Foram encontradas 1.060 questões.
Analise a imagem a seguir.
(Arquivo pessoal; imagens usadas com autorização)
Em face do exposto, assinale a alternativa que apresenta, corretamente, o diagnóstico e o tratamento preconizado.
(Arquivo pessoal; imagens usadas com autorização)
Em face do exposto, assinale a alternativa que apresenta, corretamente, o diagnóstico e o tratamento preconizado.
Provas
Questão presente nas seguintes provas
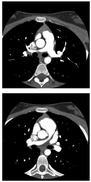
Analise a imagem a seguir.
(Arquivo pessoal; imagens usadas com autorização)
O risco cardiovascular desse paciente com a angiotomografia apresentada é de
(Arquivo pessoal; imagens usadas com autorização)
O risco cardiovascular desse paciente com a angiotomografia apresentada é de
Provas
Questão presente nas seguintes provas
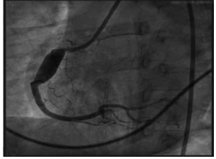
Considere a imagem a seguir.
(Arquivo pessoal; imagens usadas com autorização)
Essa é uma angiocoronariografia realizada por um paciente. Assinale a alternativa que indica, corretamente, qual é o diagnóstico etiológico e qual é o tratamento que deveria ser instituído na suspeita diagnóstica.
(Arquivo pessoal; imagens usadas com autorização)
Essa é uma angiocoronariografia realizada por um paciente. Assinale a alternativa que indica, corretamente, qual é o diagnóstico etiológico e qual é o tratamento que deveria ser instituído na suspeita diagnóstica.
Provas
Questão presente nas seguintes provas
Considere a imagem a seguir.
(Arquivo pessoal; imagens usadas com autorização)
Diante do exposto, assinale a alternativa que apresenta corretamente qual é o tratamento realizado por esse paciente.
(Arquivo pessoal; imagens usadas com autorização)
Diante do exposto, assinale a alternativa que apresenta corretamente qual é o tratamento realizado por esse paciente.
Provas
Questão presente nas seguintes provas
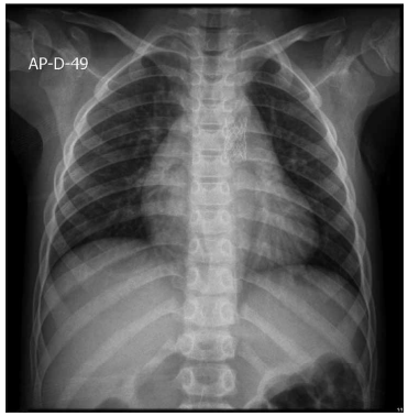
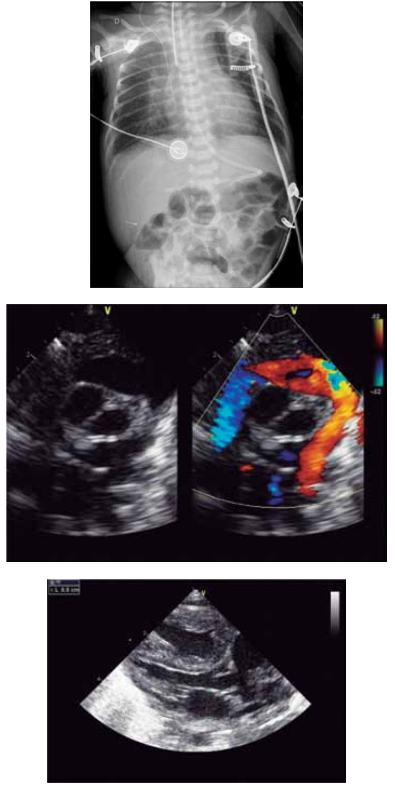
Paciente de 1 ano e 11 meses deu entrada no Pronto-
-Socorro com história de ânsia de vômito, palidez, sudorese e cianose ontem, sem perda de consciência. Hoje,
refere novo quadro de cianose e palidez com saturação
de 65% em ar ambiente, segundo aferição com o aparelho da mãe. Na avaliação atual, a saturação periférica da
criança em ar ambiente foi de 95%. Mãe refere que, com
3 dias de vida, teve diagnóstico de cardiopatia congênita
e bloqueio atrioventricular total, necessitando de implante de marca-passo definitivo, além de quadro convulsivo
(segue com neurologista), mas nunca havia ficado roxa
antes. Qual é a cardiopatia congênita provável associada
ao bloqueio atrioventricular? Considere a radiografia de
tórax atual a seguir.
