Foram encontradas 40 questões.
Mulher, 42 anos, inicia quimioterapia para tratamento
de câncer de mama. Ecocardiograma antes do início
do tratamento mostrava fração de ejeção do ventrículo
esquerdo (FEVE) de 60% e strain longitudinal global do
ventrículo esquerdo de 18%. Após 3 meses de tratamento, em qual das situações a seguir deve-se discutir
com oncologista a mudança do tratamento oncológico
para opção não cardiotóxica (considerar dados confirmados em dois exames realizados com duas semanas
de intervalo), conforme posicionamento do departamento de imagem cardiovascular?
Provas
Questão presente nas seguintes provas
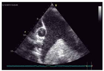
Homem, 60 anos, transplantado cardíaco, vem realizar
ecocardiograma que identifica a seguinte imagem:
(Arquivo pessoal; imagem utilizada com autorização)
A imagem apontada pela seta indica:
(Arquivo pessoal; imagem utilizada com autorização)
A imagem apontada pela seta indica:
Provas
Questão presente nas seguintes provas
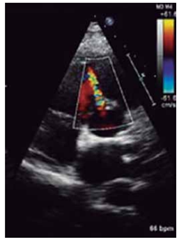
Observe a imagem.

(Arquivo pessoal; imagem utilizada com autorização)
Ela sugere:
Provas
Questão presente nas seguintes provas
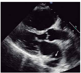
Criança, sexo masculino, 5 anos, realiza ecocardiograma para avaliação de sopro cardíaco.

(Arquivo pessoal; imagem utilizada com autorização)
A imagem indica:
Provas
Questão presente nas seguintes provas
Assinale a alternativa correta sobre a ecocardiografia sob
estresse na avaliação de isquemia miocárdica.
Provas
Questão presente nas seguintes provas
Assinale a alternativa correta em relação à medida da
função sistólica do ventrículo esquerdo.
Provas
Questão presente nas seguintes provas
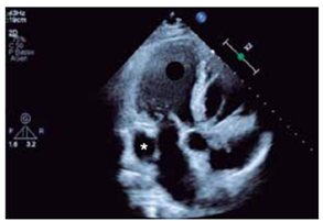
A estrutura indicada pelo asterisco na figura a seguir pode estar associada a

(Arquivo pessoal; imagem utilizada com autorização)
Provas
Questão presente nas seguintes provas
É solicitada ecocardiografia sob esforço físico para avaliar disfunção diastólica em um paciente com suspeita de
insuficiência cardíaca de fração de ejeção preservada. É
correto afirmar:
Provas
Questão presente nas seguintes provas
Assinale a alternativa correta na pesquisa de dilatação
vascular intrapulmonar em pacientes com cirrose hepática.
Provas
Questão presente nas seguintes provas
O índice Doppler de velocidade (DVI) é um parâmetro útil
na avaliação de próteses valvares.
Assinale a alternativa que apresenta o cálculo correto do DVI para prótese mitral.
Assinale a alternativa que apresenta o cálculo correto do DVI para prótese mitral.
Provas
Questão presente nas seguintes provas
Cadernos
Caderno Container