Magna Concursos

Foram encontradas 1.060 questões.

3654044 Ano: 2025
Disciplina: Medicina
Banca: VUNESP
Orgão: UNIFESP
Provas:
Mulher de 55 anos de idade com diabetes tipo 1 tem cardiomiopatia não isquêmica com fração de ejeção do ventrículo esquerdo de 32% e tem um cardioversor/desfibrilador implantado (CDI). A paciente é vista no ambulatório após hospitalização recente por agravamento da insuficiência cardíaca. Durante essa hospitalização, ela recebeu furosemida intravenosa e a losartana foi substituída por sacubitril/valsartana. Ela melhorou sintomaticamente, mas continua dispneica ao subir um lance de escadas. O exame de hoje não sugere congestão pulmonar ou hipervolemia residual. O tratamento atual consiste em carvedilol (25 mg, 12/12 horas); sacubitril/valsartana (97/103 mg, 12/12 horas); espironolactona (25 mg/dia); furosemida (40 mg/dia). A pressão arterial é 105 x 70 mmHg. O ECG revela ritmo sinusal, frequência cardíaca de 68 bpm, com duração normal do QRS. Exames séricos são notáveis para sódio de 140 mEq/L, potássio de 4,6 mEq/L e creatinina de 1,7 mg/dL (taxa de filtração glomerular estimada de 45 mL/min/1,73 m2 ).

Nesse paciente, a próxima conduta prioritária é
 

Provas

Questão presente nas seguintes provas
3654043 Ano: 2025
Disciplina: Medicina
Banca: VUNESP
Orgão: UNIFESP
Provas:
Mulher de 45 anos de idade com histórico de diabetes tipo 2, artrite reumatoide erosiva soropositiva em uso de metotrexato semanal (15 mg), hidroxicloroquina (400 mg/dia), sulfassalazina (2 g/dia) e prednisona (5 mg/dia) apresenta quadro de dez dias com dor e edema no cotovelo esquerdo. Não há trauma. Ela relata estar mais cansada e refere sudorese noturna, mas sem febre. O exame mostra eritema e edema do cotovelo esquerdo com amplitude de movimento passiva e ativa dolorosa à extensão e flexão; não há nódulos nem eritema ou dor no olécrano. Exames séricos: leucocitose leve (13.000/mm3); hemoglobina: 11,5 g/dL; plaquetas: 430.000/mm3; proteína C reativa: 12 mg/dL (normal: menor que 1).

Nessa paciente, o próximo melhor passo é
 

Provas

Questão presente nas seguintes provas
3654042 Ano: 2025
Disciplina: Medicina
Banca: VUNESP
Orgão: UNIFESP
Provas:
Homem de 67 anos de idade com histórico de doença arterial coronariana, hipertensão arterial e insuficiência cardíaca com fração de ejeção reduzida apresenta quadro de sete dias de piora progressiva da dispneia aos esforços, ortopneia e ganho de peso. No momento, ele está taquipneico e requer cateter nasal de oxigênio (4 L/min) para manter a saturação de O2 acima de 94%; há turgência venosa cervical 2+/4; ausculta pulmonar com crepitações em até 1/2 inferior de ambos os pulmões; edema de membros inferiores 3+/4. A angiotomografia de tórax com contraste realizada há 12 horas é negativa para embolia pulmonar. Os exames laboratoriais de agora são notáveis para sódio: 122 mEq/L; ureia: 123 mg/dL; creatinina: 2,2 mg/dL (valor de base: 0,9 mg/dL). A análise de urina é negativa para leucócitos, hemácias ou proteínas.

A etiologia mais provável para a lesão renal aguda desse paciente é
 

Provas

Questão presente nas seguintes provas
3654041 Ano: 2025
Disciplina: Medicina
Banca: VUNESP
Orgão: UNIFESP
Provas:
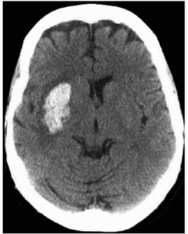
Mulher de 56 anos de idade com abuso crônico de álcool e hipertensão arterial é levada ao serviço de saúde com quadro de início agudo de hemiparesia esquerda e disartria. A tomografia de crânio realizada é mostrada a seguir.

