Magna Concursos

Foram encontradas 40 questões.

2260734 Ano: 2022
Disciplina: Medicina
Banca: UPENET/IAUPE
Orgão: UPE
Provas:
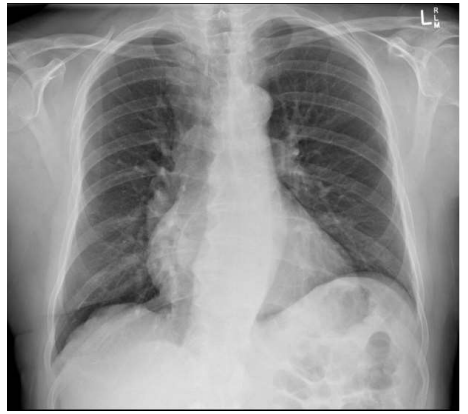
Qual das seguintes patologias abaixo estaria mais relacionada aos achados da seguinte radiografia de tórax?

Enunciado 3413094-1
 

Provas

Questão presente nas seguintes provas
2260733 Ano: 2022
Disciplina: Medicina
Banca: UPENET/IAUPE
Orgão: UPE
Provas:
Assinale a alternativa INCORRETA em relação à espiritualidade e às doenças cardiovasculares.
 

Provas

Questão presente nas seguintes provas
2260732 Ano: 2022
Disciplina: Medicina
Banca: UPENET/IAUPE
Orgão: UPE
Provas:
Qual das alternativas abaixo NÃO constitui contraindicação absoluta para realização de exercícios físicos para a gestante?
 

Provas

Questão presente nas seguintes provas
2260731 Ano: 2022
Disciplina: Medicina
Banca: UPENET/IAUPE
Orgão: UPE
Provas:
Paciente com diagnóstico de insuficiência cardíaca descompensada por pneumonia comunitária, inicia quadro de dor abdominal, náuseas e vômitos, que não melhoram com sintomáticos. Endoscopia digestiva alta normal, assim como ultrassom de abdomen. O paciente inicia quadro de leve dispneia, e é solicitado uma gasometria, com achado de acidose metabólica. Qual dessas medicações está relacionada com essa complicação?
 

Provas

Questão presente nas seguintes provas
2260730 Ano: 2022
Disciplina: Medicina
Banca: UPENET/IAUPE
Orgão: UPE
Provas:
Na avaliação pré-operatória de cirurgia não-cardíaca, para pacientes de maior risco cirúrgico (após avaliação clínica e de risco relacionado ao procedimento), qual ponto de corte em METS é considerado aceitável para que o paciente possa ir para o procedimento sem necessidade de cateterismo ou teste indutor de isquemia?
 

Provas

Questão presente nas seguintes provas
2260729 Ano: 2022
Disciplina: Medicina
Banca: UPENET/IAUPE
Orgão: UPE
Provas:
Paciente masculino, de 26 anos, é atendido na emergência com quadro de dor torácica, retroesternal, de moderada intensidade. Não há fatores de risco cardiovascular conhecido. ECG mostra alteração de repolarização anterior. A troponina é positiva, e é decidido estratificação com cardioressonância após ecocardiograma não mostrar disfunção segmentar. É dado o diagnóstico de miocardite, com história de vacinação para coronavírus recentemente. Sobre isso, assinale a alternativa INCORRETA.
 

Provas

Questão presente nas seguintes provas
2260728 Ano: 2022
Disciplina: Medicina
Banca: UPENET/IAUPE
Orgão: UPE
Provas:
Paciente de 80 anos, hipertenso, diabético, com história de cirurgia de revascularização miocárdica há 10 anos, multiarterial, chega à emergência, com queixa de precordialgia, iniciada havia 4 horas, de duração de 30 minutos, sem sudorese, sem palidez ou irradiações, em pontada. Eletrocardiograma mostrando padrão de bloqueio de ramo esquerdo antigo. Curva de troponina inicial negativa, assim como d-dímero, função renal normal e rx de tórax na emergência normal. No momento assintomático, sem sinais de instabilidade, ausculta pulmonar limpa. Qual a melhor estratégia de estratificação de risco desse paciente?
 

Provas

Questão presente nas seguintes provas
2260727 Ano: 2022
Disciplina: Medicina
Banca: UPENET/IAUPE
Orgão: UPE
Provas:
Em pacientes com infarto com supara de ST inferior, com oclusão da coronária direita e seus ramos, encontramos com certa frequência bloqueios avançados.
Qual é a artéria assinalada na seguinte figura, considerando essa incidência oblíqua anterior esquerda?

Enunciado 3413087-1
 

Provas

Questão presente nas seguintes provas
2260726 Ano: 2022
Disciplina: Medicina
Banca: UPENET/IAUPE
Orgão: UPE
Provas:
Paciente de 59 anos, submetido à correção cirúrgica de fratura de fêmur, sem comorbidades prévia, desenvolve dispneia súbita e dor torácica na enfermaria, no segundo dia de pós-operatório. Tomografia computadorizada do tórax confirma embolia pulmonar. Considerando o paciente hemodinamicamente estável e sem alterações laboratoriais, qual a melhor opção terapêutica INICIAL entre as citadas abaixo?
 

Provas

Questão presente nas seguintes provas
2260725 Ano: 2022
Disciplina: Medicina
Banca: UPENET/IAUPE
Orgão: UPE
Provas:
Paciente de 35 anos, hipertenso, chega à emergência, com queixa de dor torácica difusa, de forte intensidade, associada à sudorese e palidez. Ao exame físico, tem ausculta pulmonar normal, pressão de 70 x 30 mmhg, impressão de abafamento de bulhas e pulsos distais assimétricos. Nesse momento, qual(quais) dos seguintes exames NÃO tem (têm) indicação clínica para diagnóstico e condução do caso?
 

Provas

Questão presente nas seguintes provas