(Arquivo pessoal; imagens usadas com autorização)
(Arquivo pessoal; imagens usadas com autorização)
Provas
Questão presente nas seguintes provas
O defeito do septo atrioventricular caracteriza-se por:
Provas
Questão presente nas seguintes provas
Considere as imagens a seguir.
(Arquivo pessoal; imagens usadas com autorização)
Qual é o diagnóstico provável da cardiopatia congênita ilustrada pela radiografia de tórax e a figura de ecocardiograma apresentadas desse recém-nascido?
(Arquivo pessoal; imagens usadas com autorização)
Qual é o diagnóstico provável da cardiopatia congênita ilustrada pela radiografia de tórax e a figura de ecocardiograma apresentadas desse recém-nascido?
Provas
Questão presente nas seguintes provas
Paciente de 1 mês de idade foi admitido em Unidade de
Terapia Intensiva, acompanhada de cuidadora de abrigo,
devido à piora da cianose. Mãe drogadita perdeu guarda
dos 6 filhos. A saturação na Unidade manteve-se estável,
ao redor de 84%, sem insuficiência cardíaca congestiva,
em uso de propranolol; foi acompanhado no ambulatório
até os 2 anos de idade e realizada intervenção cirúrgica
cardíaca. Com base nos seguintes exames complementares, quais seriam, sucessivamente, a cardiopatia congênita provável, a cirurgia realizada aos 2 anos de idade
e a cirurgia atual para a qual foi convocada?
(Arquivo pessoal; imagens usadas com autorização)
(Arquivo pessoal; imagens usadas com autorização)
Provas
Questão presente nas seguintes provas
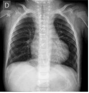
Considere a imagem a seguir.
(Arquivo pessoal; imagens usadas com autorização)
Essa radiografia de tórax diz respeito a qual cardiopatia congênita?
(Arquivo pessoal; imagens usadas com autorização)
Essa radiografia de tórax diz respeito a qual cardiopatia congênita?
Provas
Questão presente nas seguintes provas
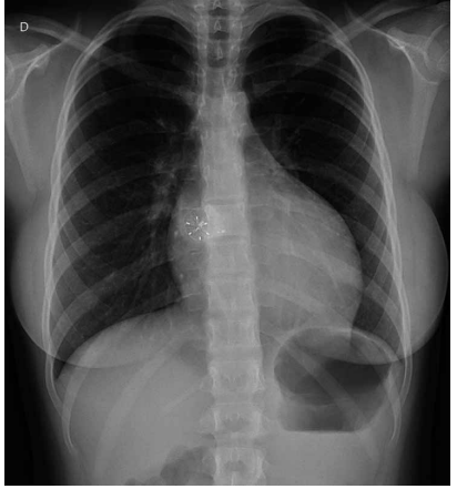
Paciente de 1 ano e 1 mês veio encaminhada, via
CROSS, por cardiopatia congênita. A avó refere que a
criança, desde os 2 meses de idade, fica com a boca roxa
quando chora. Lembra de ter levado a uma UPA, sendo
auscultado um sopro na ocasião e aferida saturação periférica de oxigênio em ar ambiente de 98%. Avó refere,
também, sudorese importante e cansaço às mamadas
com dificuldade de ganho pondo-estatural, além de infecções respiratórias frequentes.
(Arquivo pessoal; imagens usadas com autorização)
Diante do exposto, o diagnóstico correto é:
(Arquivo pessoal; imagens usadas com autorização)
Diante do exposto, o diagnóstico correto é:
Provas
Questão presente nas seguintes provas
Cadernos
Caderno Container