Enunciado 4376912-1

Nessa situação, a etiologia subjacente que, mais provavelmente, é responsável pelo achado neurológico da paciente é
 

Provas

Questão presente nas seguintes provas
3654040 Ano: 2025
Disciplina: Medicina
Banca: VUNESP
Orgão: UNIFESP
Provas:
Homem de 52 anos de idade com histórico de diabetes tipo 2, hipertensão arterial, doença renal crônica (creatinina de base: 1,5 mg/dL) e doença pulmonar obstrutiva crônica (DPOC) é internado com uma exacerbação da DPOC. Ele está no terceiro dia de hospitalização e está recebendo broncodilatadores de curta duração e prednisona. Hoje, seus exames séricos são notáveis para pH: 7,33; sódio: 130 mEq/L; potássio: 5,5 mEq/L; bicarbonato: 28 mEq/L; ureia: 56 mg/dL; creatinina: 1,6 mg/dL; glicemia: 450 mg/dL.

A causa mais provável da hipercalemia desse paciente é
 

Provas

Questão presente nas seguintes provas
3654039 Ano: 2025
Disciplina: Medicina
Banca: VUNESP
Orgão: UNIFESP
Provas:
Homem de 25 anos de idade apresenta quadro de sibilância e falta de ar intensa nas últimas 24 horas. Ele relata que teve dois dias de rinorreia e tosse seca antes do quadro. O histórico é notável para asma, em uso de fluticasona/salmeterol. Ao exame físico, temperatura: 37 ºC; frequência cardíaca: 90 bpm; pressão arterial: 130 x 80 mmHg; frequência respiratória: 24 ipm; oximetria de pulso com saturação de 97% com cateter nasal de 2 L/min; ausculta pulmonar com sibilos difusos. A radiografia de tórax é normal.

Além de salbutamol inalatório, o próximo melhor passo terapêutico é
 

Provas

Questão presente nas seguintes provas
3654038 Ano: 2025
Disciplina: Medicina
Banca: VUNESP
Orgão: UNIFESP
Provas:
Homem de 38 anos de idade com doença de Crohn ileocecal apresenta quadro de dor abdominal intensa e amilase sérica de 2.134 U/L. Ele iniciou recentemente o tratamento com azatioprina (250 mg, uma vez por dia).
Em relação à pancreatite induzida por azatioprina na doença inflamatória intestinal, é correto afirmar:
 

Provas

Questão presente nas seguintes provas
3654037 Ano: 2025
Disciplina: Medicina
Banca: VUNESP
Orgão: UNIFESP
Provas:
Paciente de 24 anos de idade, mulher, fez exames de sangue depois que sua mãe testou positivo para o vírus da hepatite B (HB). A paciente não tem sintomas ou sinais de doença hepática crônica. Exames séricos: bilirrubina: 0,8 mg/dL; alanina aminotransferase: 126 U/L; creatinina: 0,9 mg/dL; hemoglobina: 12 g/dL; plaquetas: 214.000/mm3 ; albumina e coagulograma são normais; HBsAg: positivo; anti-HBe: positivo; HBeAg: negativo; DNA do vírus HB: 41.000 UI/mL; anticorpo para vírus da hepatite C: negativo; anticorpo para hepatite D: negativo; anti HIV: negativo. Ultrassonografia de abdome é normal.

No caso dessa paciente, a próxima conduta mais adequada é
 

Provas

Questão presente nas seguintes provas
3654036 Ano: 2025
Disciplina: Medicina
Banca: VUNESP
Orgão: UNIFESP
Provas:
Mulher de 45 anos de idade apresenta quadro de dor torácica intermitente nas últimas seis semanas. Ela tem um forte histórico familiar de doença arterial coronária prematura, mas nenhum outro fator de risco aterosclerótico. O ecocardiograma de exercício atinge a meta de frequência cardíaca desejada e demonstra uma anormalidade focal do movimento da parede anterior do ventrículo esquerdo em repouso, que não foi alterada após exercício máximo. O exame subsequente de ressonância magnética cardíaca é realizado para caracterizar o tecido miocárdico naquela região. Uma imagem tardia obtida após administração intravenosa de gadolínio é mostrada a seguir.

Enunciado 4376907-1

Qual é a causa mais provável da anormalidade do movimento da parede anterior?
 

Provas

Questão presente nas seguintes provas
3654035 Ano: 2025
Disciplina: Medicina
Banca: VUNESP
Orgão: UNIFESP
Provas:
Homem de 52 anos de idade com diabetes tipo 2, recentemente, é diagnosticado com cirrose hepática devido a esteato-hepatite metabólica (não alcoólica). Atualmente, ele não apresenta características clínicas de descompensação. A endoscopia alta de triagem demonstra duas colunas de varizes esofágicas que se achataram completamente após a insuflação de ar; há gastropatia hipertensiva portal leve, mas sem varizes gástricas.

Qual é a conduta mais apropriada em relação ao seguimento desse paciente?
 

Provas

Questão presente nas seguintes provas