Foram encontradas 309 questões.
Mulher de 26 anos, sem antecedentes, nota nódulo firme, móvel, indolor em mama direita há 2 meses. Ultrassonografia mostra lesão sólida oval, margens regulares, hipoecoica, medindo 1,8 cm (BI-RADS 3).
A conduta mais adequada é
Provas
Mulher de 33 anos, sem queixas, comparece para exame preventivo de rotina. Não há histórico de lesões cervicais prévias e o último exame citopatológico foi há 3 anos, com resultado normal.
Segundo as recomendações atuais, qual deve ser a conduta?
Provas
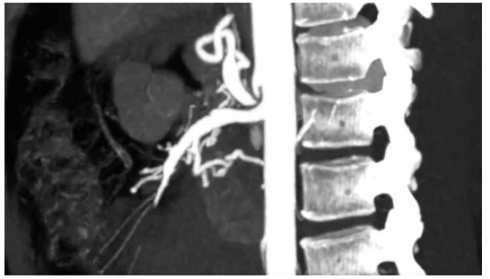
(Arquivo pessoal; imagem usada com autorização)
Analisando a imagem e a apresentação clínica, qual é o diagnóstico mais provável?
Provas
Observe a figura a seguir, que apresenta uma referência anatômica em visão laparoscópica do tratamento da hérnia inguinal:

(Arquivo pessoal; imagem usada com autorização)
Em qual área numerada localiza-se o triângulo da dor?
Provas
Paciente do sexo masculino, de 45 anos, foi submetido a derivação gástrica em Y de Roux há quatro anos e mantém IMC em 38 kg/m² (perda de apenas 15% do peso inicial). Apresenta dor epigástrica intensa e refratária à terapia máxima com inibidores de bomba de prótons e sucralfato. A endoscopia serial demonstra úlcera marginal recorrente na anastomose gastrojejunal, com pouch gástrico medindo 10 cm de comprimento e anastomose de 3,5 cm de diâmetro. Houve falha de dois ciclos de injeção endoscópica de triancinolona.
Considerando a refratariedade do quadro e os achados anatômicos, qual é a conduta definitiva de escolha correta?
Provas
Paciente de 45 anos, vítima de traumatismo cranioencefálico grave, é admitido na UTI com monitorização multimodal. A pressão intracraniana (PIC) é de 25 mmHg. Sua pressão arterial é de 120 × 80 mmHg.
Considerando a fisiologia da circulação cerebral, qual é o valor correto da pressão de perfusão cerebral (PPC)?
Provas
Paciente de 42 anos sofreu laceração profunda no antebraço direito por vidro, com secção completa da artéria radial. O teste de Allen demonstra preenchimento palmar adequado pela artéria ulnar em menos de cinco segundos.
Considerando o quadro apresentado, qual é a conduta mais adequada em relação à lesão arterial?
Provas
Paciente de 35 anos, vítima de acidente automobilístico com compressão abdominal pelo volante, é admitido no pronto-socorro. Apresenta-se hemodinamicamente estável (PA: 110 × 70 mmHg), porém com dor epigástrica importante e amilase igual a 480 U/L. A tomografia de abdome com contraste evidencia laceração no corpo pancreático (grau II da AAST), sem extravasamento de contraste ou lesão do ducto pancreático principal, e líquido peripancreático discreto. Não há outras lesões associadas.
Qual é a conduta inicial mais adequada?
Provas
Sobre o megacólon chagásico, assinale a alternativa correta.
Provas
Paciente de 52 anos, HIV negativo, apresenta lesão ulcerada de 3 cm no canal anal, acometendo a linha pectínea. A biópsia revela carcinoma de células escamosas bem diferenciado. A ressonância magnética mostra linfonodos ilíacos internos aumentados.
Qual é a conduta inicial mais adequada?
Provas
Caderno Container