Foram encontradas 1.060 questões.
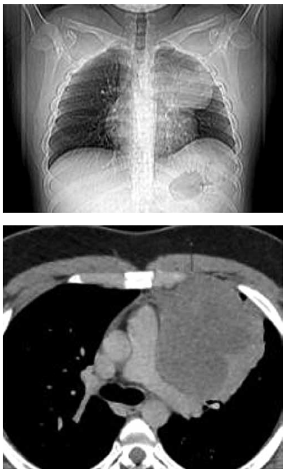
Paciente com 67 anos, tabagista, procura atendimento
em unidade de pronto atendimento. Relata dor precordial e nas costas, há quatro meses, inicialmente de leve
intensidade, mas que está piorando, além de fraqueza
nos membros inferiores e desconforto para engolir. Há
três dias, percebeu inchaço no pescoço, dos dois lados.
Exame físico: hemodinamicamente estável, pletora facial
moderada, edema supraclavicular bilateral, circulação
colateral na metade superior do tórax.
Radiografia de tórax a seguir:
(Arquivo pessoal; imagem usada com autorização)
O quadro clínico apresentado permite a elaboração de hipótese diagnóstica e de possível conduta, que devem ser, respectivamente:
Radiografia de tórax a seguir:
(Arquivo pessoal; imagem usada com autorização)
O quadro clínico apresentado permite a elaboração de hipótese diagnóstica e de possível conduta, que devem ser, respectivamente:
Provas
Questão presente nas seguintes provas
Pacientes com câncer de pulmão de não pequenas células, elegíveis para tratamento imunoterápico, de acordo
com os conceitos atuais, são aqueles que apresentam
positividade para a detecção de marcadores de morte
celular programada do seguinte tipo:
Provas
Questão presente nas seguintes provas
Assinale a alternativa que apresenta corretamente uma
regra, adotada sempre que possível, quanto às técnicas
de hemostasia e ressecções pulmonares em relação ao
lobo pulmonar a ser removido.
Provas
Questão presente nas seguintes provas
Paciente de 60 anos, do sexo masculino, tabagista, foi
diagnosticado com adenocarcinoma pulmonar em lobo
superior direito (LSD), periférico, medindo 5,6 cm em seu
maior diâmetro, associado a outro nódulo comprovadamente neoplásico (adenocarcinoma), no mesmo lobo,
medindo 2,5 cm de diâmetro. PET/CT evidencia captação
anômala nos dois nódulos pulmonares em LSD e apenas
no linfonodo subcarinal. Há comprovação histológica de
comprometimento neoplásico linfonodal apontado pelo
PET/CT. Não há outros focos de captação anômala no
restante do corpo.
Assinale a alternativa que apresenta corretamente o estadiamento TNM desse paciente.
Assinale a alternativa que apresenta corretamente o estadiamento TNM desse paciente.
Provas
Questão presente nas seguintes provas
Paciente, com 8 anos de idade, apresenta massa com
15 cm de diâmetro em parede torácica, severa destruição
óssea, crescimento intracavitário e infiltração de pulmão
subjacente. Biópsia da massa tumoral revelou presença
de agrupamento de células pequenas. Estudo imuno-histoquímico demonstrou positividade para FLI-1 e CD99;
negatividade para citoqueratina, vimentina, TdT, CD 45,
CD 43 e CD 56. Hibridização in situ fluorescente positiva
(FISH) para rearranjo do gene EWSR1.
A descrição corresponde a
A descrição corresponde a
Provas
Questão presente nas seguintes provas
Paciente do sexo feminino, com 65 anos, não tabagista,
está em acompanhamento com geriatra. Há dois anos,
teve quadro de covid-19 moderado, tendo sido internada
em unidade de terapia intensiva e sido submetida a
tomografia de tórax, que evidenciou múltiplas pequenas
lesões de até 1,5 cm de diâmetro, com aspecto de vidro
fosco. Atualmente apresenta quadro gripal leve há sete
dias e foi novamente submetida a tomografia computadorizada de tórax, que mostrou nódulo pulmonar solitário,
com aspecto em vidro fosco, com 2,0 cm de diâmetro,
periférico, em lobo superior direito. A localização desse
nódulo atual coincide com um dos nódulos de 1,5 cm
verificados na tomografia anterior.
Com base no quadro hipotético, assinale a alternativa que apresenta a conduta correta.
Com base no quadro hipotético, assinale a alternativa que apresenta a conduta correta.
Provas
Questão presente nas seguintes provas
Paciente de 61 anos, não tabagista, com neoplasia de
cólon esquerdo operada há um ano, no momento com
colostomia à Hartmann, apresenta-se ao serviço de
cirurgia com tomografia de tórax evidenciando nódulo
pulmonar único em lobo inferior esquerdo, periférico.
Haverá indicação para realização de metastasectomia terapêutica se
Haverá indicação para realização de metastasectomia terapêutica se
Provas
Questão presente nas seguintes provas
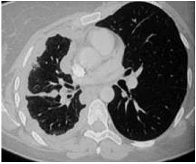
Paciente de 19 anos procura unidade básica de saúde
com queixa de dor em região anterior de hemitórax
esquerdo. Fez radiografia e tomografia, apresentadas a
seguir. Foi submetido a biópsia transtorácica, que revelou
neoplasia maligna com padrão morfológico de pequenas
células redondas e azuis (HE).
(Arquivo pessoal; imagem usada com autorização)
Perfil imuno-histoquímico:
• Positivo para SALL-4, Glypican e citoqueratinas Ae1/ Ae3.
• Negativo para CD 117; CD 30; p40 e PAX-8; CD 10; TdT e CD 99; CD 3; PAX-5 e CD45.
• Imunoexpressão para Ki-67 revela índice de proliferação de 40%.
De acordo com o caso clínico e o resultado anatomopatológico, é correto afirmar que se trata de tumor do tipo
(Arquivo pessoal; imagem usada com autorização)
Perfil imuno-histoquímico:
• Positivo para SALL-4, Glypican e citoqueratinas Ae1/ Ae3.
• Negativo para CD 117; CD 30; p40 e PAX-8; CD 10; TdT e CD 99; CD 3; PAX-5 e CD45.
• Imunoexpressão para Ki-67 revela índice de proliferação de 40%.
De acordo com o caso clínico e o resultado anatomopatológico, é correto afirmar que se trata de tumor do tipo
Provas
Questão presente nas seguintes provas
Assinale a alternativa que apresenta corretamente um ou
mais critérios necessários para a realização de traqueostomia percutânea.
Provas
Questão presente nas seguintes provas
Observe a imagem a seguir:
(Arquivo pessoal; imagem usada com autorização)
A imagem mostra um exame de tomografia de tórax que demonstra espessamento pleural > 1,0 cm, difuso, irregular e que se estende à pleural mediastinal, com envolvimento do plano cissural e com redução de volume do hemitórax comprometido.
O quadro é fortemente sugestivo de
(Arquivo pessoal; imagem usada com autorização)
A imagem mostra um exame de tomografia de tórax que demonstra espessamento pleural > 1,0 cm, difuso, irregular e que se estende à pleural mediastinal, com envolvimento do plano cissural e com redução de volume do hemitórax comprometido.
O quadro é fortemente sugestivo de
Provas
Questão presente nas seguintes provas
Cadernos
Caderno Container