Foram encontradas 289 questões.
Provas
Provas

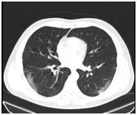
I. Pneumonia bacteriana. II. Pneumonia viral por influenza. III. Pneumonia organizante. IV. Pneumonia viral por covid-19.
Quais estão corretas?
Provas

Provas
Qual patologia placentária está representada na figura abaixo?

Provas
Considere a figura abaixo:

Qual o número que mostra o ponto de referência fetal na apresentação cefálica em que o parto por via vaginal sempre será pouco exitoso?
Provas

Provas

Provas
Em relação à anticoagulação em pacientes com fibrilação atrial, analise as seguintes assertivas:
I. Hoje em dia dispomos de 4 anticoagulantes para uso após o diagnóstico e com escore CHADSVASC compatível com anticoagulação.
II. A apixabana deve ser ajustada se o paciente tem creatinina > 1.5 mg/dL, peso menor que 60 kg ou idade > que 80 anos.
III. A edoxabana deve ser ajustada quanto o paciente tem DCE < 30 ou peso inferior a 50 kg.
Quais estão INCORRETAS?
Provas
Provas
Caderno Container