Magna Concursos

Foram encontradas 309 questões.

4069579 Ano: 2026
Disciplina: Medicina
Banca: VUNESP
Orgão: UNIFIPA
O traçado gráfico do eletrocardiograma avalia a atividade elétrica do coração e registra os seus impulsos elétricos por meio de eletrodos fixados na pele. O trato de células especializadas que se origina no nó atrioventricular e entra no septo interventricular é conhecido por
 

Provas

Questão presente nas seguintes provas
4069578 Ano: 2026
Disciplina: Radiologia
Banca: VUNESP
Orgão: UNIFIPA
As doenças desmielinizantes podem ser diagnosticadas por exames neurológicos e por ressonância magnética. Assinale a alternativa que denomina, respectiva e corretamente, o tipo celular responsável por: i. conduzir a informação do sistema nervoso central para o músculo; ii: transmitir impulsos nervosos para a medula espinal e encéfalo, provenientes de todas as partes do corpo.
 

Provas

Questão presente nas seguintes provas
4069577 Ano: 2026
Disciplina: Radiologia
Banca: VUNESP
Orgão: UNIFIPA
O termo “anecoico”, utilizado no laudo de ultrassonografia, é descrito em literatura como
 

Provas

Questão presente nas seguintes provas
4069576 Ano: 2026
Disciplina: Medicina
Banca: VUNESP
Orgão: UNIFIPA
Tanto os aspectos macroscópicos quanto os microscópicos de uma amostra são fundamentais para uma boa avaliação diagnóstica. A biópsia de mama, realizada por agulha fina na sala de mamografia, é conhecida por biópsia
 

Provas

Questão presente nas seguintes provas
4069575 Ano: 2026
Disciplina: Radiologia
Banca: VUNESP
Orgão: UNIFIPA
As imagens de tomografia computadorizada podem ser analisadas em diferentes cortes ou formatações:


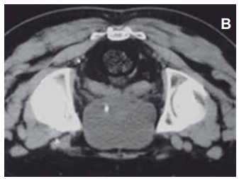
Enunciado 4560251-1


(https://www.scielo.br/j/rb/a/Z9LkbsH6Qb6vLHm3HJP5Qcp/?lang=pt)

A imagem apresentada retrata a região da pelve, e é um estudo realizado em corte no plano
 

Provas

Questão presente nas seguintes provas
4069574 Ano: 2026
Disciplina: Radiologia
Banca: VUNESP
Orgão: UNIFIPA
A escala de Hounsfield, conforme tabela a seguir, refere-se a uma medida quantitativa para a densidade dos tecidos nos exames de tomografia computadorizada, na qual se pode considerar a imagem do osso cortical com a cor:

Enunciado 4560250-1



(https://alexandria-html-published.platosedu.io/ 1938348a-704c-4278-be3b-de9a0c5aba2c/v1/index.html)
 

Provas

Questão presente nas seguintes provas
4069573 Ano: 2026
Disciplina: Radiologia
Banca: VUNESP
Orgão: UNIFIPA
Para um diagnóstico preciso, as radiografias podem ser realizadas em diferentes posições.
Observe a imagem a seguir:

Enunciado 4560249-1



(Arquivo pessoal; imagem usada com autorização)

A imagem contempla a região coxofemural, realizada em posicionamento anteroposterior, e refere-se a um(a)
 

Provas

Questão presente nas seguintes provas
4069572 Ano: 2026
Disciplina: Medicina
Banca: VUNESP
Orgão: UNIFIPA
A evolução tecnológica permitiu o avanço das artrografias para artrorressonância nos estudos das diferentes articulações, principalmente as diartroses, classificadas como sinoviais, que, de acordo com a estrutura de cada tipo articular, possui função determinada.
A articulação do joelho é conhecida por
 

Provas

Questão presente nas seguintes provas
4069571 Ano: 2026
Disciplina: Radiologia
Banca: VUNESP
Orgão: UNIFIPA
Para uma divisão precisa do abdome quanto à localização e aos sintomas, é de fundamental importância o conhecimento anatômico da região estudada. Relacione os números da imagem a seguir (1, 2, 3, 4, 5, 6, 7, 8 e 9) à sua denominação correta (a, b, c, d, e, f, g, h, i), e, a seguir, assinale a alternativa correta.


Enunciado 4560247-1

(https://www.studocu.com/pt-br/document/faculdade-de-medicina-demaraba/anatomia/abdome-anatomia-humana/51762140)

a – Hipocôndrio direito. b – Epigástrio. c – Hipocôndrio esquerdo. d – Flanco direito. e – Mesogástrio. f – Flanco esquerdo. g – Fossa Ilíaca direita. h – Hipogástrio. i – Fossa ilíaca esquerda.
 

Provas

Questão presente nas seguintes provas
4069570 Ano: 2026
Disciplina: Radiologia
Banca: VUNESP
Orgão: UNIFIPA
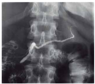
O exame radiológico contrastado com iodo, colangiopancreatografia retrógrada endoscópica, permite a visualização dos ductos biliares e pancreáticos. O ducto que encaminha uma secreção rica em bicarbonato de sódio, tripsina, quimotripsina, lipase, amilase e proteases, ao sistema digestório, é demonstrado pela radiografia a seguir:


Enunciado 4560246-1

(Arquivo pessoal; imagem usada com autorização)

A imagem refere-se ao ducto
 

Provas

Questão presente nas seguintes provas