra um tumor neuroendócrino de baixo grau bem diferenciado, com baixa taxa de figuras mitóticas.
Nessa circunstância, o manejo mais adequado é
Provas
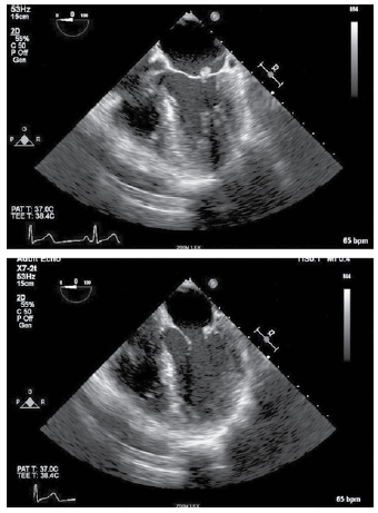
Homem de 62 anos é avaliado após apresentar quadro de fraqueza transitória no braço direito e na perna direita há 3 horas, com completa recuperação. O histórico médico não é digno de nota, e ele não toma medicamento. Ao exame físico: os sinais vitais e o restante do exame são normais. Os estudos laboratoriais são notáveis por uma velocidade de hemossedimentação de 16 mm/h e colesterol LDL de 70 mg/dL. O eletrocardiograma de 12 derivações é normal. A ultrassonografia duplex da carótida não mostra evidência de placa hemodinamicamente significativa. A ressonância magnética do cérebro revela um pequeno infarto capsular interno esquerdo. O ecocardiograma transesofágico realizado é mostrado a seguir, com imagens representativas de quatro câmaras do esôfago médio no final da sístole (painel superior) e no final da diástole (painel inferior):

O diagnóstico mais provável é
Provas
Caderno Container